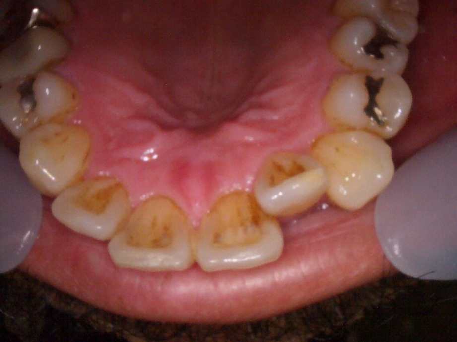
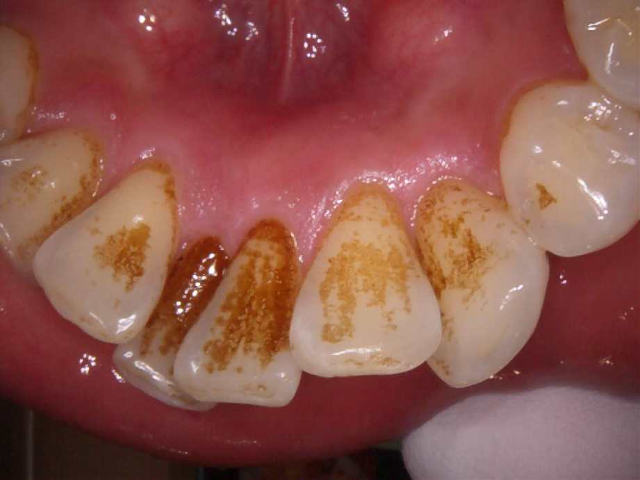
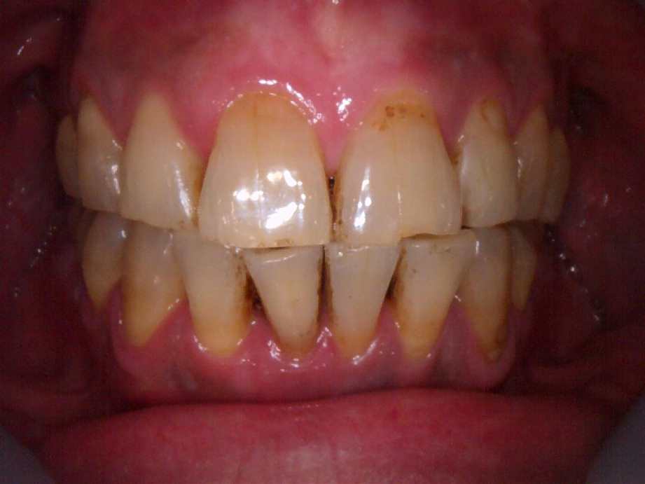
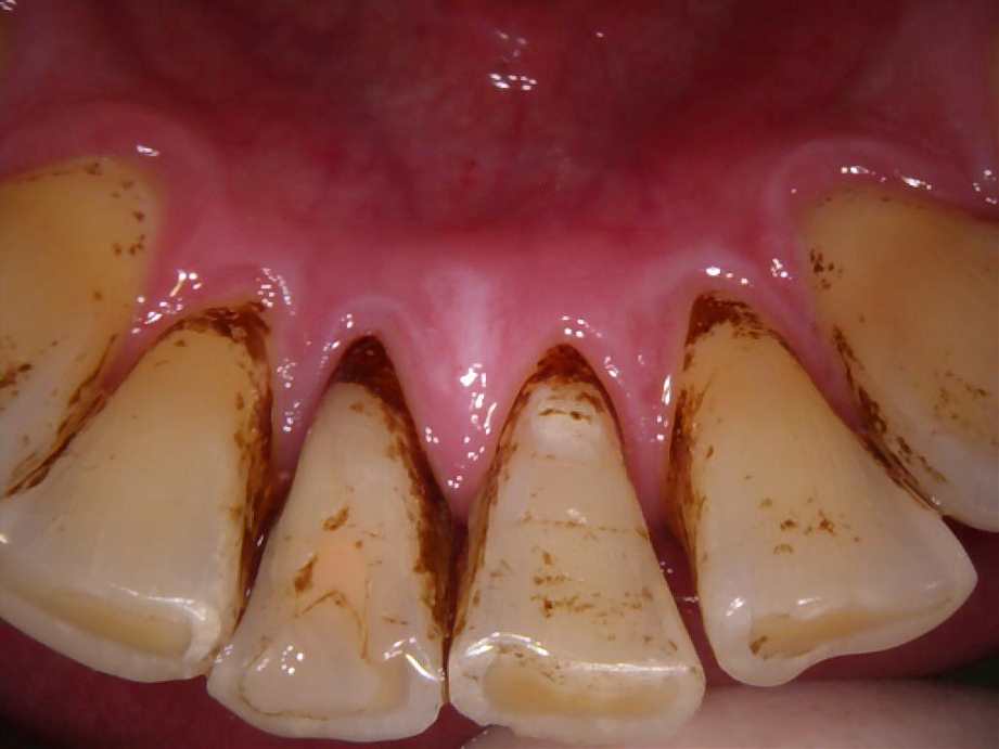
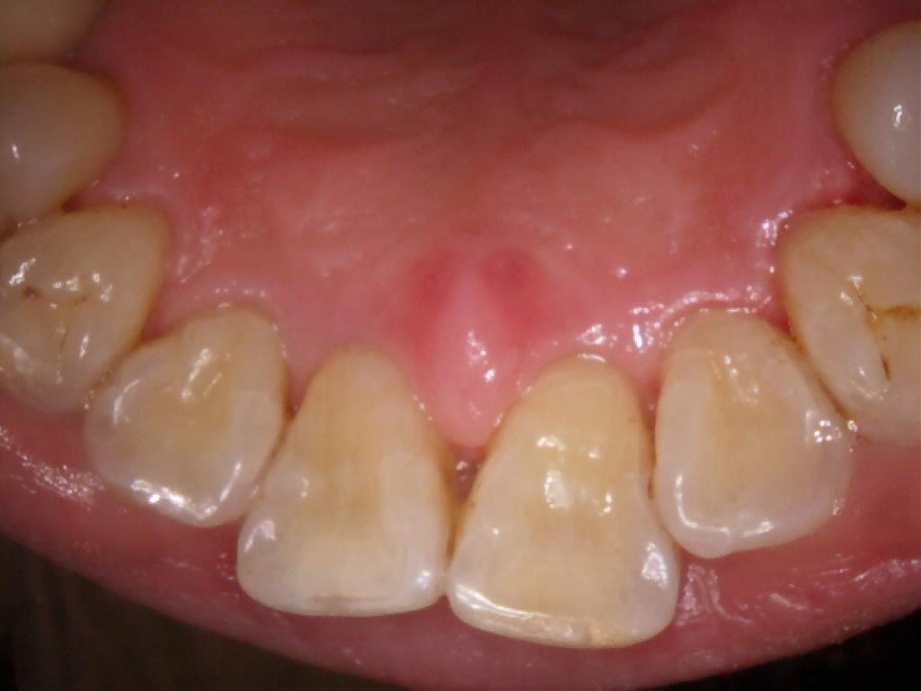
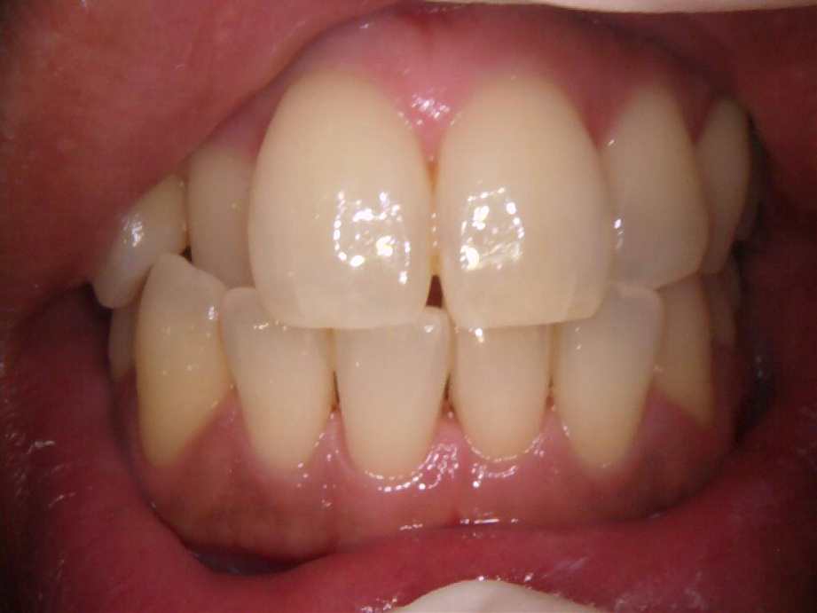
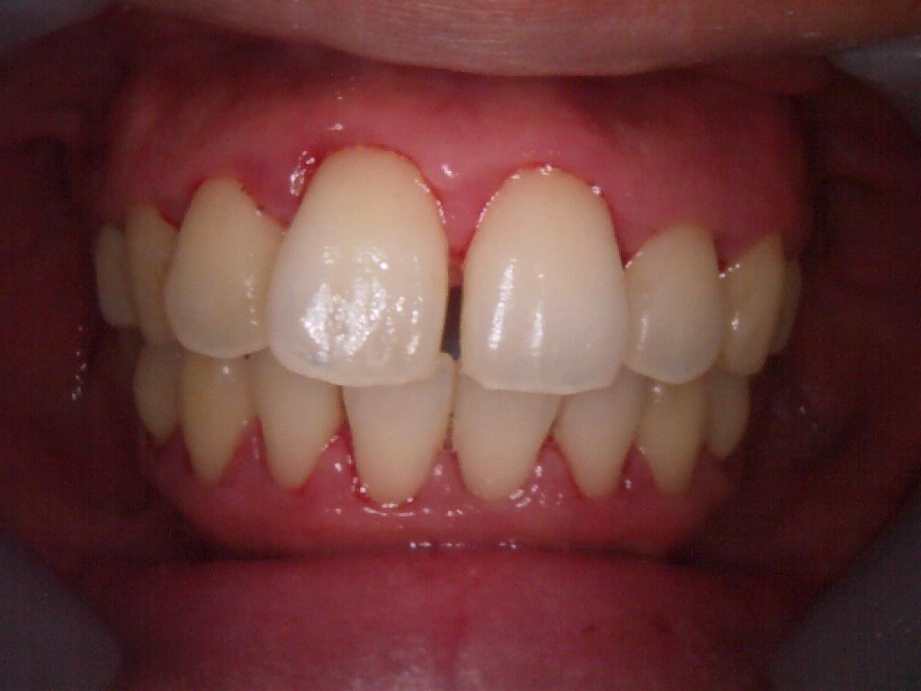
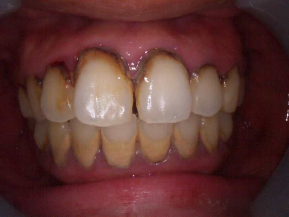
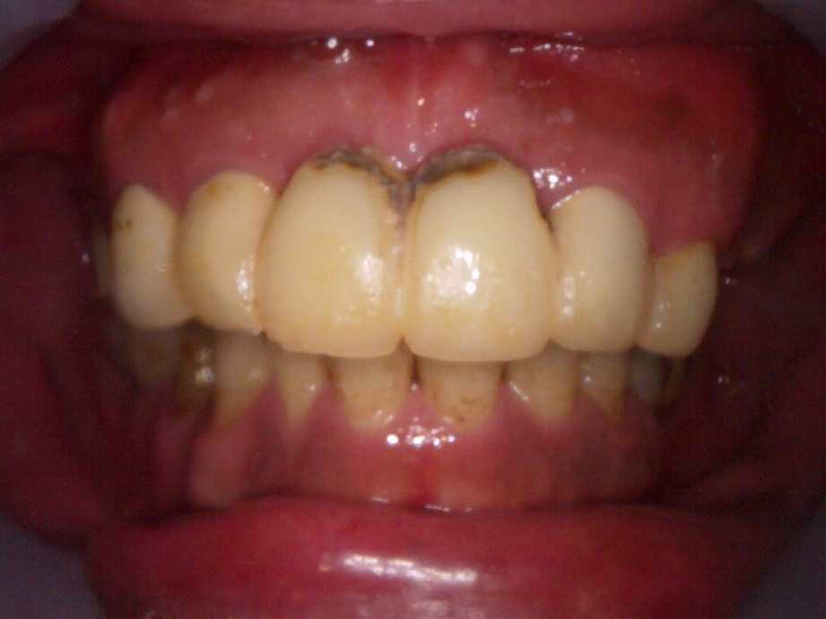
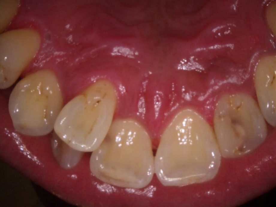
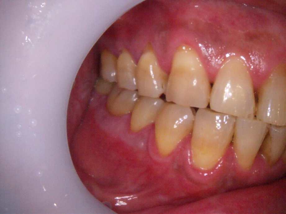
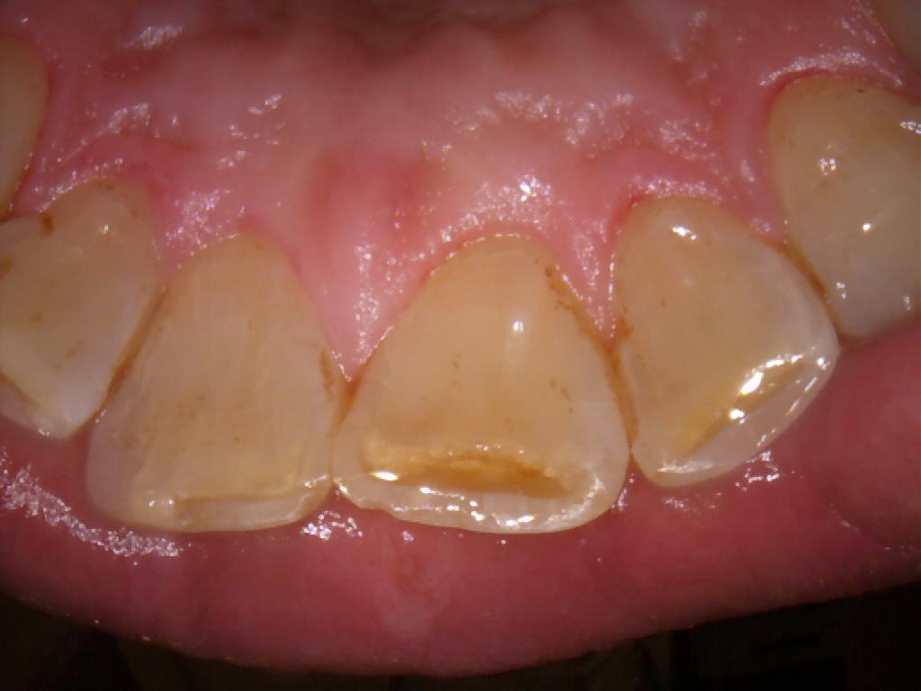
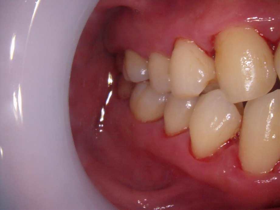
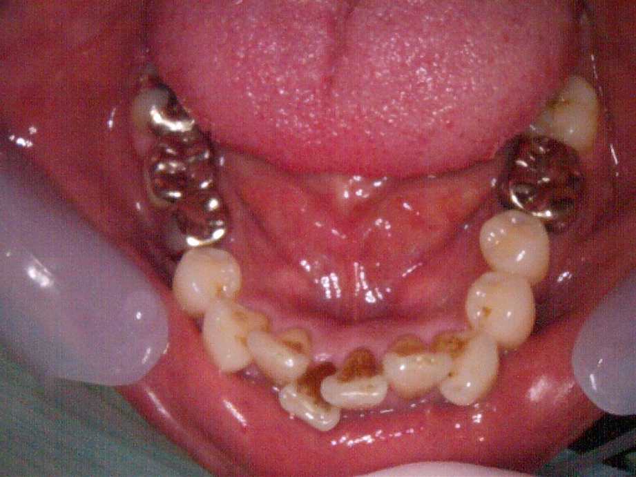
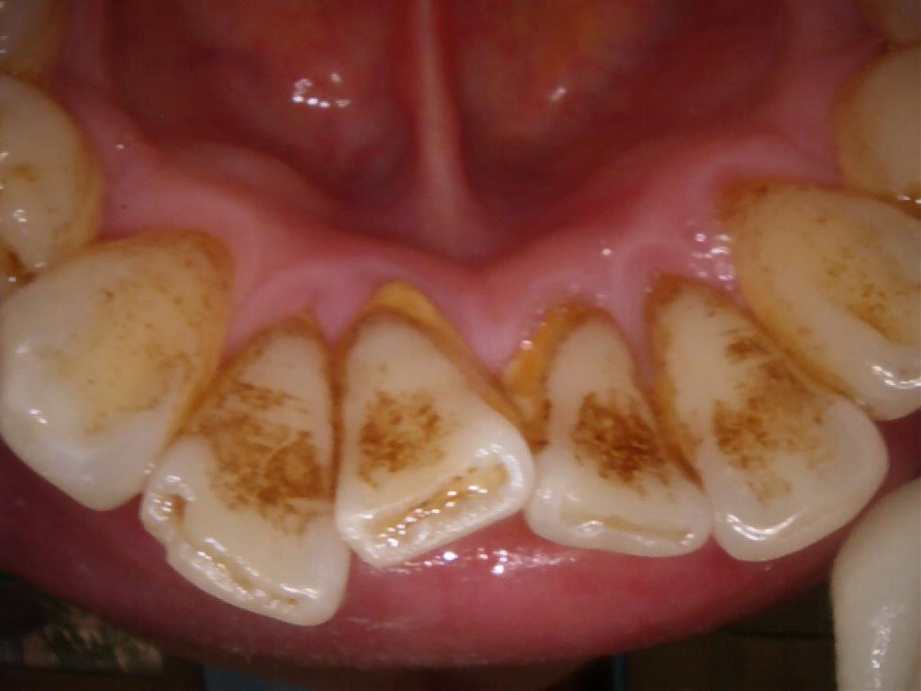
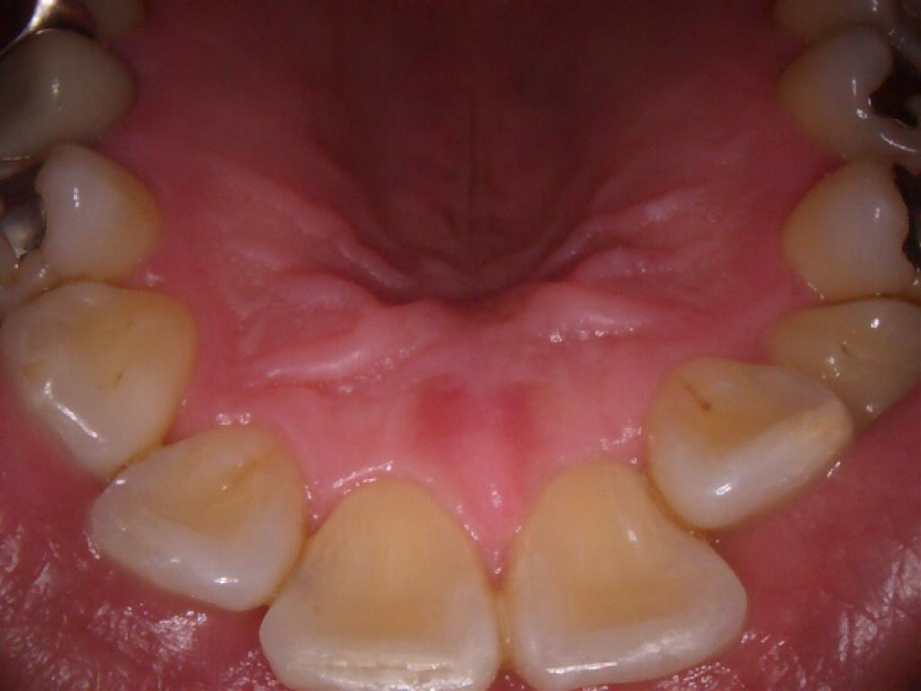
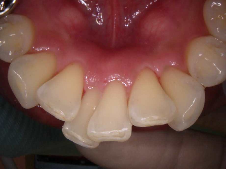
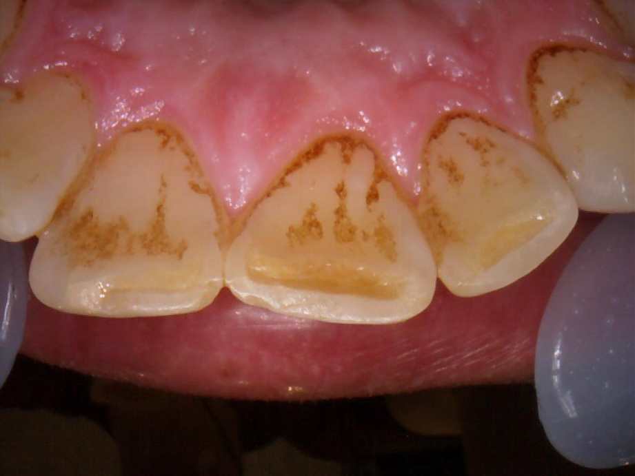
20代男性|歯を白くしたい
クリーニングとホワイトニング
-
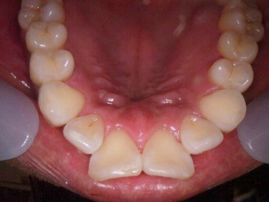
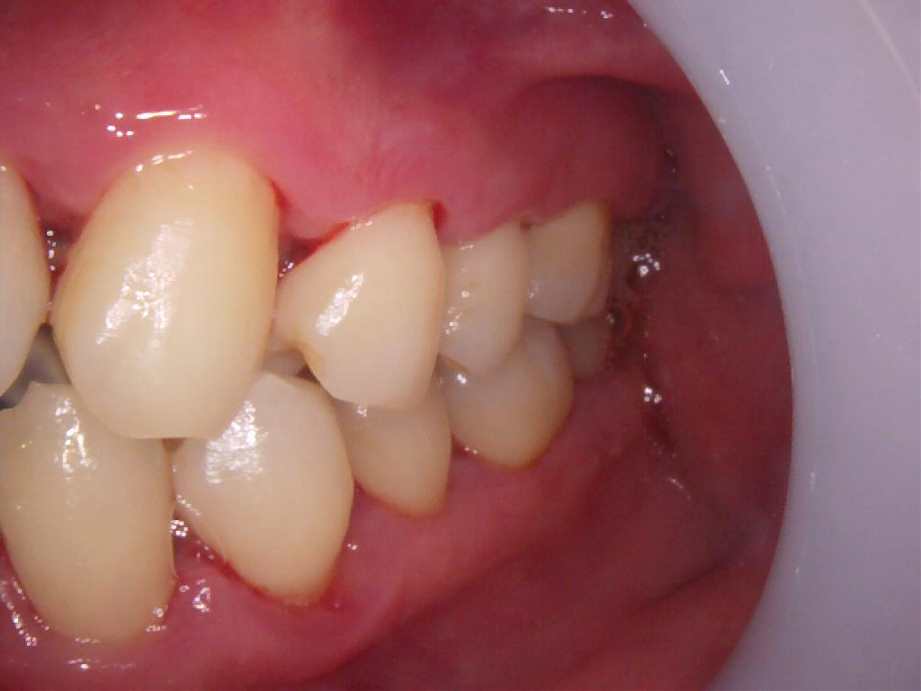
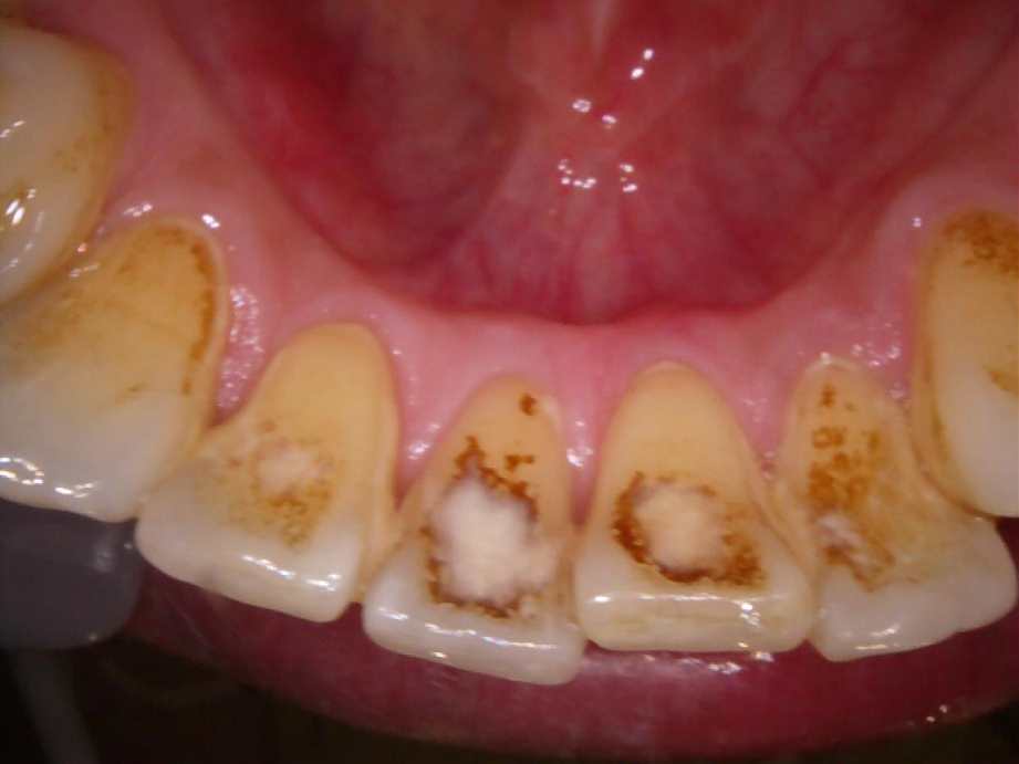
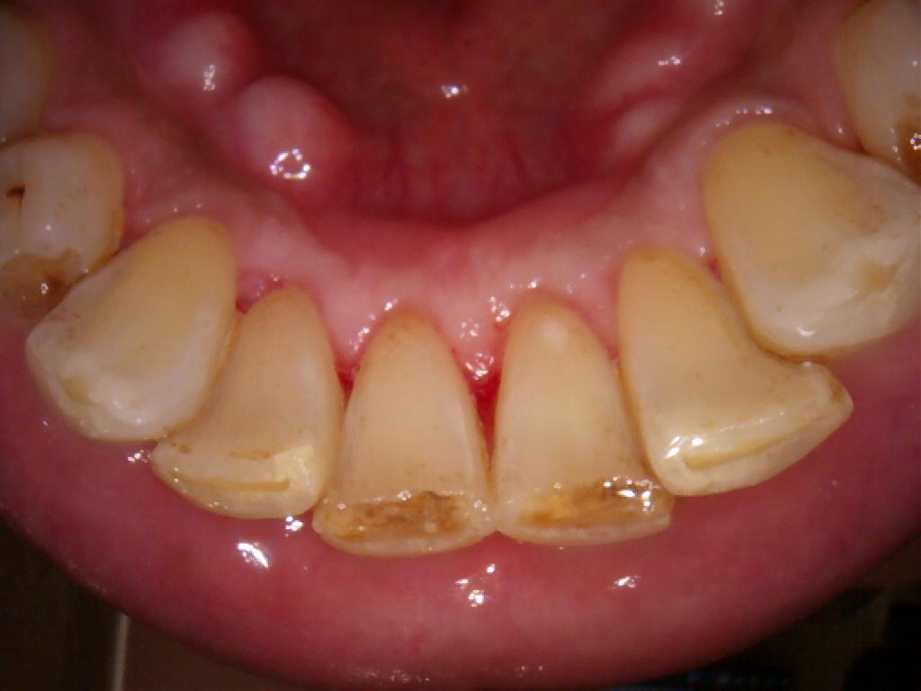
治療前(下顎)
-
治療前(正面)
-
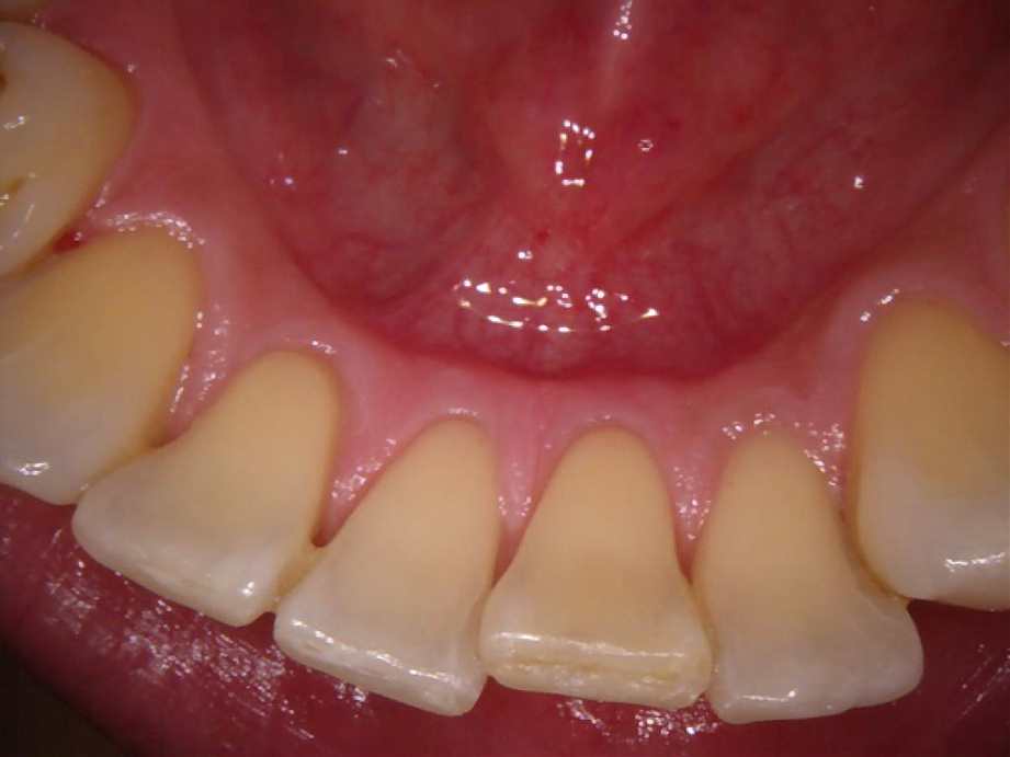
治療後(下顎)
-
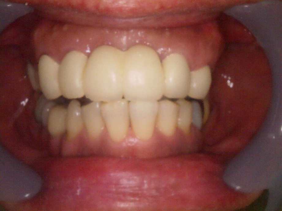
治療後(正面)
- 治療名称
- クリーニングとホワイトニング
- 患者の症状
- 歯を白くしたい。
- 治療内容
- 全体クリーニングした後でホワイトニングしていきます。
- 治療期間・回数
- 治療期間・回数
- 費用
※自由診療となります - クリーニングは保険診療です。 ■総額:¥(ホワイトニングのみ)
- リスク・副作用
- ・一時的な知覚過敏(しみる症状) ・歯ぐきの軽い出血やヒリヒリ感 ・歯面に一時的な違和感 ・強い着色は一度で完全に除去できない場合がある ・施術後にまれに軽い痛みが出ることがある
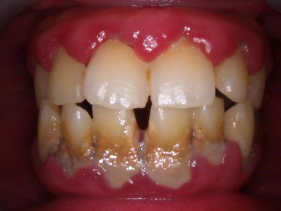
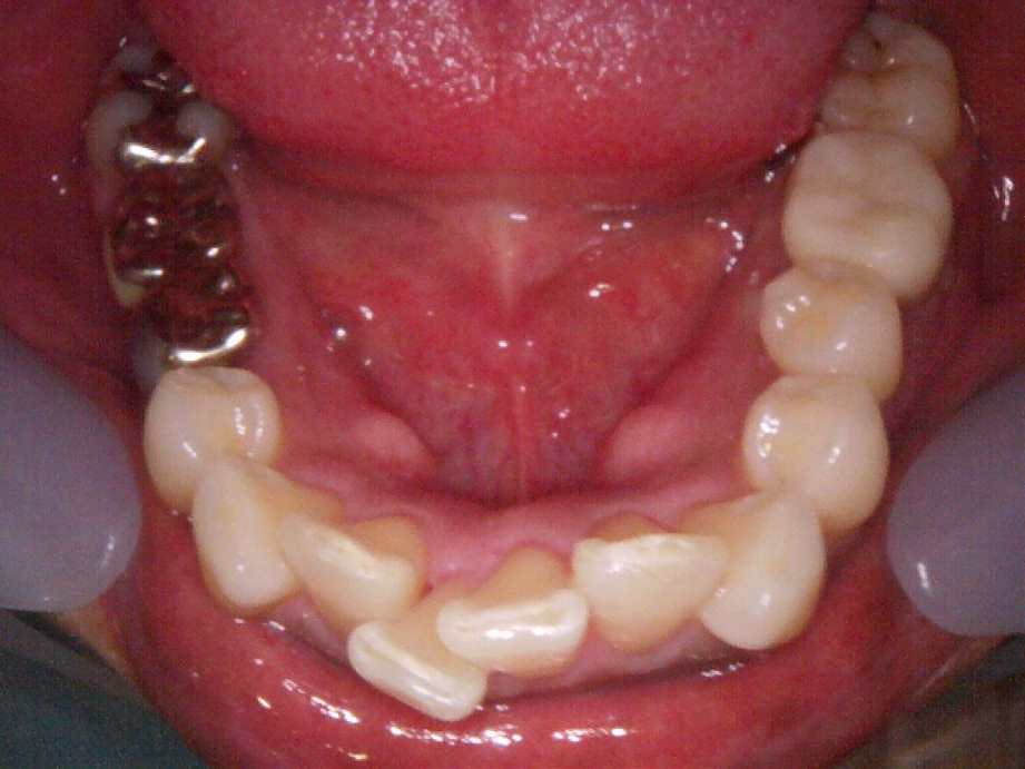
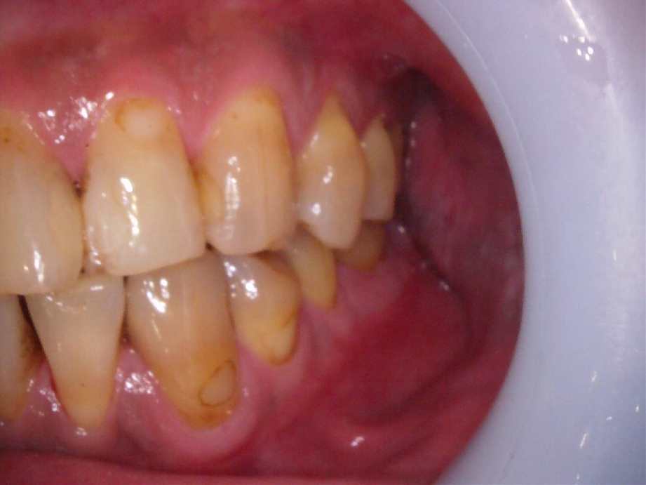
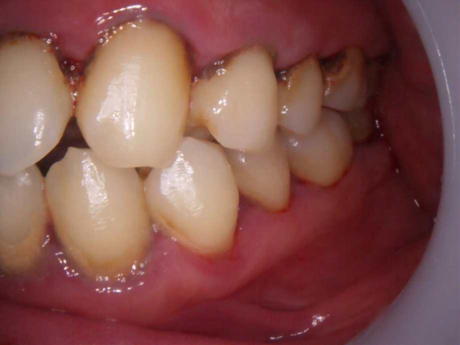
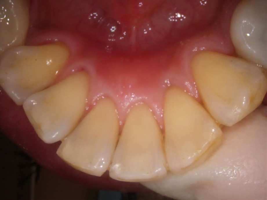
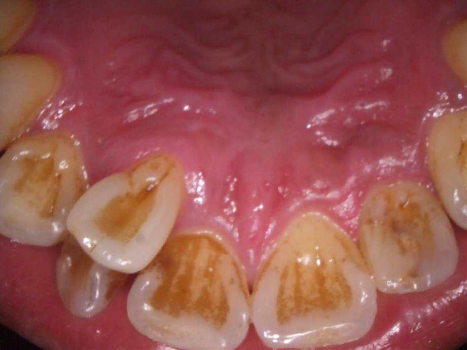
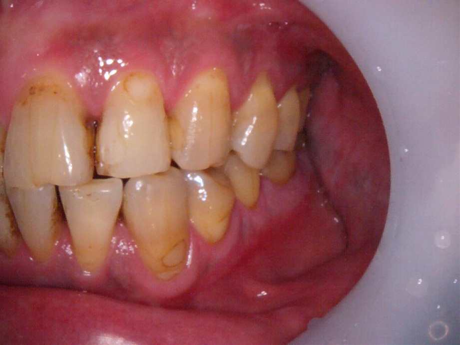
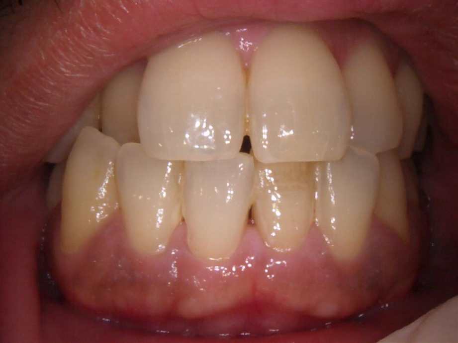
30代男性|歯石取り、歯の掃除希望
歯石除去、クリーニング
-
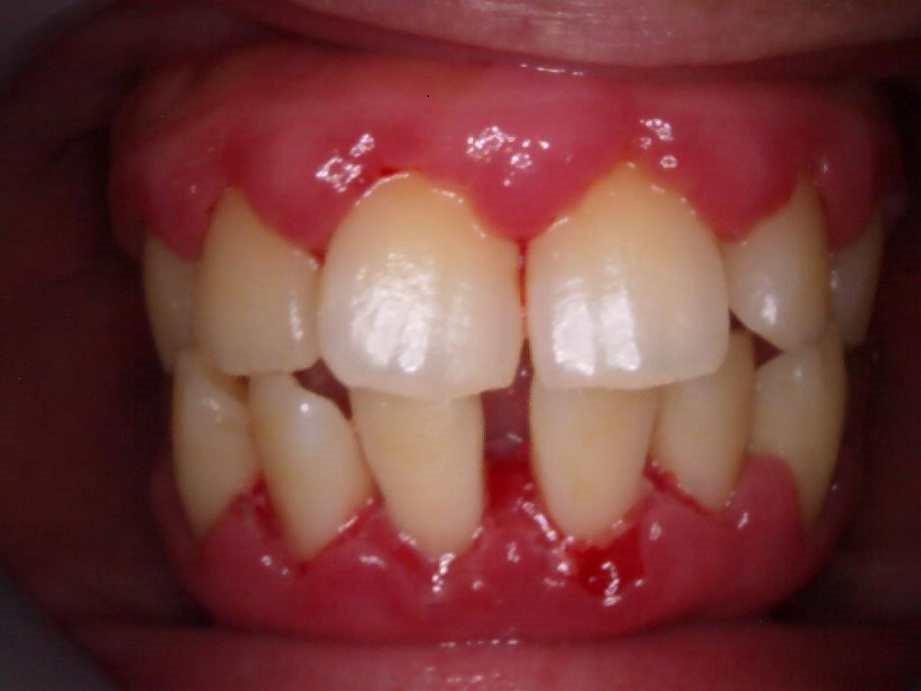
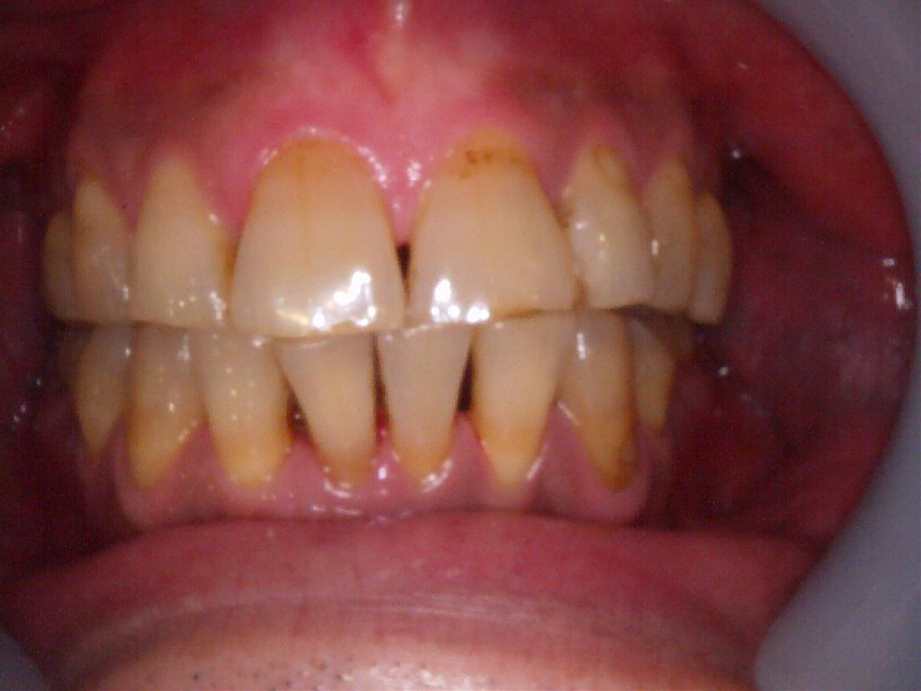
治療前(正面)
-
治療前(下顎)
-
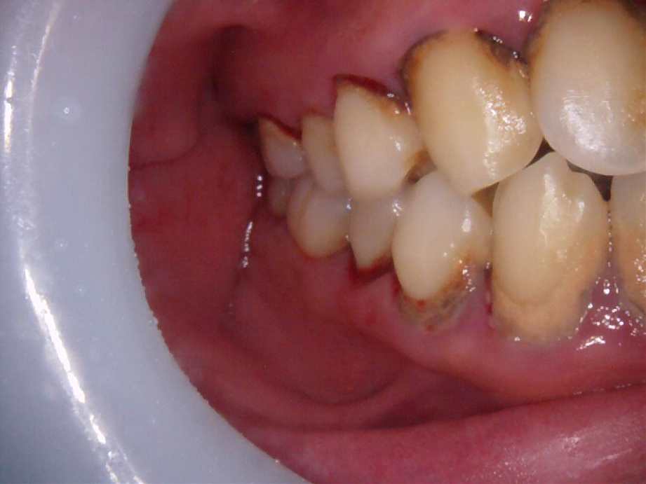
治療前(左側面)
-
治療前(右側面)
-
治療後(正面)
-
治療後(下顎)
-
治療前(左側面)
-
治療前(右側面)
- 治療名称
- 歯石除去、クリーニング
- 患者の症状
- 歯石取り、歯の掃除希望。
- 治療内容
- エアフローやピエゾンを使って歯石除去や着色の除去をしていきます。
- 治療期間・回数
- 1〜2回 健康な方で3か月に1回の定期健診をおすすめしてます。
- 費用
※自由診療となります - 保険治療なので気になる方はスタッフまでご相談ください。
- リスク・副作用
- ・一時的な知覚過敏(しみる症状) ・歯ぐきの軽い出血やヒリヒリ感 ・歯面に一時的な違和感 ・強い着色は一度で完全に除去できない場合がある ・施術後にまれに軽い痛みが出ることがある
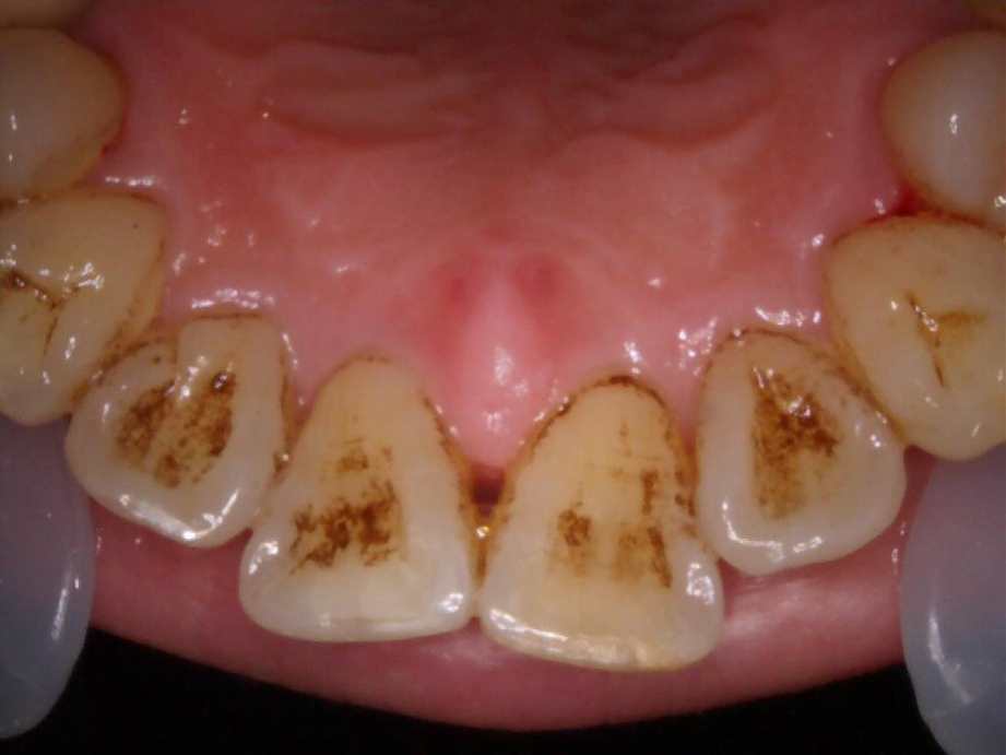
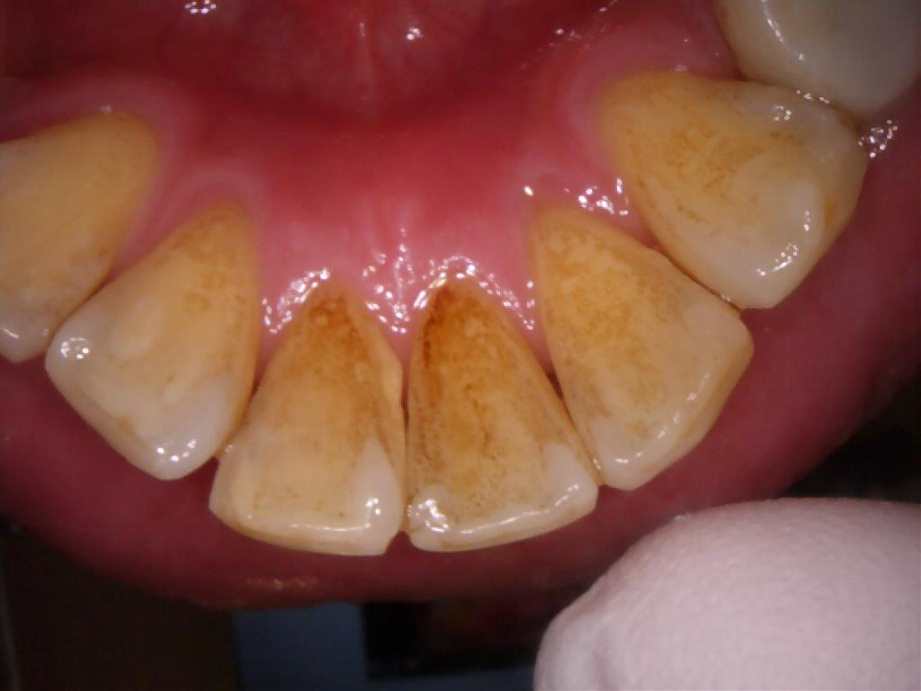
30代女性|歯石取り、歯の掃除希望
歯石除去、クリーニング
-
治療前(上顎)
-
治療前(下顎)
-
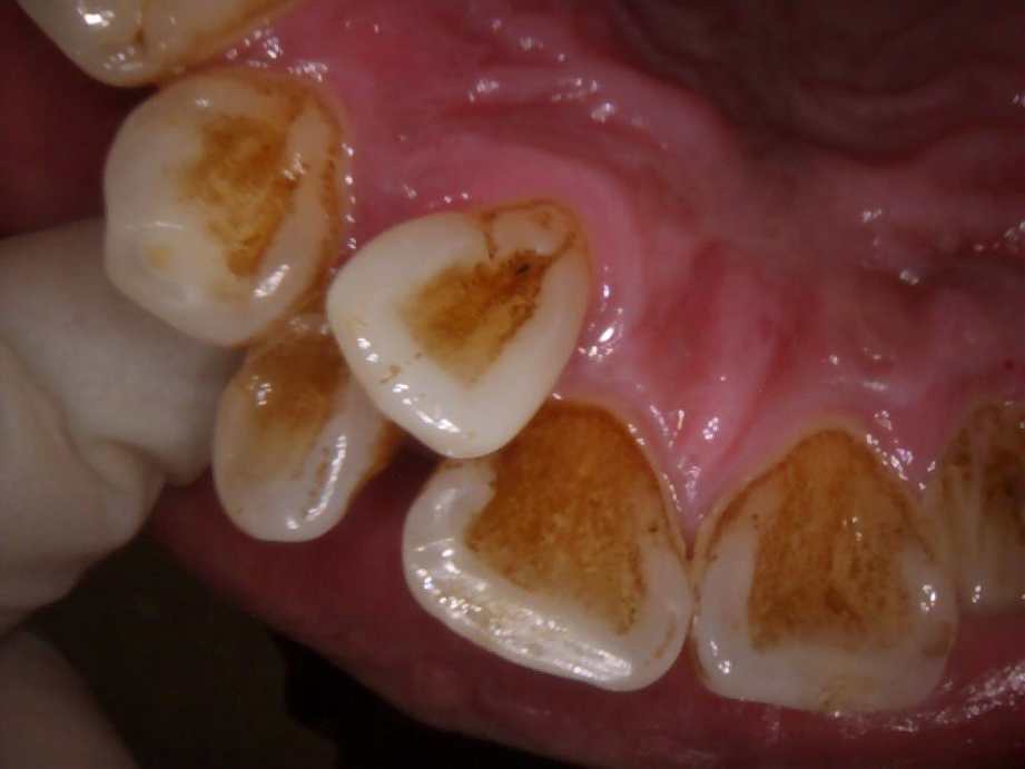
治療前(下顎アップ)
-
治療後(上顎)
-
治療後(下顎)
-
治療後(下顎アップ)
- 治療名称
- 歯石除去、クリーニング
- 患者の症状
- 歯石取り、歯の掃除希望。
- 治療内容
- エアフローやピエゾンを使って歯石除去や着色の除去をしていきます。
- 治療期間・回数
- 1〜2回 健康な方で3か月に1回の定期健診をおすすめしてます。
- 費用
※自由診療となります - 保険治療なので気になる方はスタッフまでご相談ください。
- リスク・副作用
- ・一時的な知覚過敏(しみる症状) ・歯ぐきの軽い出血やヒリヒリ感 ・歯面に一時的な違和感 ・強い着色は一度で完全に除去できない場合がある ・施術後にまれに軽い痛みが出ることがある
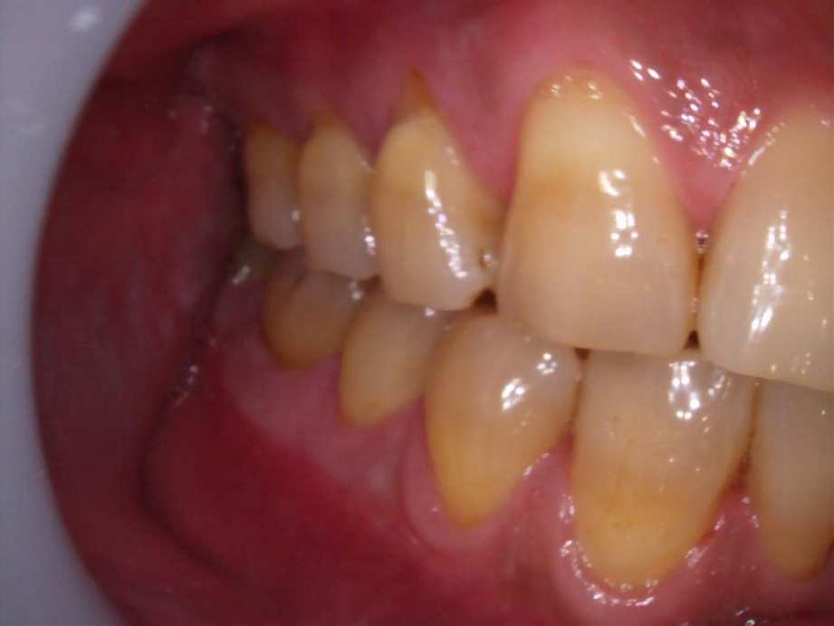
50代男性|歯石取り、歯の掃除希望
歯石除去、クリーニング
-
治療前(正面)
-
治療前(下顎)
-
治療後(正面)
-
治療後(下顎)
- 治療名称
- 歯石除去、クリーニング
- 患者の症状
- 歯石取り、歯の掃除希望。
- 治療内容
- エアフローやピエゾンを使って歯石除去や着色の除去をしていきます。
- 治療期間・回数
- 1〜2回 健康な方で3か月に1回の定期健診をおすすめしてます。
- 費用
※自由診療となります - 保険治療なので気になる方はスタッフまでご相談ください。
- リスク・副作用
- ・一時的な知覚過敏(しみる症状) ・歯ぐきの軽い出血やヒリヒリ感 ・歯面に一時的な違和感 ・強い着色は一度で完全に除去できない場合がある ・施術後にまれに軽い痛みが出ることがある
30代男性|歯石取り、歯の掃除希望
歯石除去、クリーニング
-
治療前(正面)
-
治療前(上顎)
-
治療前(下顎)
-
治療後(正面)
-
治療後(上顎)
-
治療後(下顎)
- 治療名称
- 歯石除去、クリーニング
- 患者の症状
- 歯石取り、歯の掃除希望。
- 治療内容
- エアフローやピエゾンを使って歯石除去や着色の除去をしていきます。
- 治療期間・回数
- 1〜2回 健康な方で3か月に1回の定期健診をおすすめしてます。
- 費用
※自由診療となります - 保険治療なので気になる方はスタッフまでご相談ください。
- リスク・副作用
- ・一時的な知覚過敏(しみる症状) ・歯ぐきの軽い出血やヒリヒリ感 ・歯面に一時的な違和感 ・強い着色は一度で完全に除去できない場合がある ・施術後にまれに軽い痛みが出ることがある
40代男性|歯石取り、歯の掃除希望
歯石除去、クリーニング
-
治療前(上顎)
-
治療前(下顎)
-
治療後(上顎)
-
治療後(下顎)
- 治療名称
- 歯石除去、クリーニング
- 患者の症状
- 歯石取り、歯の掃除希望。
- 治療内容
- エアフローやピエゾンを使って歯石除去や着色の除去をしていきます。
- 治療期間・回数
- 1〜2回 健康な方で3か月に1回の定期健診をおすすめしてます。
- 費用
※自由診療となります - 保険治療なので気になる方はスタッフまでご相談ください。
- リスク・副作用
- ・一時的な知覚過敏(しみる症状) ・歯ぐきの軽い出血やヒリヒリ感 ・歯面に一時的な違和感 ・強い着色は一度で完全に除去できない場合がある ・施術後にまれに軽い痛みが出ることがある
30代男性|歯石取り、歯の掃除希望
歯石除去、クリーニング
-
治療前
-
治療後
- 治療名称
- 歯石除去、クリーニング
- 患者の症状
- 歯石取り、歯の掃除希望。
- 治療内容
- エアフローやピエゾンを使って歯石除去や着色の除去をしていきます。
- 治療期間・回数
- 1〜2回 健康な方で3か月に1回の定期健診をおすすめしてます。
- 費用
※自由診療となります - 保険治療なので気になる方はスタッフまでご相談ください。
- リスク・副作用
- ・一時的な知覚過敏(しみる症状) ・歯ぐきの軽い出血やヒリヒリ感 ・歯面に一時的な違和感 ・強い着色は一度で完全に除去できない場合がある ・施術後にまれに軽い痛みが出ることがある
30代男性|歯石取り、歯の掃除希望
歯石除去、クリーニング
-
治療前
-
治療後
- 治療名称
- 歯石除去、クリーニング
- 患者の症状
- 歯石取り、歯の掃除希望。
- 治療内容
- エアフローやピエゾンを使って歯石除去や着色の除去をしていきます。
- 治療期間・回数
- 1〜2回 健康な方で3か月に1回の定期健診をおすすめしてます。
- 費用
※自由診療となります - 保険治療なので気になる方はスタッフまでご相談ください。
- リスク・副作用
- ・一時的な知覚過敏(しみる症状) ・歯ぐきの出血や軽い痛み ・施術後の違和感 ・歯ぐきが下がったように感じることがある ・まれに炎症が一時的に強くなることがある
30代男性|歯石取り、歯の掃除希望
歯石除去、クリーニング
-
治療前
-
治療後
- 治療名称
- 歯石除去、クリーニング
- 患者の症状
- 歯石取り、歯の掃除希望。
- 治療内容
- エアフローやピエゾンを使って歯石除去や着色の除去をしていきます。
- 治療期間・回数
- 1〜2回 健康な方で3か月に1回の定期健診をおすすめしてます。
- 費用
※自由診療となります - 保険治療なので気になる方はスタッフまでご相談ください。
- リスク・副作用
- ・一時的な知覚過敏(しみる症状) ・歯ぐきの出血や軽い痛み ・施術後の違和感 ・歯ぐきが下がったように感じることがある ・まれに炎症が一時的に強くなることがある
30代男性|歯石取り、歯の掃除希望
歯石除去、クリーニング
-
治療前(下顎)
-
治療前(上顎)
-
治療後(下顎)
-
治療後(上顎)
- 治療名称
- 歯石除去、クリーニング
- 患者の症状
- 歯石取り、歯の掃除希望。
- 治療内容
- エアフローやピエゾンを使って歯石除去や着色の除去をしていきます。
- 治療期間・回数
- 1〜2回 健康な方で3か月に1回の定期健診をおすすめしてます。
- 費用
※自由診療となります - 保険治療なので気になる方はスタッフまでご相談ください。
- リスク・副作用
- ・一時的な知覚過敏(しみる症状) ・歯ぐきの出血や軽い痛み ・施術後の違和感 ・歯ぐきが下がったように感じることがある ・まれに炎症が一時的に強くなることがある
30代男性|歯石取り、歯の掃除希望
歯石除去、クリーニング
-
治療前(正面)
-
治療前(左側面)
-
治療前(右側面)
-
治療後(正面)
-
治療後(左側面)
-
治療後(右側面)
- 治療名称
- 歯石除去、クリーニング
- 患者の症状
- 歯石取り、歯の掃除希望。
- 治療内容
- エアフローやピエゾンを使って歯石除去や着色の除去をしていきます。
- 治療期間・回数
- 1〜2回 健康な方で3か月に1回の定期健診をおすすめしてます。
- 費用
※自由診療となります - 保険治療なので気になる方はスタッフまでご相談ください。
- リスク・副作用
- ・一時的な知覚過敏(しみる症状) ・歯ぐきの出血や軽い痛み ・施術後の違和感 ・歯ぐきが下がったように感じることがある ・まれに炎症が一時的に強くなることがある



