前歯のすき間・欠け・変色に|ダイレクトボンディング徹底解説
前歯のすき間・欠け・変色に|ダイレクトボンディングについて歯科医師が徹底解説
「前歯のすき間が気になる」
「少し欠けただけなのに目立つ」
「昔の詰め物が変色してきた」
このような前歯の見た目のお悩みを抱えて来院される方は少なくありません。
そんな方に、近年注目されている治療法がダイレクトボンディングです。
今回は、当院でもご相談の多い
ダイレクトボンディングによる前歯の治療について、
実際の症例イメージを交えながら、わかりやすく解説します。
ダイレクトボンディングとは?
ダイレクトボンディングとは、歯科用の高品質なレジン(樹脂)を直接歯に盛り付け、形や色を整える治療法です。
歯科技工所で被せ物を作るのではなく、歯科医師がその場で歯をデザインするため、
・歯を削る量が最小限
・治療回数が少ない(1日で終わることも)
・自然な仕上がりを目指せる
といった特徴があります。
ダイレクトボンディングの詳細はこちらもご覧ください。
こんなお悩みに適しています
① 前歯のすき間(正中離開・軽度のすき間)
矯正までは考えていないけれど、
「すき間だけ少し目立たなくしたい」
というケースにダイレクトボンディングは有効です。
歯の幅や形を微調整することで、自然にすき間を埋めることができます。
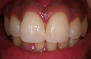
症例① 前歯のすき間が気になるケース

患者さんの悩み
「前歯のすき間が昔から気になっていて、写真を撮ると目立つ」
治療前の状態
・前歯の中央に軽度のすき間
・歯並び自体は大きな問題なし
・矯正までは希望されていない
治療内容
前歯2本にダイレクトボンディングを行い、歯の幅と形を微調整。
周囲の歯と色を合わせながら、すき間を自然に閉じました。
治療後

・すき間が目立たなくなり、自然な仕上がり
・「治療したと気づかれないのがうれしい」との声
👉 軽度のすき間であれば、矯正をしなくても改善できる場合があります。
② 前歯の欠け・小さな破折
転倒や食事中のトラブルで、前歯が少し欠けてしまった場合も、
・大きく削らず
・神経を取らず
に修復できる可能性があります。
見た目だけでなく、歯の保護という意味でも早めの治療がおすすめです。
症例② 前歯が欠けてしまったケース
患者さんの悩み
「食事中に前歯が少し欠けてしまい、見た目が気になる」
治療前の状態
・前歯の先端が一部欠けている
・神経への影響はなし
・欠けた範囲は小さい
治療内容
欠けた部分のみをダイレクトボンディングで修復。
噛み合わせを確認しながら、先端の形態を丁寧に再現しました。
治療後
・欠けた部分が分からない自然な見た目
・歯をほとんど削らずに修復が完了
👉 小さな欠けであれば、被せ物をせずに治せる可能性があります。
③ 詰め物・被せ物の変色
保険のプラスチックは、時間が経つと変色しやすいという欠点があります。
ダイレクトボンディングでは、
・変色しにくい材料
・周囲の歯と調和する色調
を細かく調整できるため、やり替え治療として選ばれる方も多いです。
症例③ 変色した詰め物をやり替えたケース
患者さんの悩み
「昔詰めた前歯のプラスチックが黄ばんできた」
治療前の状態
・保険治療のレジンが変色
・周囲の歯との色の差が目立つ
・虫歯の再発はなし
治療内容
古い詰め物を除去し、ダイレクトボンディングで再修復。
複数の色調を使い、天然歯に近い透明感を再現しました。
治療後
・周囲の歯と調和した自然な色合い
・前歯の印象が明るく改善
👉 「ただ白くする」のではなく、周囲とのなじみが重要です。
ダイレクトボンディングのメリット
-
✅ 歯を削る量が最小限
-
✅ 自然な色・形を再現しやすい
-
✅ 治療期間が短い
-
✅ 将来やり替えや修正がしやすい
「歯をなるべく守りながら、見た目もきれいにしたい」
という方にとって、非常に相性の良い治療法です。
注意点・デメリットも知っておきましょう
一方で、以下の点には注意が必要です。
・強い噛み合わせや歯ぎしりがあると欠けることがある
・セラミックに比べると経年劣化は起こりやすい
・症例によっては適応できない場合もある
そのため、診断と設計がとても重要な治療でもあります。
治療を検討されている方へ
ダイレクトボンディングは、
「とりあえず白く詰める治療」ではありません。
歯科医師の診断力・デザイン力が仕上がりを大きく左右する治療です。
歯の色・透明感・形・噛み合わせまで考慮し、
一本一本を丁寧に仕上げるオーダーメイドの治療です。
前歯のお悩みは、見た目のストレスだけでなく、
人前で笑えない・話しづらいといった心理的負担にもつながります。
まとめ
前歯のすき間・欠け・変色は、
「大がかりな治療をしなくても改善できる」ケースが多くあります。
ダイレクトボンディングは、
歯を守りながら、見た目の悩みを改善する選択肢のひとつです。
気になる症状があれば、ぜひ一度ご相談ください。
ダイレクトボンディングの詳細はこちらもご覧ください。



