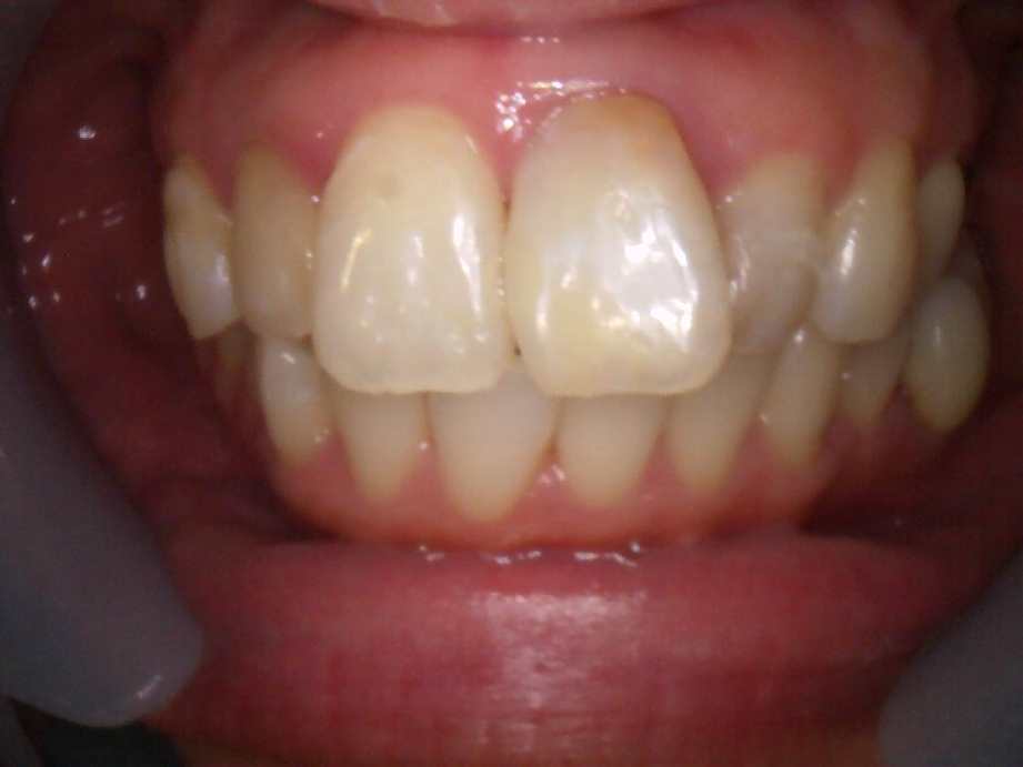
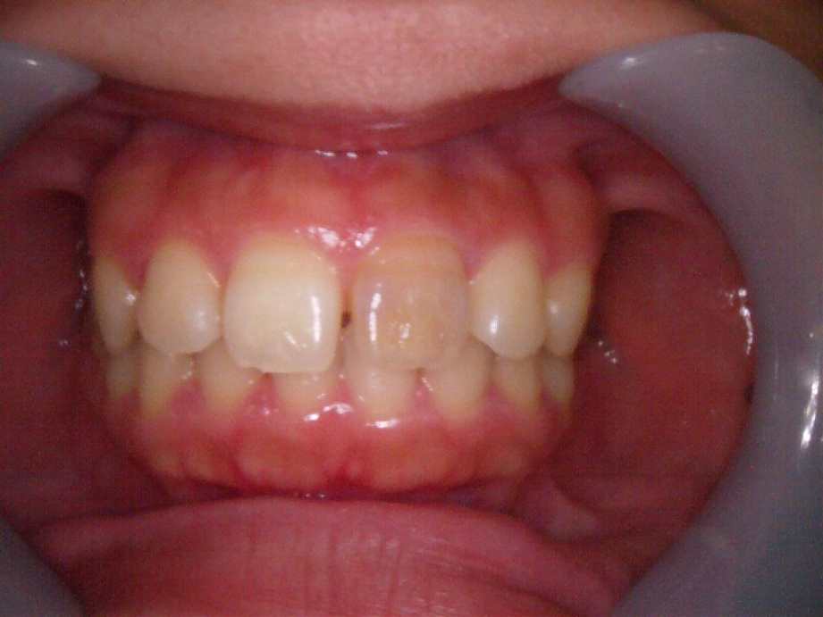
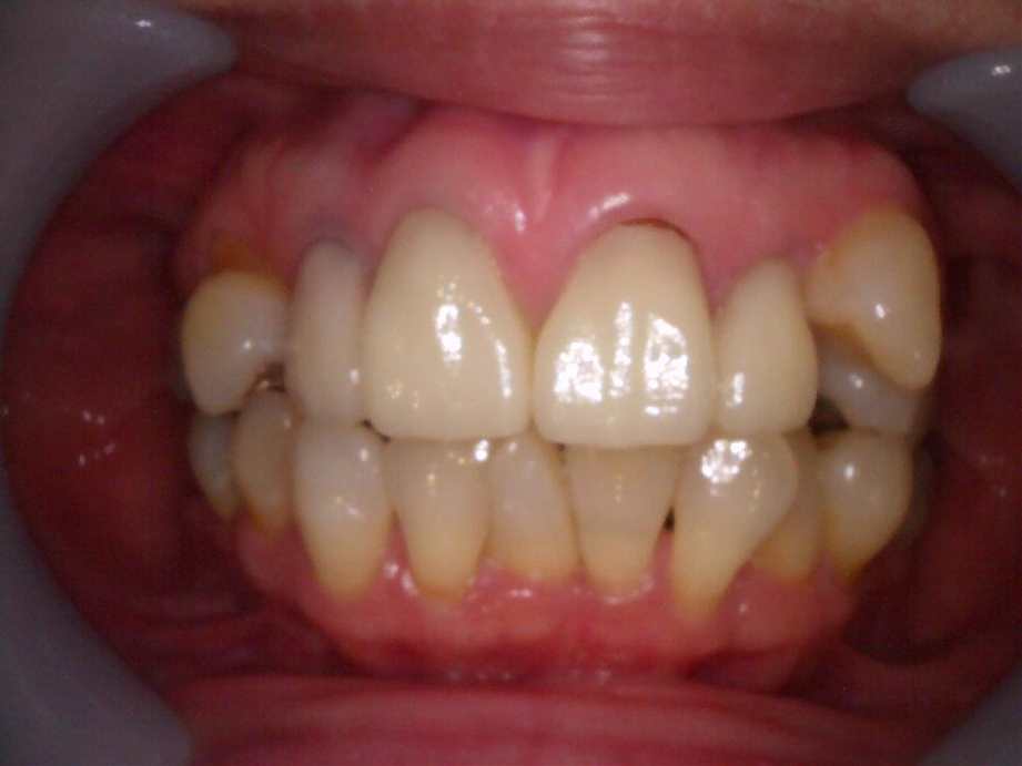
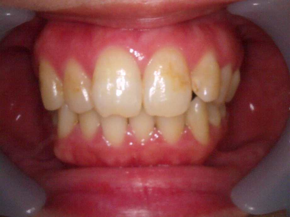
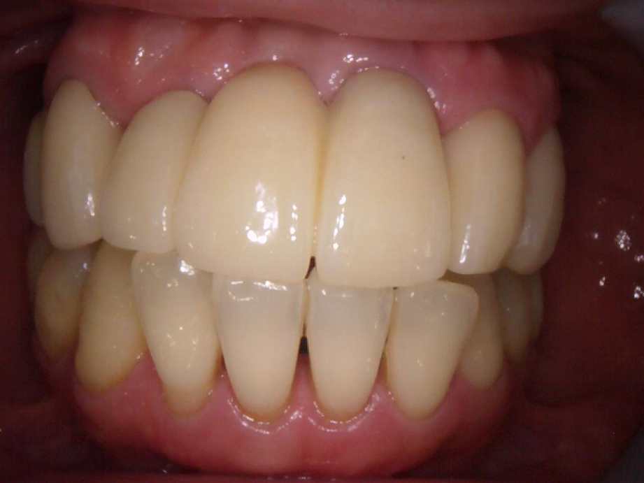
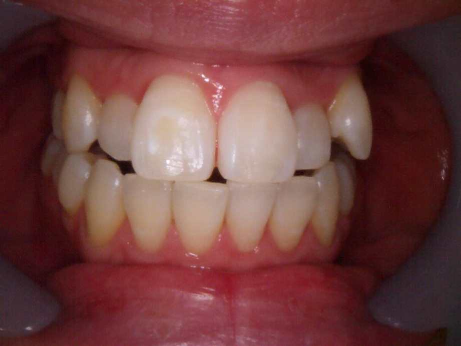
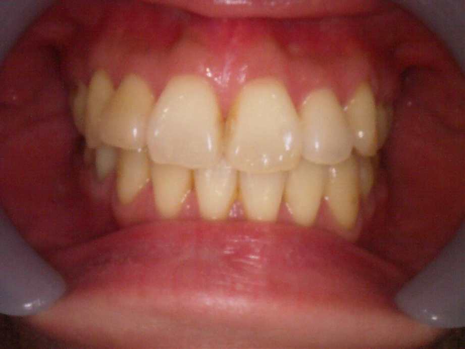
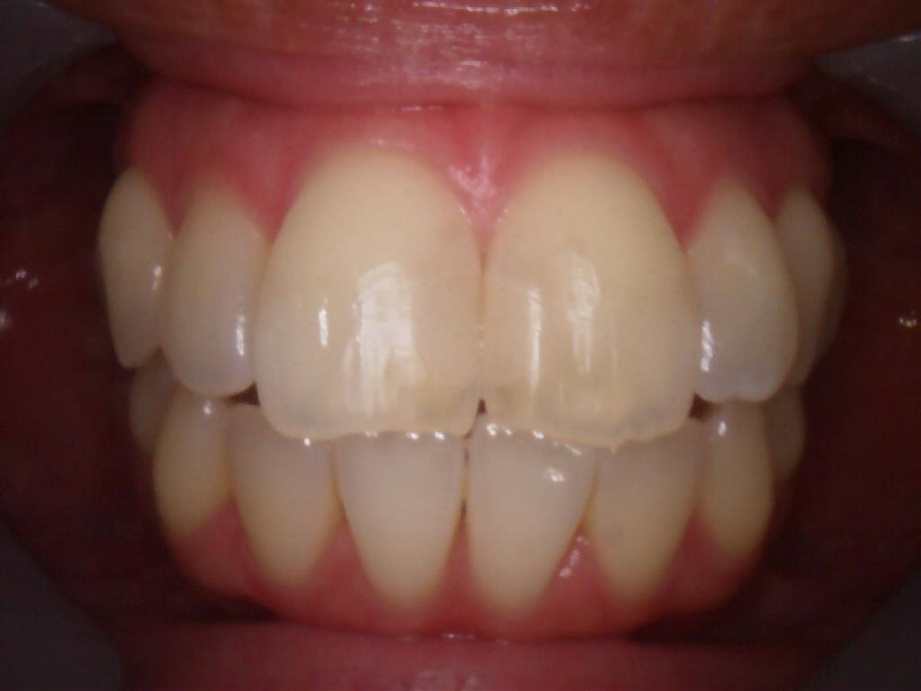
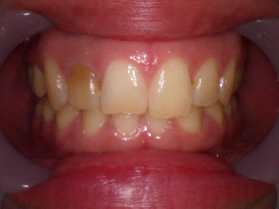
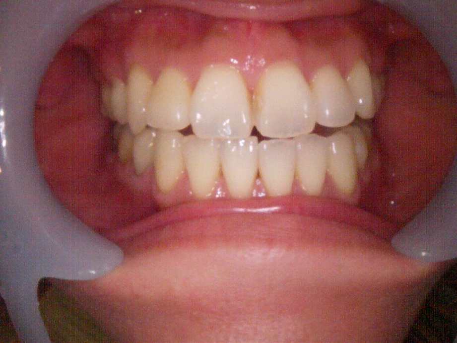
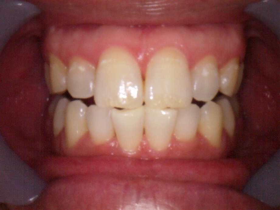
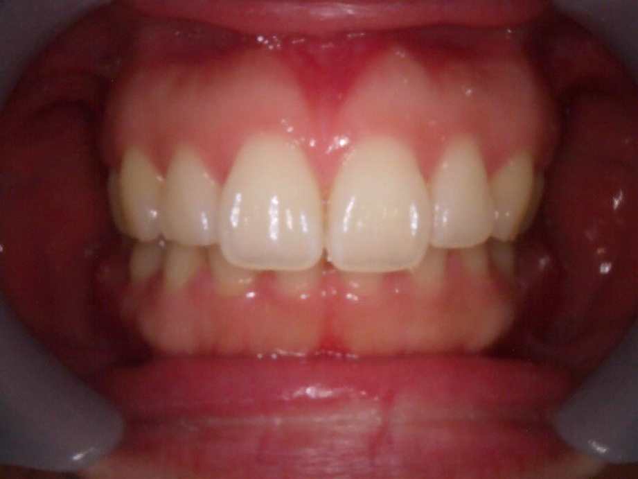
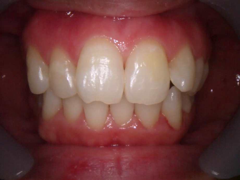
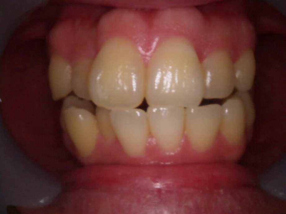
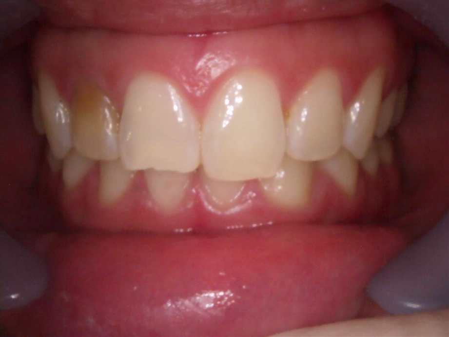
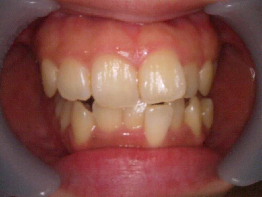
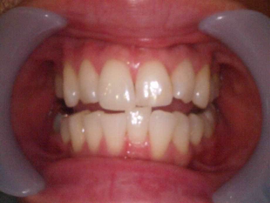
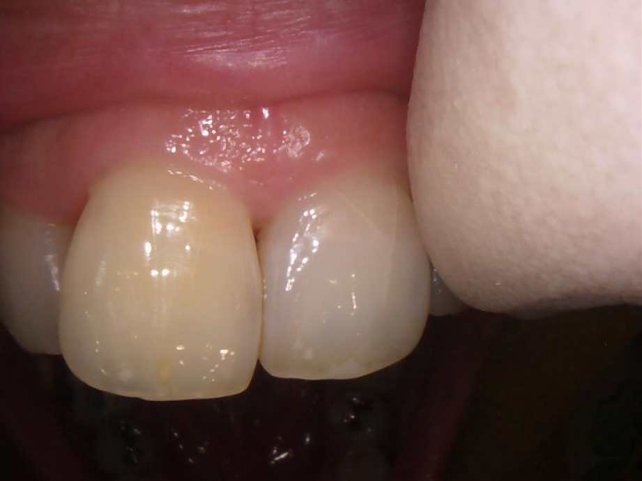
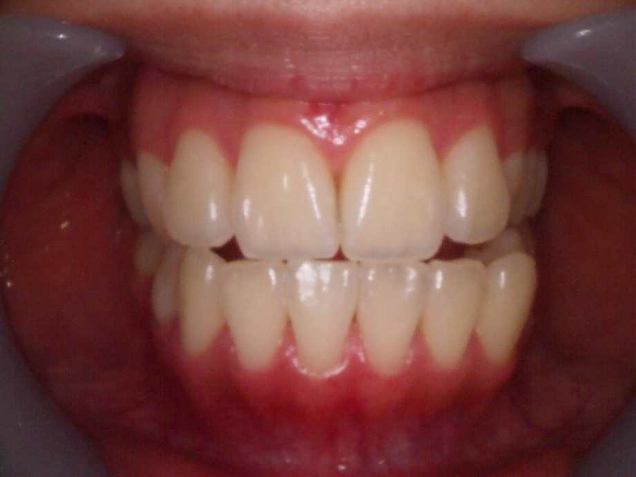
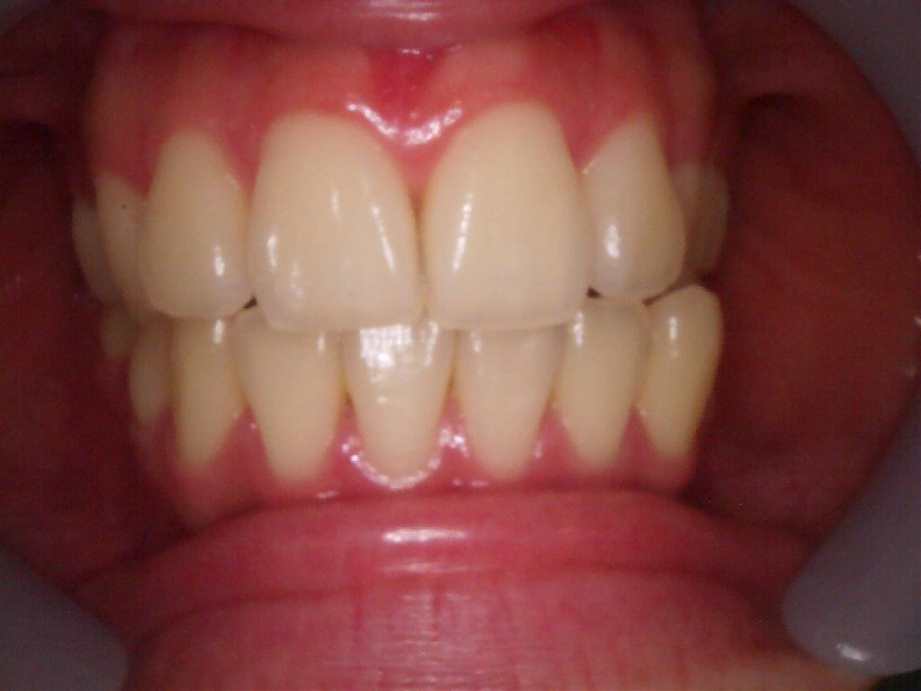
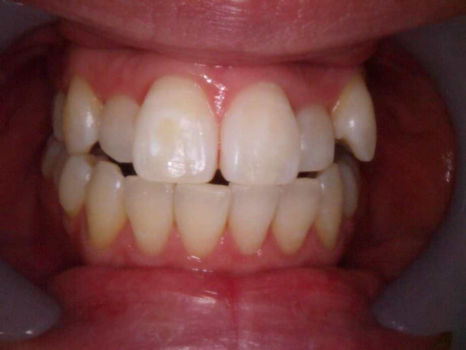
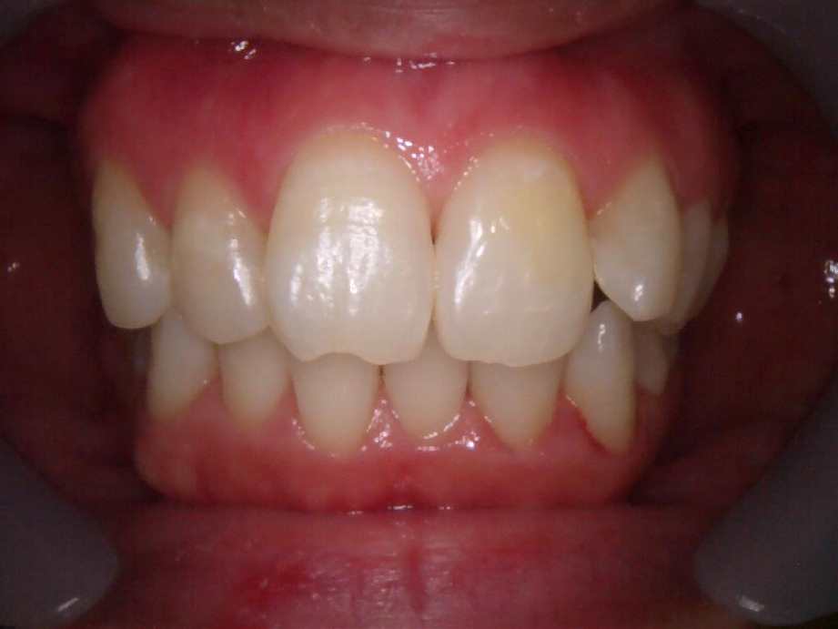
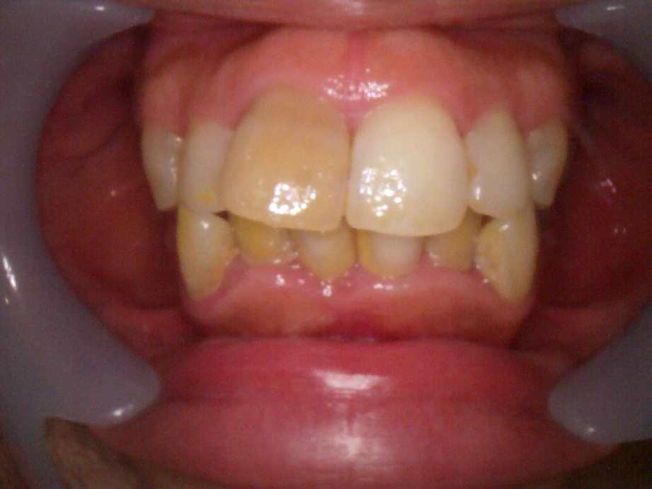
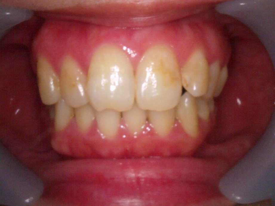
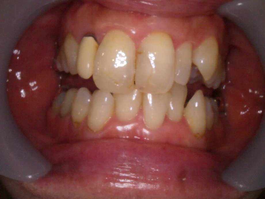
40代女性|歯を白くしたい
歯科医院で行うオフィスホワイトニングと、自宅で行えるホームホワイトニング、この2つを併用するデュアルホワイトニング
-
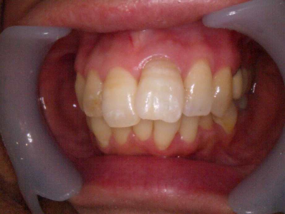
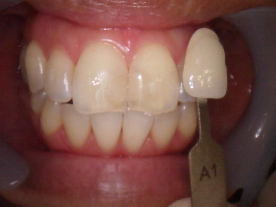
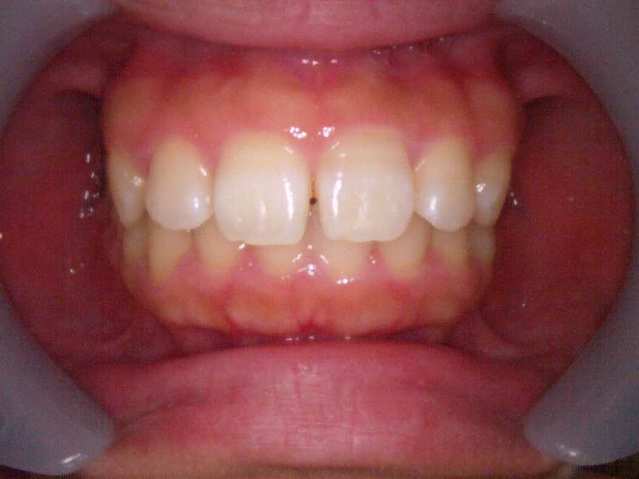
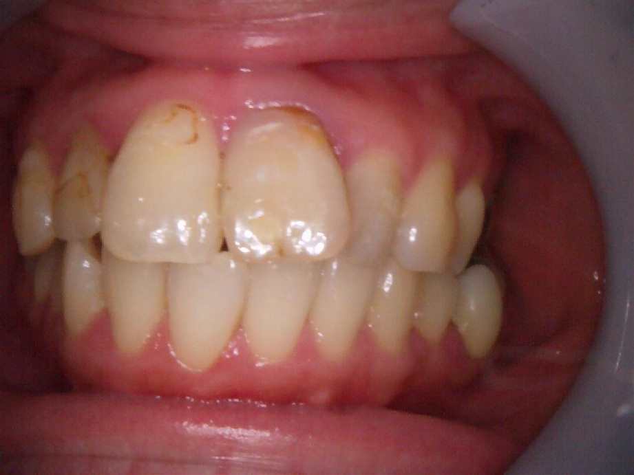
治療前
-
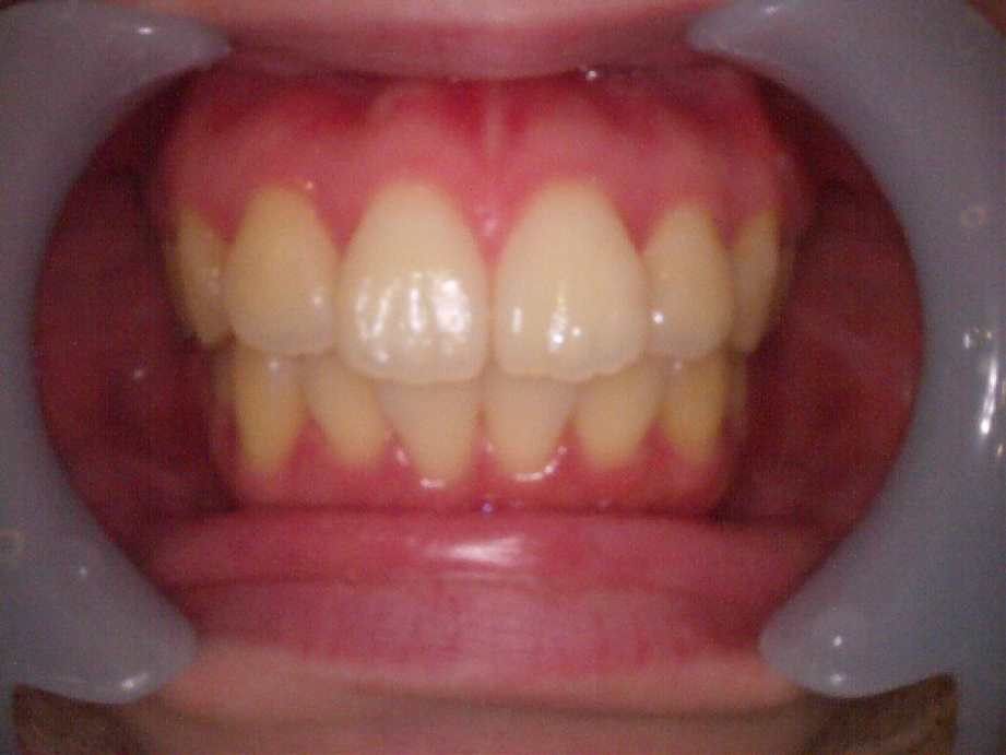
治療後
- 治療名称
- デュアルホワイトニング(オフィス1回、ホーム1回)
- 患者の症状
- ホワイトニング希望。
- 治療内容
- まずカウンセリングやお口の状態の確認、全体クリーニングをします。 ご成約後、オフィスホワイトニング初回の際にホワイトニング部位をエアフローでクリーニング後歯茎の保護剤と歯の表面に薬剤を塗布しホワイトニングしていきます。 最後にホームホワイトニングのマウスピースとジェルを三本お渡しして二週間ホワイトニングをします。 ホームホワイトニングが終わった次の日から歯の色の確認をさせていただきます。
- 治療期間・回数
- 1回(90分)15分3セット、2週間ホームホワイトニング、歯の色の確認
- 費用
※自由診療となります - ■総額:¥44,000(税込み)
- リスク・副作用
- ・無カタラーゼ症の方や妊娠中の方には施術できません。 ・ホワイトニング剤の影響で知覚過敏が起こるケースがあります。 ・歯肉にやけどのような白いあとが一時的に出る場合があります。 ・術後しばらくしみる場合があります。 ・個人歯の特徴により色ムラが出ることがあります。
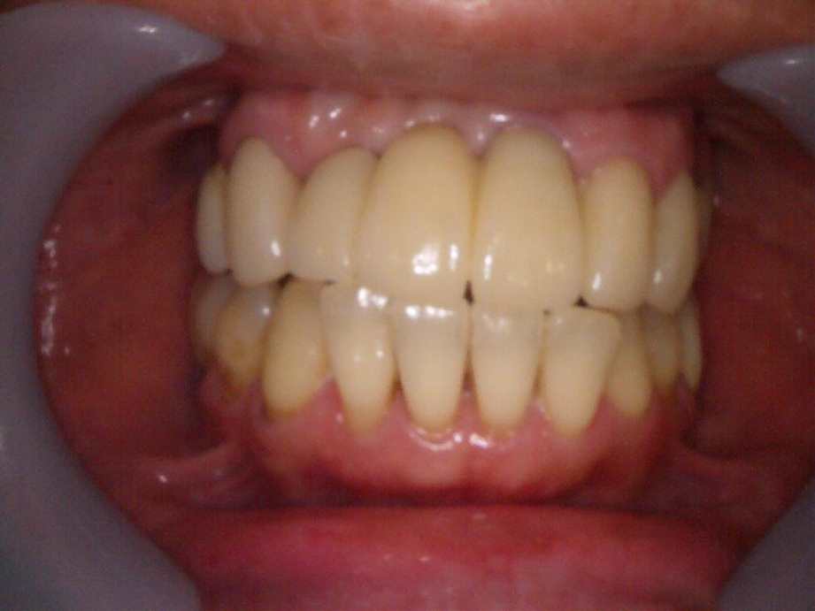
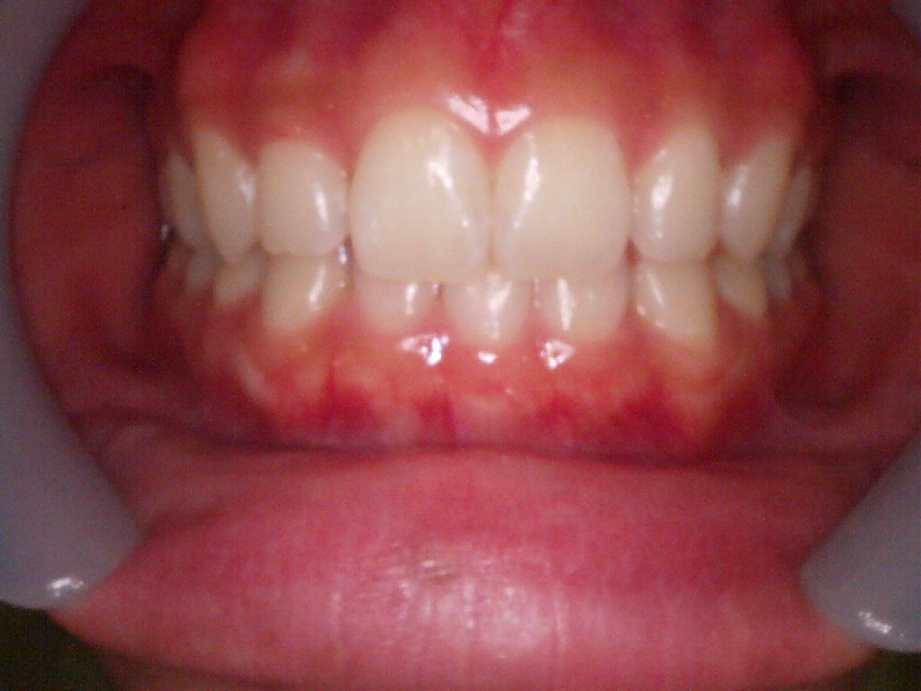
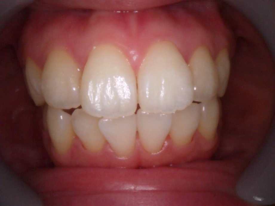
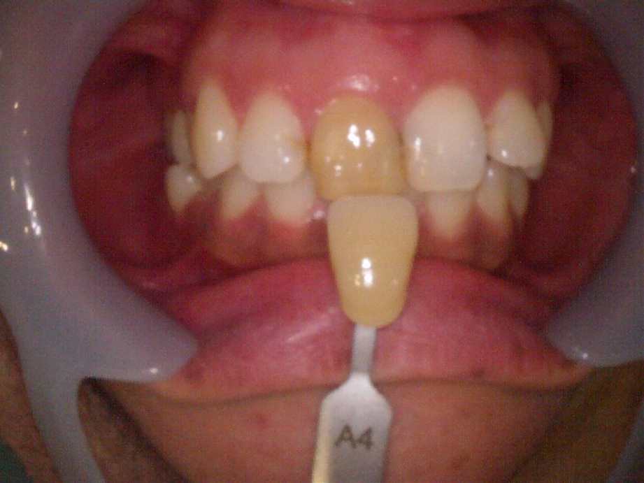
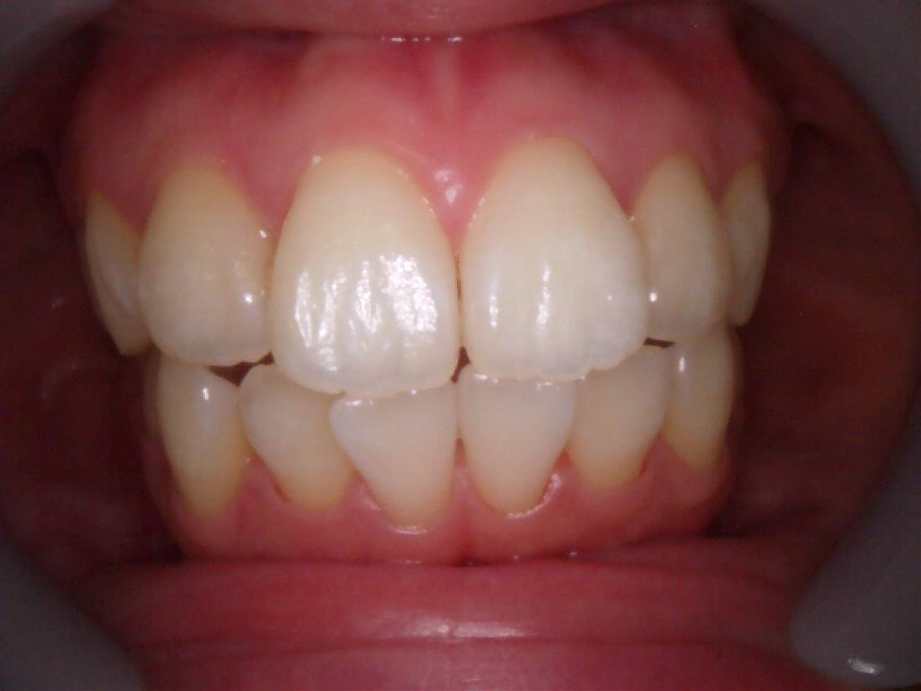
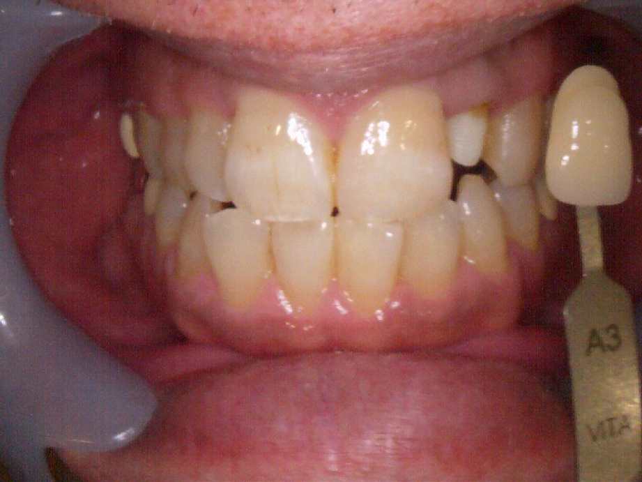
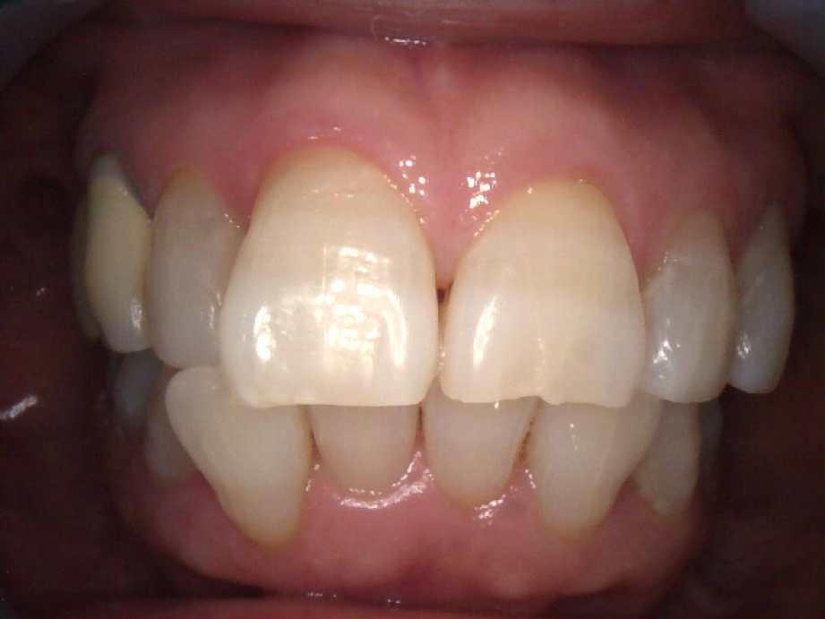
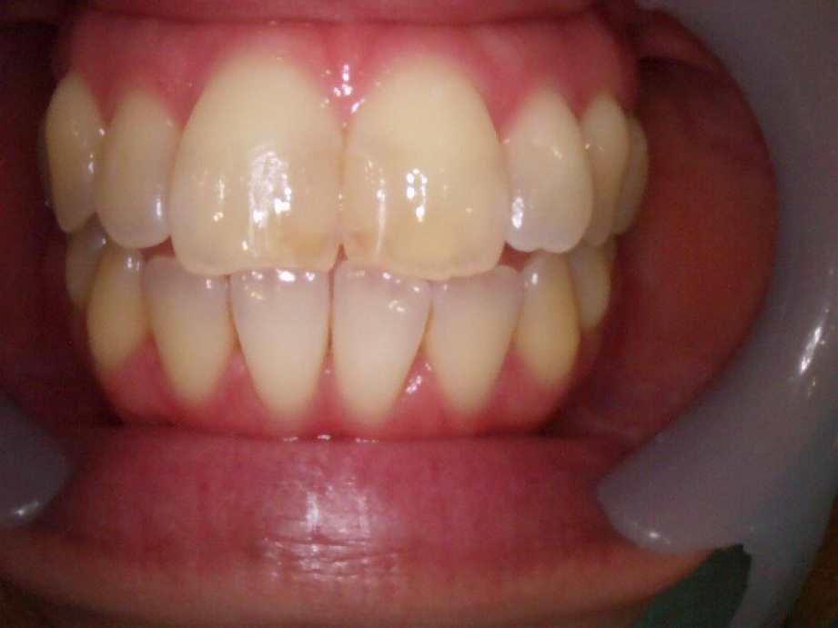
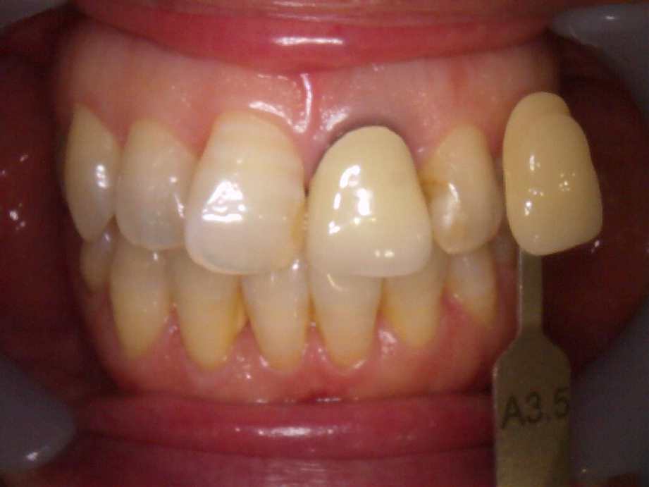
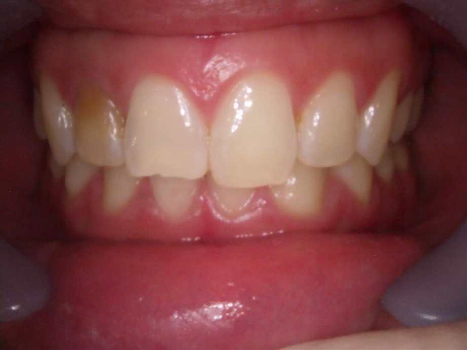
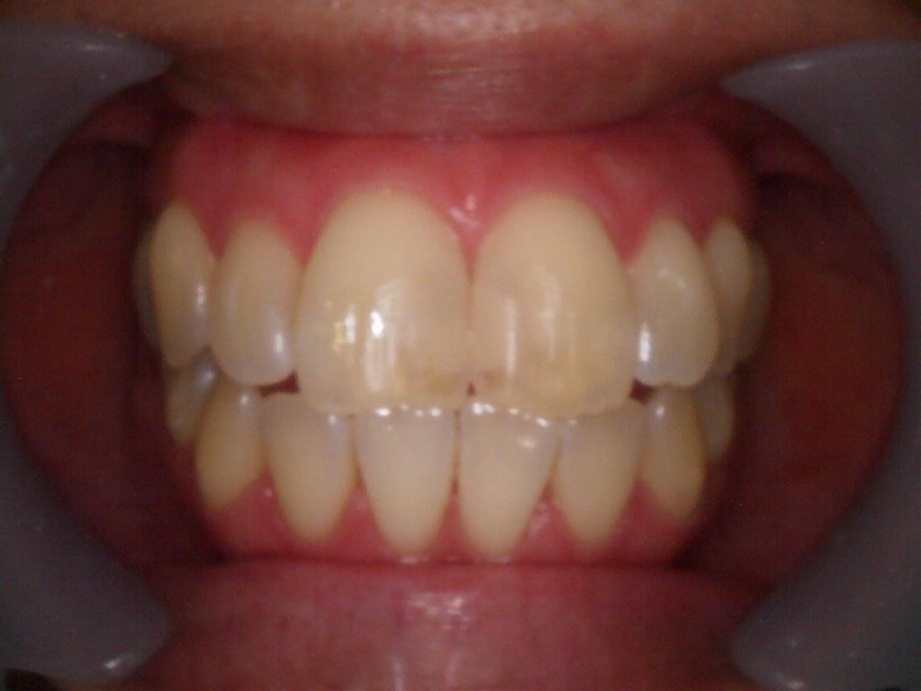
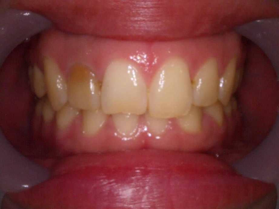
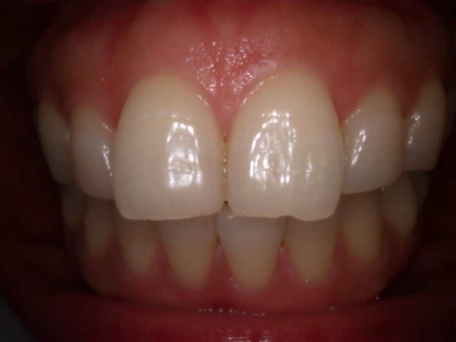
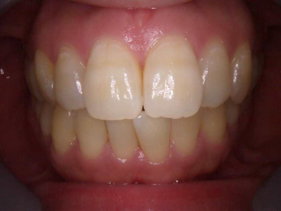
30代女性|歯を白くしたい
歯科医院で行うオフィスホワイトニングと、自宅で行えるホームホワイトニング、この2つを併用するデュアルホワイトニング
-
治療前
-
治療後
- 治療名称
- デュアルホワイトニング(オフィス1回、ホーム1回)
- 患者の症状
- ホワイトニングしたい。
- 治療内容
- まずカウンセリングやお口の状態の確認、全体クリーニングをします。 ご成約後、ホワイトニング初回の際にホワイトニング部位をエアフローでクリーニング後歯茎の保護剤と歯の表面に薬剤を塗布しホワイトニングしていきます。 最後にホームホワイトニングのマウスピースとジェルを三本お渡しして二週間ホワイトニングをします。 ホームホワイトニングが終わった次の日から歯の色の確認をさせていただきます。
- 治療期間・回数
- オフィスホワイトニング1回(90分)15分3セット ホームホワイトニング 2週間
- 費用
※自由診療となります - ■総額:¥44,000(税込み)
- リスク・副作用
- ・無カタラーゼ症の方や妊娠中の方には施術できません。 ・ホワイトニング剤の影響で知覚過敏が起こるケースがあります。 ・歯肉にやけどのような白いあとが一時的に出る場合があります。 ・術後しばらくしみる場合があります。 ・個人歯の特徴により色ムラが出ることがあります。
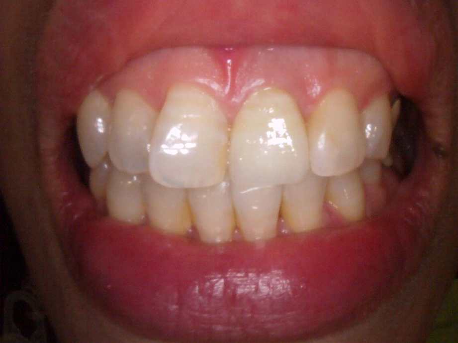
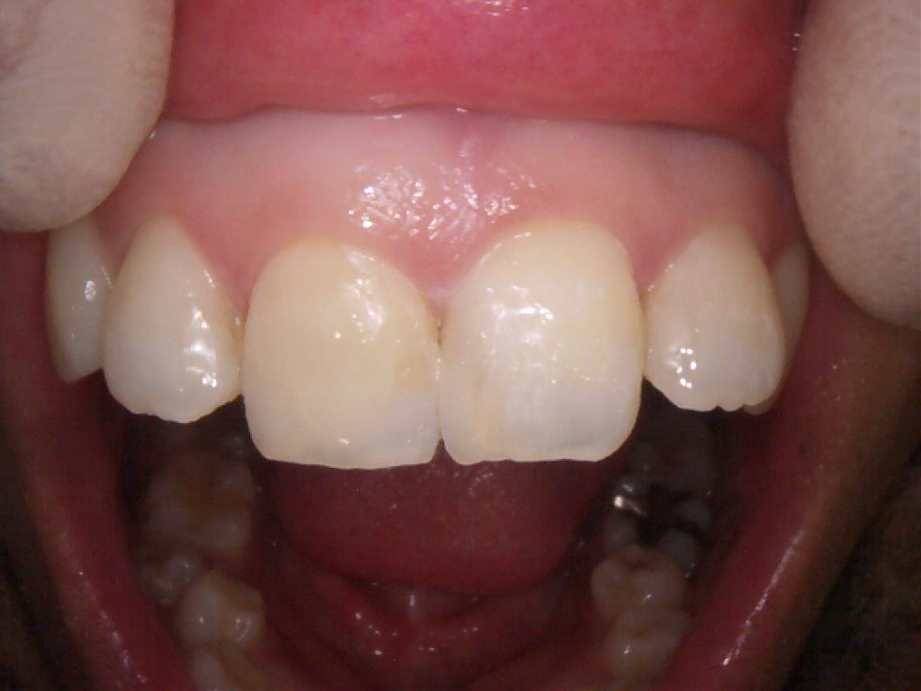
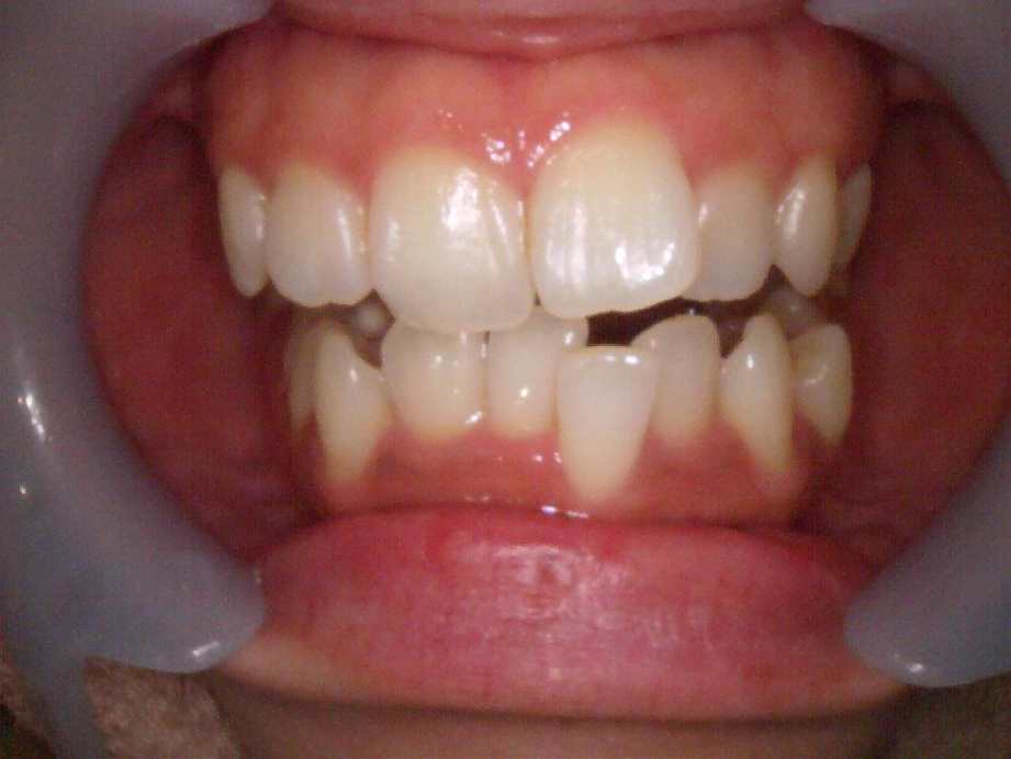
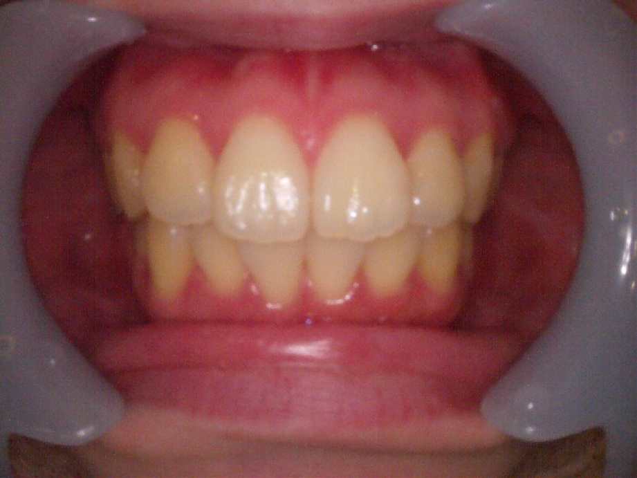
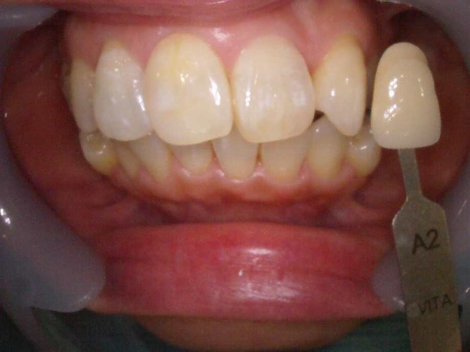
30代男性|歯を白くしたい
歯科医院で行うオフィスホワイトニングと、自宅で行えるホームホワイトニング、この2つを併用するデュアルホワイトニング
-
治療後
- 治療名称
- デュアルホワイトニング(オフィス1回、ホーム1回)
- 患者の症状
- ホワイトニングしたことないので気になる。
- 治療内容
- まずカウンセリングやお口の状態の確認、全体クリーニングをします。 ご成約後、ホワイトニング初回の際にホワイトニング部位をエアフローでクリーニング後歯茎の保護剤と歯の表面に薬剤を塗布しホワイトニングしていきます。 最後にホームホワイトニングのマウスピースとジェルを三本お渡しして二週間ホワイトニングをします。 ホームホワイトニングが終わった次の日から歯の色の確認をさせていただきます。
- 治療期間・回数
- オフィスホワイトニング1回(90分)15分3セット ホームホワイトニング 2週間
- 費用
※自由診療となります - ■総額:¥44,000(税込み)
- リスク・副作用
- ・無カタラーゼ症の方や妊娠中の方には施術できません。 ・ホワイトニング剤の影響で知覚過敏が起こるケースがあります。 ・歯肉にやけどのような白いあとが一時的に出る場合があります。 ・術後しばらくしみる場合があります。 ・個人歯の特徴により色ムラが出ることがあります。
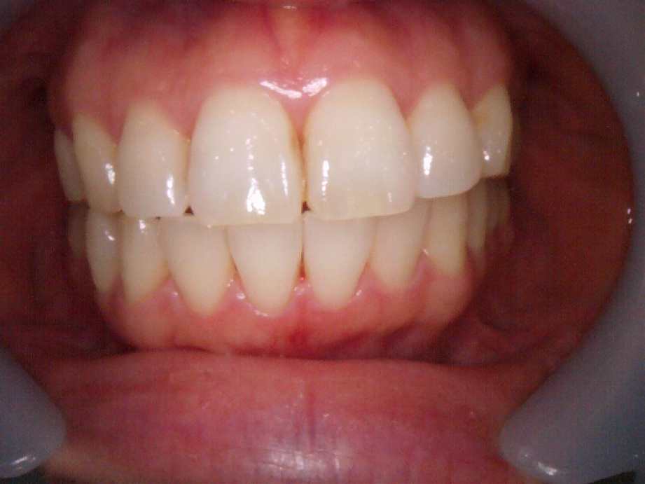
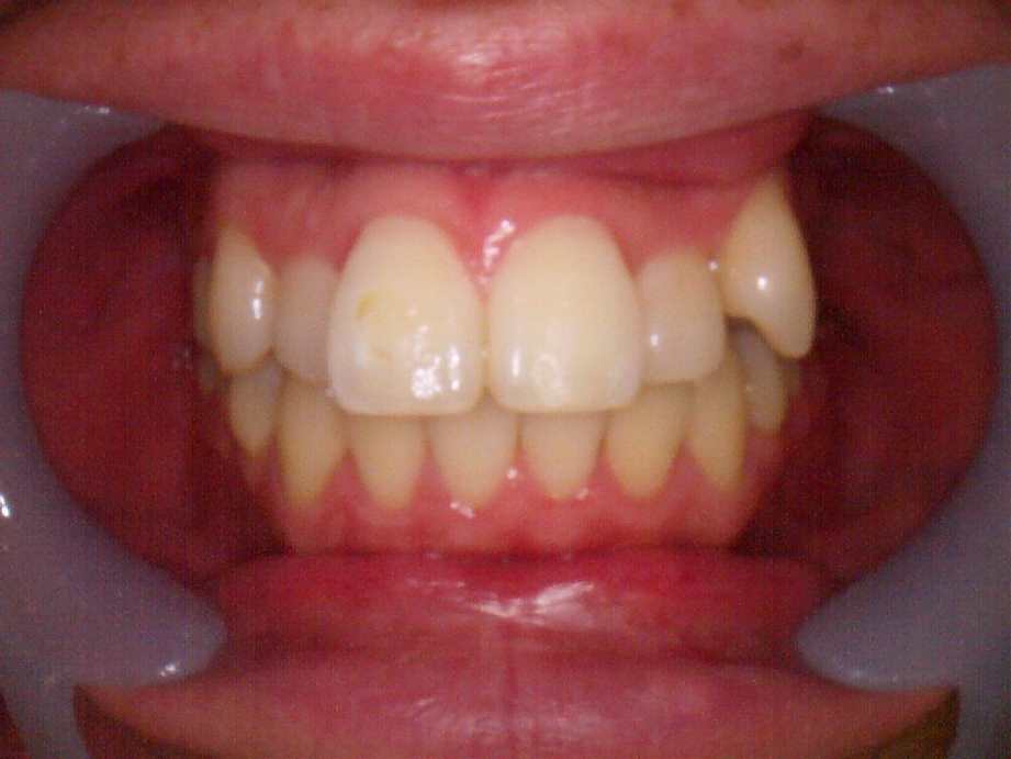
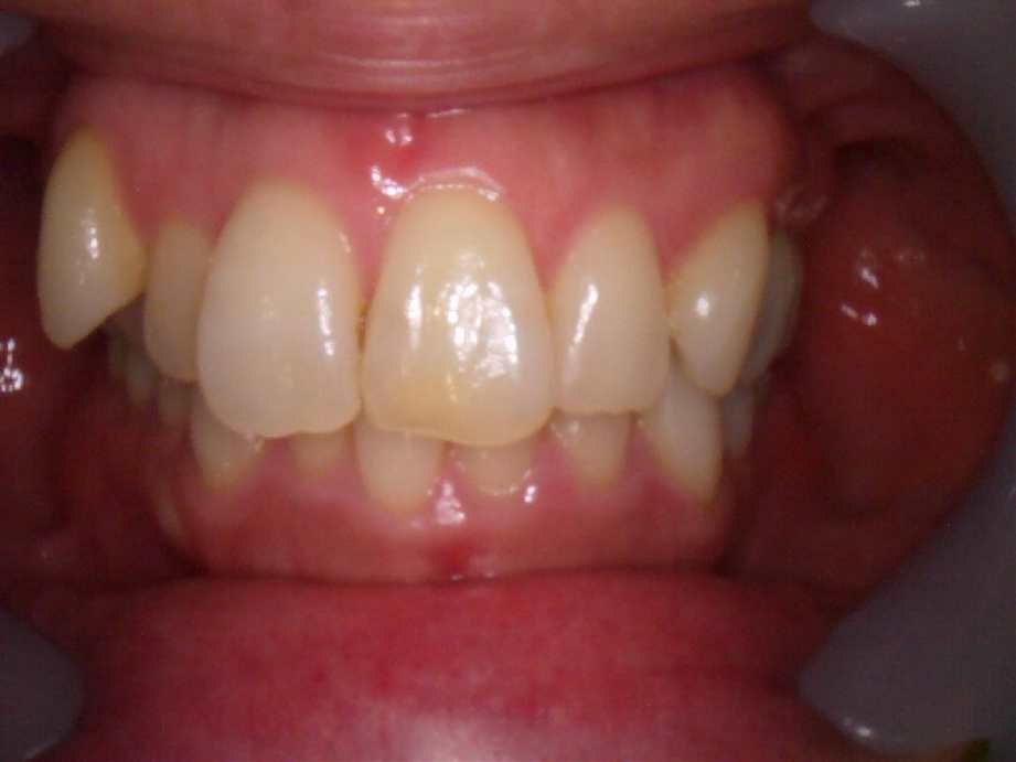
〇〇代男性|歯を白くしたい
歯科医院で行うオフィスホワイトニングと、自宅で行えるホームホワイトニング、この2つを併用するデュアルホワイトニング
-
治療前
-
治療後
- 治療名称
- デュアルホワイトニング
- 患者の症状
- 歯が黄ばんでおり、見た目が気になる。
- 治療内容
- 歯科医院で行うオフィスホワイトニングと、自宅で行えるホームホワイトニング、この2つを併用するデュアルホワイトニング
- 治療期間・回数
- 治療期間・回数
- 費用
※自由診療となります - 費用
- リスク・副作用
- ・無カタラーゼ症の方や妊娠中の方には施術できません。 ・ホワイトニング剤の影響で知覚過敏が起こるケースがあります。 ・歯肉にやけどのような白いあとが一時的に出る場合があります。 ・術後しばらくしみる場合があります。 ・個人歯の特徴により色ムラが出ることがあります。
20代女性|歯を白くしたい
歯科医院で行うオフィスホワイトニングと、自宅で行えるホームホワイトニング、この2つを併用するデュアルホワイトニング
-
治療前
-
治療後
- 治療名称
- デュアルホワイトニング(オフィス1回、ホーム1回)
- 患者の症状
- ホワイトニングしたい。
- 治療内容
- まずカウンセリングやお口の状態の確認、全体クリーニングをします。 ご成約後、ホワイトニング初回の際にホワイトニング部位をエアフローでクリーニング後歯茎の保護剤と歯の表面に薬剤を塗布しホワイトニングしていきます。 最後にホームホワイトニングのマウスピースとジェルを三本お渡しして二週間ホワイトニングをします。 ホームホワイトニングが終わった次の日から歯の色の確認をさせていただきます。
- 治療期間・回数
- オフィスホワイトニング1回(90分)15分3セット ホームホワイトニング 2週間
- 費用
※自由診療となります - ■総額:¥44,000(税込み)
- リスク・副作用
- ・無カタラーゼ症の方や妊娠中の方には施術できません。 ・ホワイトニング剤の影響で知覚過敏が起こるケースがあります。 ・歯肉にやけどのような白いあとが一時的に出る場合があります。 ・術後しばらくしみる場合があります。 ・個人歯の特徴により色ムラが出ることがあります。
50代男性|歯を白くしたい
歯科医院で行うオフィスホワイトニング
-
治療前
-
治療後
- 治療名称
- オフィスホワイトニング一回
- 患者の症状
- 営業職なので歯を白くしたい。
- 治療内容
- まずカウンセリングやお口の状態の確認、全体クリーニングをします。 ご成約後、ホワイトニング初回の際にホワイトニング部位をエアフローでクリーニング後歯茎の保護剤と歯の表面に薬剤を塗布していきます。
- 治療期間・回数
- 1回(90分)151分3セット
- 費用
※自由診療となります - ■総額:¥22,000(税込み) ■内訳:オフィスホワイトニング ¥22,000
- リスク・副作用
- ・無カタラーゼ症の方や妊娠中の方には施術できません。 ・ホワイトニング剤の影響で知覚過敏が起こるケースがあります。 ・歯肉にやけどのような白いあとが一時的に出る場合があります。 ・術後しばらくしみる場合があります。 ・個人歯の特徴により色ムラが出ることがあります。
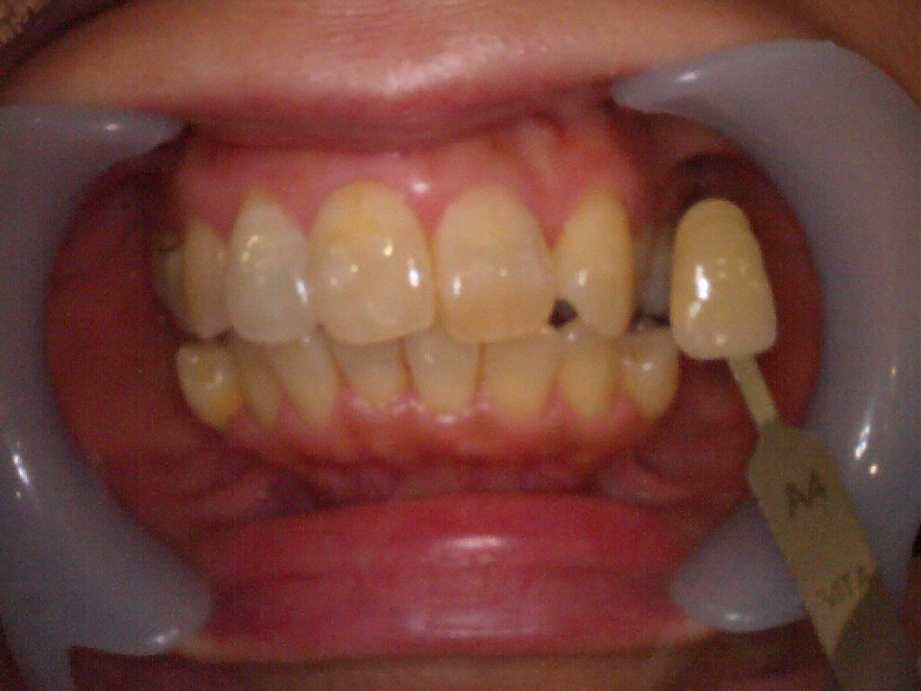
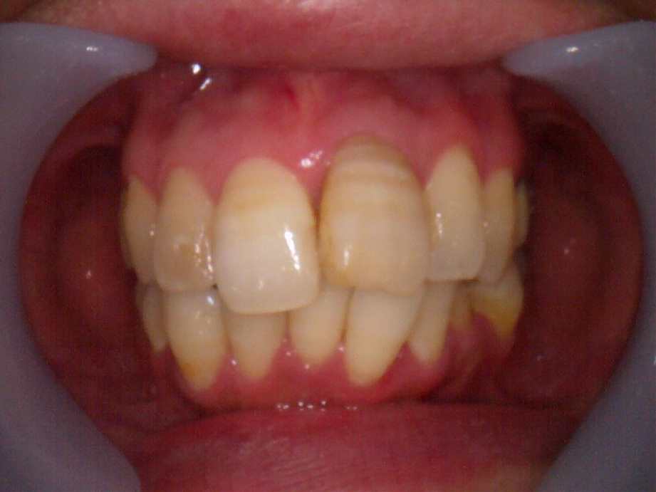
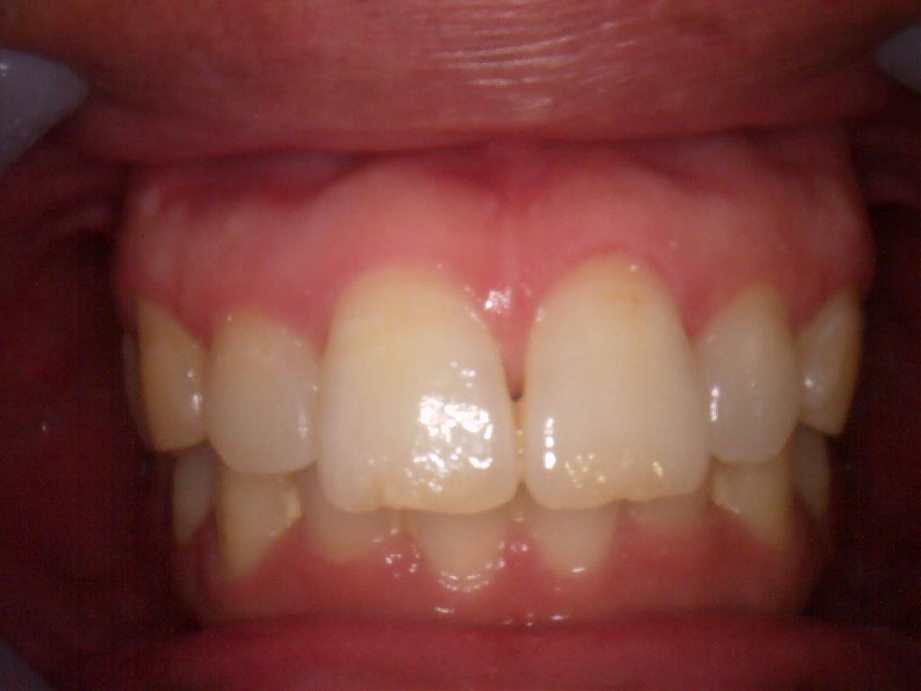
50代女性|歯を白くしたい
歯科医院で行うオフィスホワイトニング
-
治療前
-
治療後
- 治療名称
- オフィスホワイトニング一回
- 患者の症状
- 上顎前歯2-2e-maxやり替えのため、全体を白くしてからやり替えしたい。
- 治療内容
- まずカウンセリングやお口の状態の確認、全体クリーニングをします。 ご成約後、ホワイトニング初回の際にホワイトニング部位をエアフローでクリーニング後歯茎の保護剤と歯の表面に薬剤を塗布しホワイトニングしていきます。
- 治療期間・回数
- 1回(90分)15分3セット
- 費用
※自由診療となります - ■総額:¥60,500(税込み) ■内訳:オフィスホワイトニング ¥16,500(キャンペーン)×1 ¥22,000×2
- リスク・副作用
- ・無カタラーゼ症の方や妊娠中の方には施術できません。 ・ホワイトニング剤の影響で知覚過敏が起こるケースがあります。 ・歯肉にやけどのような白いあとが一時的に出る場合があります。 ・術後しばらくしみる場合があります。 ・個人歯の特徴により色ムラが出ることがあります。
40代男性|歯を白くしたい
歯科医院で行うオフィスホワイトニング
-
治療前
-
治療後
- 治療名称
- オフィスホワイトニング1回
- 患者の症状
- オフィスホワイトニング1回してみたい。
- 治療内容
- まずカウンセリングやお口の状態の確認、全体クリーニングをします。 ご成約後、ホワイトニング初回の際にホワイトニング部位をエアフローでクリーニング後歯茎の保護剤と歯の表面に薬剤を塗布しホワイトニングしていきます。
- 治療期間・回数
- 1回(90分)15分3セット
- 費用
※自由診療となります - ■総額:¥16,500(税込み) ■内訳:オフィスホワイトニング ¥16,500(キャンペーン)
- リスク・副作用
- ・無カタラーゼ症の方や妊娠中の方には施術できません。 ・ホワイトニング剤の影響で知覚過敏が起こるケースがあります。 ・歯肉にやけどのような白いあとが一時的に出る場合があります。 ・術後しばらくしみる場合があります。 ・個人歯の特徴により色ムラが出ることがあります。
30代女性|歯を白くしたい
歯科医院で行うオフィスホワイトニング
-
治療前
-
治療後
- 治療名称
- オフィスホワイトニング1回
- 患者の症状
- ホワイトニング希望
- 治療内容
- まずカウンセリングやお口の状態の確認、全体クリーニングをします。 ご成約後、ホワイトニング初回の際にホワイトニング部位をエアフローでクリーニング後歯茎の保護剤と歯の表面に薬剤を塗布しホワイトニングしていきます。
- 治療期間・回数
- 1回(90分)15分3セット
- 費用
※自由診療となります - ■総額:¥49,500(税込み) ■内訳:オフィスホワイトニング ¥16,500(キャンペーン)×1 オフィスホワイトニング2回コース¥33,000
- リスク・副作用
- ・無カタラーゼ症の方や妊娠中の方には施術できません。 ・ホワイトニング剤の影響で知覚過敏が起こるケースがあります。 ・歯肉にやけどのような白いあとが一時的に出る場合があります。 ・術後しばらくしみる場合があります。 ・個人歯の特徴により色ムラが出ることがあります。
〇〇代女性|歯を白くしたい
歯科医院で行うオフィスホワイトニング
-
治療前
-
治療後
- 治療名称
- オフィスホワイトニング
- 患者の症状
- 歯が黄ばんでおり、見た目が気になる。
- 治療内容
- 歯科医院で行うオフィスホワイトニング
- 治療期間・回数
- 治療期間・回数
- 費用
※自由診療となります - 費用
- リスク・副作用
- ・無カタラーゼ症の方や妊娠中の方には施術できません。 ・ホワイトニング剤の影響で知覚過敏が起こるケースがあります。 ・歯肉にやけどのような白いあとが一時的に出る場合があります。 ・術後しばらくしみる場合があります。 ・個人歯の特徴により色ムラが出ることがあります。
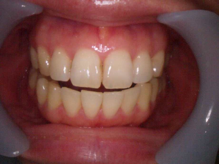
20代女性|歯を白くしたい
歯科医院で行うオフィスホワイトニング
-
治療前
-
治療後
- 治療名称
- オフィスホワイトニング1回、プレミアムホワイトニング(オフィス+ホーム+オフィス)1回
- 患者の症状
- ホワイトニングをしたことないのでしてみたい。
- 治療内容
- まずカウンセリングやお口の状態の確認、全体クリーニングをします。 ご成約後、ホワイトニング初回の際にホワイトニング部位をエアフローでクリーニング後歯茎の保護剤と歯の表面に薬剤を塗布しホワイトニングしていきます。
- 治療期間・回数
- ◎オフィスホワイトニング 1回(90分)15分3セット ◎プレミアムホワイトニング(オフィス+ホーム+オフィス) オフィスホワイトニング1回、次の日からGOでホームホワイトニング90分を10日間、1日開けてオフィスホワイトニング1回
- 費用
※自由診療となります - ■総額:¥70,400(税込み) ■内訳:オフィスホワイトニング ¥22,000、プレミアムホワイトニング¥48,400
- リスク・副作用
- ・無カタラーゼ症の方や妊娠中の方には施術できません。 ・ホワイトニング剤の影響で知覚過敏が起こるケースがあります。 ・歯肉にやけどのような白いあとが一時的に出る場合があります。 ・術後しばらくしみる場合があります。 ・個人歯の特徴により色ムラが出ることがあります。
20代女性|歯を白くしたい
歯科医院で行うオフィスホワイトニング
-
治療前
-
治療後
- 治療名称
- オフィスホワイトニング1回
- 患者の症状
- 結婚式があるので歯を白くしたい。
- 治療内容
- まずカウンセリングやお口の状態の確認、全体クリーニングをします。 ご成約後、ホワイトニング初回の際にホワイトニング部位をエアフローでクリーニング後歯茎の保護剤と歯の表面に薬剤を塗布しホワイトニングしていきます。
- 治療期間・回数
- 1回(90分)15分3セット
- 費用
※自由診療となります - ■総額:¥22,000(税込み) ■内訳:オフィスホワイトニング ¥22,000(税込み)
- リスク・副作用
- ・無カタラーゼ症の方や妊娠中の方には施術できません。 ・ホワイトニング剤の影響で知覚過敏が起こるケースがあります。 ・歯肉にやけどのような白いあとが一時的に出る場合があります。 ・術後しばらくしみる場合があります。 ・個人歯の特徴により色ムラが出ることがあります。
50代女性|歯を白くしたい
自宅で行うホームホワイトニング
-
治療前
-
治療後
- 治療名称
- ホームホワイトニング
- 患者の症状
- ホワイトニング希望。
- 治療内容
- まずカウンセリングやお口の状態の確認、全体クリーニングをします。 ホームホワイトニング用のマウスピースを作成して2週間寝てる間につけていただきます。 ホワイトニングが終わったら当院にお越しいただいて歯の色を確認します。
- 治療期間・回数
- ホームホワイトニング 2週間
- 費用
※自由診療となります - ■総額:¥27,500円(税込み)
- リスク・副作用
- ・知覚過敏(しみる・痛み) ・歯ぐきの炎症・ヒリヒリ感 ・一時的な歯の違和感 ・効果に個人差がある ・詰め物・被せ物は白くならない ・色戻りすることがある ・使用方法を誤るとトラブルが生じる可能性がある
50代女性|歯を白くしたい
自宅で行うホームホワイトニング
-
治療前
-
治療後
- 治療名称
- ホームホワイトニング
- 患者の症状
- ホワイトニング希望。
- 治療内容
- まずカウンセリングやお口の状態の確認、全体クリーニングをします。 ホームホワイトニング用のマウスピースを作成して2週間寝てる間につけていただきます。 ホワイトニングが終わったら当院にお越しいただいて歯の色を確認します。
- 治療期間・回数
- ホームホワイトニング 2週間
- 費用
※自由診療となります - ■総額:¥22,000円(税込み) キャンペーン価格
- リスク・副作用
- ・知覚過敏(しみる・痛み) ・歯ぐきの炎症・ヒリヒリ感 ・一時的な歯の違和感 ・効果に個人差がある ・詰め物・被せ物は白くならない ・色戻りすることがある ・使用方法を誤るとトラブルが生じる可能性がある
30代男性|歯を白くしたい
自宅で行うホームホワイトニング
-
治療前
-
治療後
- 治療名称
- ホームホワイトニング
- 患者の症状
- ホワイトニング希望。
- 治療内容
- まずカウンセリングやお口の状態の確認、全体クリーニングをします。 ホームホワイトニング用のマウスピースを作成して2週間寝てる間につけていただきます。 ホワイトニングが終わったら当院にお越しいただいて歯の色を確認します。
- 治療期間・回数
- ホームホワイトニング 2週間
- 費用
※自由診療となります - ■総額:¥22,000円(税込み) キャンペーン価格
- リスク・副作用
- ・知覚過敏(しみる・痛み) ・歯ぐきの炎症・ヒリヒリ感 ・一時的な歯の違和感 ・効果に個人差がある ・詰め物・被せ物は白くならない ・色戻りすることがある ・使用方法を誤るとトラブルが生じる可能性がある
30代女性|歯を白くしたい
自宅で行うホームホワイトニング
-
治療前
-
治療後
- 治療名称
- ホームホワイトニング
- 患者の症状
- ホワイトニング希望。
- 治療内容
- まずカウンセリングやお口の状態の確認、全体クリーニングをします。 ホームホワイトニング用のマウスピースを作成して2週間寝てる間につけていただきます。 ホワイトニングが終わったら当院にお越しいただいて歯の色を確認します。
- 治療期間・回数
- ホームホワイトニング 2週間
- 費用
※自由診療となります - ■総額:¥22,000円(税込み) キャンペーン価格
- リスク・副作用
- ・知覚過敏(しみる・痛み) ・歯ぐきの炎症・ヒリヒリ感 ・一時的な歯の違和感 ・効果に個人差がある ・詰め物・被せ物は白くならない ・色戻りすることがある ・使用方法を誤るとトラブルが生じる可能性がある
〇〇代女性|歯を白くしたい
ホワイトニング
-
治療前
-
治療後
- 治療名称
- ホワイトニング
- 患者の症状
- 歯が黄ばんでおり、見た目が気になる。
- 治療内容
- ホワイトニング
- 治療期間・回数
- 治療期間・回数
- 費用
※自由診療となります - 費用
- リスク・副作用
- ・無カタラーゼ症の方や妊娠中の方には施術できません。 ・ホワイトニング剤の影響で知覚過敏が起こるケースがあります。 ・歯肉にやけどのような白いあとが一時的に出る場合があります。 ・術後しばらくしみる場合があります。 ・個人歯の特徴により色ムラが出ることがあります。
20代女性|歯を白くしたい
ホワイトニング
-
治療前
-
治療後
- 治療名称
- ホワイトニング
- 患者の症状
- ホワイトニング希望。
- 治療内容
- まずカウンセリングやお口の状態の確認、全体クリーニングをします。 ご成約後、オフィスホワイトニング初回の際にホワイトニング部位をエアフローでクリーニング後歯茎の保護剤と歯の表面に薬剤を塗布しホワイトニングしていきます。
- 治療期間・回数
- 1回(90分)15分3セット
- 費用
※自由診療となります - ■総額:¥22,000(税込み)
- リスク・副作用
- ・無カタラーゼ症の方や妊娠中の方には施術できません。 ・ホワイトニング剤の影響で知覚過敏が起こるケースがあります。 ・歯肉にやけどのような白いあとが一時的に出る場合があります。 ・術後しばらくしみる場合があります。 ・個人歯の特徴により色ムラが出ることがあります。
〇〇代女性|歯を白くしたい
ホワイトニング
-
治療前
-
治療後
- 治療名称
- ホワイトニング
- 患者の症状
- 歯が黄ばんでおり、見た目が気になる。
- 治療内容
- ホワイトニング
- 治療期間・回数
- 治療期間・回数
- 費用
※自由診療となります - 費用
- リスク・副作用
- ・無カタラーゼ症の方や妊娠中の方には施術できません。 ・ホワイトニング剤の影響で知覚過敏が起こるケースがあります。 ・歯肉にやけどのような白いあとが一時的に出る場合があります。 ・術後しばらくしみる場合があります。 ・個人歯の特徴により色ムラが出ることがあります。
60代女性|歯を白くしたい
プレミアムホワイトニング
-
治療前
-
治療後
- 治療名称
- プレミアムホワイトニング(オフィス1回、ホーム1回、オフィス1回)
- 患者の症状
- ホワイトニング気になる。
- 治療内容
- まずカウンセリングやお口の状態の確認、全体クリーニングをします。 ご成約後、ホワイトニング初回の際にホワイトニング部位をエアフローでクリーニング後歯茎の保護剤と歯の表面に薬剤を塗布しホワイトニングしていきます。 最後にホームホワイトニングマウスピースをお渡しします。オフィスホワイトニングした次の日から二週間ホームホワイトニングしていきます。 ホームホワイトニングが終わったらもう一度オフィスホワイトニングをします。
- 治療期間・回数
- オフィスホワイトニング1回(90分)15分3セット ホームホワイトニング 二週間寝てる間
- 費用
※自由診療となります - ■総額:¥51,700円(税込み)
- リスク・副作用
- ・無カタラーゼ症の方や妊娠中の方には施術できません。 ・ホワイトニング剤の影響で知覚過敏が起こるケースがあります。 ・歯肉にやけどのような白いあとが一時的に出る場合があります。 ・術後しばらくしみる場合があります。 ・個人歯の特徴により色ムラが出ることがあります。
50代女性|歯を白くしたい
プレミアムホワイトニング
-
治療前
-
治療後
- 治療名称
- プレミアムホワイトニング(オフィス1回、ホーム1回、オフィス1回)
- 患者の症状
- ホワイトニング気になる。
- 治療内容
- まずカウンセリングやお口の状態の確認、全体クリーニングをします。 ご成約後、ホワイトニング初回の際にホワイトニング部位をエアフローでクリーニング後歯茎の保護剤と歯の表面に薬剤を塗布しホワイトニングしていきます。 最後にホームホワイトニングGOのキットをお渡しします。オフィスホワイトニングした次の日から1回90分を10日間していきます。 ホームホワイトニングが終わったらもう一度オフィスホワイトニングをします。
- 治療期間・回数
- オフィスホワイトニング1回(90分)15分3セット ホームホワイトニング 1回90分を10日間
- 費用
※自由診療となります - ■総額:¥48,400円(税込み)
- リスク・副作用
- ・無カタラーゼ症の方や妊娠中の方には施術できません。 ・ホワイトニング剤の影響で知覚過敏が起こるケースがあります。 ・歯肉にやけどのような白いあとが一時的に出る場合があります。 ・術後しばらくしみる場合があります。 ・個人歯の特徴により色ムラが出ることがあります。
60代女性|歯を白くしたい
プレミアムホワイトニング
-
治療前
-
治療後
- 治療名称
- プレミアムホワイトニング(オフィス1回、ホーム1回、オフィス1回)
- 患者の症状
- ホワイトニング気になる。
- 治療内容
- まずカウンセリングやお口の状態の確認、全体クリーニングをします。 ご成約後、ホワイトニング初回の際にホワイトニング部位をエアフローでクリーニング後歯茎の保護剤と歯の表面に薬剤を塗布しホワイトニングしていきます。 最後にホームホワイトニングGOのキットをお渡しします。オフィスホワイトニングした次の日から1回90分を10日間していきます。 ホームホワイトニングが終わったらもう一度オフィスホワイトニングをします。
- 治療期間・回数
- オフィスホワイトニング1回(90分)15分3セット ホームホワイトニング 1回90分を10日間
- 費用
※自由診療となります - ■総額:¥48,400円(税込み)
- リスク・副作用
- ・無カタラーゼ症の方や妊娠中の方には施術できません。 ・ホワイトニング剤の影響で知覚過敏が起こるケースがあります。 ・歯肉にやけどのような白いあとが一時的に出る場合があります。 ・術後しばらくしみる場合があります。 ・個人歯の特徴により色ムラが出ることがあります。
30代女性|歯を白くしたい
プレミアムホワイトニング
-
治療前
-
治療後
- 治療名称
- プレミアムホワイトニング(オフィス1回、ホーム1回、オフィス1回)
- 患者の症状
- まずカウンセリングやお口の状態の確認、全体クリーニングをします。 ご成約後、ホワイトニング初回の際にホワイトニング部位をエアフローでクリーニング後歯茎の保護剤と歯の表面に薬剤を塗布しホワイトニングしていきます。 最後にホームホワイトニングGOのキットをお渡しします。オフィスホワイトニングした次の日から1回90分を10日間していきます。 ホームホワイトニングが終わったらもう一度オフィスホワイトニングをします。
- 治療内容
- ホワイトニング興味ある。
- 治療期間・回数
- オフィスホワイトニング1回(90分)15分3セット ホームホワイトニング 1回90分を10日間
- 費用
※自由診療となります - ■総額:¥48,400円(税込み)
- リスク・副作用
- ・無カタラーゼ症の方や妊娠中の方には施術できません。 ・ホワイトニング剤の影響で知覚過敏が起こるケースがあります。 ・歯肉にやけどのような白いあとが一時的に出る場合があります。 ・術後しばらくしみる場合があります。 ・個人歯の特徴により色ムラが出ることがあります。
40代女性|歯を白くしたい
プレミアムホワイトニング
-
治療前
-
治療後
- 治療名称
- プレミアムホワイトニング(オフィス1回、ホーム1回、オフィス1回)
- 患者の症状
- 同窓会があるのでホワイトニング希望。
- 治療内容
- まずカウンセリングやお口の状態の確認、全体クリーニングをします。 ご成約後、ホワイトニング初回の際にホワイトニング部位をエアフローでクリーニング後歯茎の保護剤と歯の表面に薬剤を塗布しホワイトニングしていきます。 最後にホームホワイトニングGOのキットをお渡しします。オフィスホワイトニングした次の日から1回90分を10日間していきます。 ホームホワイトニングが終わったらもう一度オフィスホワイトニングをします。
- 治療期間・回数
- オフィスホワイトニング1回(90分)15分3セット ホームホワイトニング 1回90分を10日間
- 費用
※自由診療となります - ■総額:¥48,400円(税込み)
- リスク・副作用
- ・無カタラーゼ症の方や妊娠中の方には施術できません。 ・ホワイトニング剤の影響で知覚過敏が起こるケースがあります。 ・歯肉にやけどのような白いあとが一時的に出る場合があります。 ・術後しばらくしみる場合があります。 ・個人歯の特徴により色ムラが出ることがあります。
50代女性|歯を白くしたい
プレミアムホワイトニング
-
治療前
-
治療後
- 治療名称
- プレミアムホワイトニング(オフィス1回、ホーム1回、オフィス1回)
- 患者の症状
- ホワイトニング興味あり。
- 治療内容
- まずカウンセリングやお口の状態の確認、全体クリーニングをします。 ご成約後、ホワイトニング初回の際にホワイトニング部位をエアフローでクリーニング後歯茎の保護剤と歯の表面に薬剤を塗布しホワイトニングしていきます。 最後にホームホワイトニングGOのキットをお渡しします。オフィスホワイトニングした次の日から1回90分を10日間していきます。 ホームホワイトニングが終わったらもう一度オフィスホワイトニングをします。
- 治療期間・回数
- オフィスホワイトニング1回(90分)15分3セット ホームホワイトニング 1回90分を10日間
- 費用
※自由診療となります - ■総額:¥48,400円(税込み)
- リスク・副作用
- ・無カタラーゼ症の方や妊娠中の方には施術できません。 ・ホワイトニング剤の影響で知覚過敏が起こるケースがあります。 ・歯肉にやけどのような白いあとが一時的に出る場合があります。 ・術後しばらくしみる場合があります。 ・個人歯の特徴により色ムラが出ることがあります。
30代女性|歯を白くしたい
プレミアムホワイトニング
-
治療前
-
治療後
- 治療名称
- プレミアムホワイトニング(オフィス1回、ホーム1回、オフィス1回)
- 患者の症状
- ホワイトニング気になる。
- 治療内容
- まずカウンセリングやお口の状態の確認、全体クリーニングをします。 ご成約後、ホワイトニング初回の際にホワイトニング部位をエアフローでクリーニング後歯茎の保護剤と歯の表面に薬剤を塗布しホワイトニングしていきます。 最後にホームホワイトニングGOのキットをお渡しします。オフィスホワイトニングした次の日から1回90分を10日間していきます。 ホームホワイトニングが終わったらもう一度オフィスホワイトニングをします。
- 治療期間・回数
- オフィスホワイトニング1回(90分)15分3セット ホームホワイトニング 1回90分を10日間
- 費用
※自由診療となります - ■総額:¥48,400円(税込み)
- リスク・副作用
- ・無カタラーゼ症の方や妊娠中の方には施術できません。 ・ホワイトニング剤の影響で知覚過敏が起こるケースがあります。 ・歯肉にやけどのような白いあとが一時的に出る場合があります。 ・術後しばらくしみる場合があります。 ・個人歯の特徴により色ムラが出ることがあります。
30代女性|歯を白くしたい
プレミアムホワイトニング
-
治療前
-
治療後
- 治療名称
- プレミアムホワイトニング(オフィス1回、ホーム1回、オフィス1回)
- 患者の症状
- ホワイトニング希望。
- 治療内容
- まずカウンセリングやお口の状態の確認、全体クリーニングをします。 ご成約後、ホワイトニング初回の際にホワイトニング部位をエアフローでクリーニング後歯茎の保護剤と歯の表面に薬剤を塗布しホワイトニングしていきます。 最後にホームホワイトニングGOのキットをお渡しします。オフィスホワイトニングした次の日から1回90分を10日間していきます。 ホームホワイトニングが終わったらもう一度オフィスホワイトニングをします。
- 治療期間・回数
- オフィスホワイトニング1回(90分)15分3セット ホームホワイトニング 1回90分を10日間
- 費用
※自由診療となります - ■総額:¥48,400円(税込み)
- リスク・副作用
- ・無カタラーゼ症の方や妊娠中の方には施術できません。 ・ホワイトニング剤の影響で知覚過敏が起こるケースがあります。 ・歯肉にやけどのような白いあとが一時的に出る場合があります。 ・術後しばらくしみる場合があります。 ・個人歯の特徴により色ムラが出ることがあります。
30代男性|歯を白くしたい
プレミアムホワイトニング
-
治療前
-
治療後
- 治療名称
- プレミアムホワイトニング(オフィス1回、ホーム1回、オフィス1回)
- 患者の症状
- ホワイトニング希望。
- 治療内容
- まずカウンセリングやお口の状態の確認、全体クリーニングをします。 ご成約後、ホワイトニング初回の際にホワイトニング部位をエアフローでクリーニング後歯茎の保護剤と歯の表面に薬剤を塗布しホワイトニングしていきます。 最後にホームホワイトニングGOのキットをお渡しします。オフィスホワイトニングした次の日から1回90分を10日間していきます。 ホームホワイトニングが終わったらもう一度オフィスホワイトニングをします。
- 治療期間・回数
- オフィスホワイトニング1回(90分)15分3セット ホームホワイトニング 1回90分を10日間
- 費用
※自由診療となります - ■総額:¥48,400円(税込み)
- リスク・副作用
- ・無カタラーゼ症の方や妊娠中の方には施術できません。 ・ホワイトニング剤の影響で知覚過敏が起こるケースがあります。 ・歯肉にやけどのような白いあとが一時的に出る場合があります。 ・術後しばらくしみる場合があります。 ・個人歯の特徴により色ムラが出ることがあります。
20代男性|歯を白くしたい
プレミアムホワイトニング
-
治療前
-
治療後
- 治療名称
- プレミアムホワイトニング(オフィス1回、ホーム1回、オフィス1回)
- 患者の症状
- ホワイトニング気になる。
- 治療内容
- まずカウンセリングやお口の状態の確認、全体クリーニングをします。 ご成約後、ホワイトニング初回の際にホワイトニング部位をエアフローでクリーニング後歯茎の保護剤と歯の表面に薬剤を塗布しホワイトニングしていきます。 最後にホームホワイトニングマウスピースをお渡しします。オフィスホワイトニングした次の日から二週間ホームホワイトニングしていきます。 ホームホワイトニングが終わったらもう一度オフィスホワイトニングをします。
- 治療期間・回数
- オフィスホワイトニング1回(90分)15分3セット ホームホワイトニング 二週間寝てる間
- 費用
※自由診療となります - ■総額:¥51,700円(税込み)
- リスク・副作用
- ・無カタラーゼ症の方や妊娠中の方には施術できません。 ・ホワイトニング剤の影響で知覚過敏が起こるケースがあります。 ・歯肉にやけどのような白いあとが一時的に出る場合があります。 ・術後しばらくしみる場合があります。 ・個人歯の特徴により色ムラが出ることがあります。
30代女性|歯を白くしたい
ホームホワイトニング
-
治療前
-
治療後
- 治療名称
- ホームホワイトニング
- 患者の症状
- ホワイトニング希望。
- 治療内容
- まずカウンセリングやお口の状態の確認、全体クリーニングをします。 ホームホワイトニング用のマウスピースを作成して2週間寝てる間につけていただきます。 ホワイトニングが終わったら当院にお越しいただいて歯の色を確認します。
- 治療期間・回数
- ホームホワイトニング 2週間
- 費用
※自由診療となります - ■総額:¥23,380円(税込み)
- リスク・副作用
- ・知覚過敏(しみる・痛み) ・歯ぐきの炎症・ヒリヒリ感 ・一時的な歯の違和感 ・効果に個人差がある ・詰め物・被せ物は白くならない ・色戻りすることがある ・使用方法を誤るとトラブルが生じる可能性がある
40代女性|歯を色が気になる
ウォーキングブリーチ
-
治療前
-
治療後
- 治療名称
- 左上1番ウォーキングブリーチ
- 患者の症状
- 失活している歯の色が気になる。
- 治療内容
- 虫歯や歯の根の確認をし必要に応じて処置をします。根の治療の際に詰めた材料を取り除いて内部に漂白剤を入れます。その作業を数回繰り返します。
- 治療期間・回数
- ウォーキングブリーチ3回
- 費用
※自由診療となります - ■総額:¥11,000(税込み) ■内訳:初回ウォーキングブリーチ¥6,600 二回目以降¥2,200×2
- リスク・副作用
- ・一時的な痛み・違和感 ・歯根吸収(外部吸収)が起こる可能性 ・歯質が弱くなり、破折のリスクが高まる場合がある ・色調の後戻り(再着色) ・色むらや周囲歯との色差が生じることがある ・薬剤により歯ぐきへ刺激が生じることがある
50代女性|歯を白くしたい
ウォーキングブリーチ
-
治療前
-
治療後
- 治療名称
- 右上1番ウォーキングブリーチ
- 患者の症状
- 失活している歯の色が気になる。
- 治療内容
- 虫歯や歯の根の確認をし必要に応じて処置をします。根の治療の際に詰めた材料を取り除いて内部に漂白剤を入れます。その作業を数回繰り返します。
- 治療期間・回数
- ウォーキングブリーチ4回
- 費用
※自由診療となります - ■総額:¥13,200(税込み) ■内訳:初回ウォーキングブリーチ¥6,600 二回目以降¥2,200×3
- リスク・副作用
- ・一時的な痛み・違和感 ・歯根吸収(外部吸収)が起こる可能性 ・歯質が弱くなり、破折のリスクが高まる場合がある ・色調の後戻り(再着色) ・色むらや周囲歯との色差が生じることがある ・薬剤により歯ぐきへ刺激が生じることがある
30代女性|歯の色が気になる。
ウォーキングブリーチ
-
治療前
-
治療後
- 治療名称
- 右上1番ウォーキングブリーチ
- 患者の症状
- 失活している歯の色が気になる。
- 治療内容
- 虫歯や歯の根の確認をし必要に応じて処置をします。根の治療の際に詰めた材料を取り除いて内部に漂白剤を入れます。その作業を数回繰り返します。
- 治療期間・回数
- ウォーキングブリーチ5回
- 費用
※自由診療となります - ■総額:¥15,000(税込み) ■内訳:初回ウォーキングブリーチ¥6,600 二回目以降¥2,200×4
- リスク・副作用
- ・一時的な痛み・違和感 ・歯根吸収(外部吸収)が起こる可能性 ・歯質が弱くなり、破折のリスクが高まる場合がある ・色調の後戻り(再着色) ・色むらや周囲歯との色差が生じることがある ・薬剤により歯ぐきへ刺激が生じることがある
20代女性|歯の色が気になる
ウォーキングブリーチ
-
治療前
-
治療後
- 治療名称
- 左上1番ウォーキングブリーチ
- 患者の症状
- 小学生の時に事故して歯の神経がなくなった。1回ウォーキングブリーチをしたことあるが、また色が気になるのでして欲しい。
- 治療内容
- 虫歯や歯の根の確認をし必要に応じて処置をします。根の治療の際に詰めた材料を取り除いて内部に漂白剤を入れます。その作業を数回繰り返します。
- 治療期間・回数
- ウォーキングブリーチ5回
- 費用
※自由診療となります - ■総額:¥15,400(税込み) ■内訳:初回ウォーキングブリーチ¥6,600 二回目以降¥2,200×4
- リスク・副作用
- ・一時的な痛み・違和感 ・歯根吸収(外部吸収)が起こる可能性 ・歯質が弱くなり、破折のリスクが高まる場合がある ・色調の後戻り(再着色) ・色むらや周囲歯との色差が生じることがある ・薬剤により歯ぐきへ刺激が生じることがある
50代男性|歯の色が気になる
ウォーキングブリーチ
-
治療前
-
治療後
- 治療名称
- 左上1番ウォーキングブリーチ
- 患者の症状
- 失活している歯の色が気になる。
- 治療内容
- 虫歯や歯の根の確認をし必要に応じて処置をします。根の治療の際に詰めた材料を取り除いて内部に漂白剤を入れます。その作業を数回繰り返します。
- 治療期間・回数
- ウォーキングブリーチ4回
- 費用
※自由診療となります - ■総額:¥13,200(税込み) ■内訳:初回ウォーキングブリーチ¥6,600 二回目以降¥2,200×3
- リスク・副作用
- ・一時的な痛み・違和感 ・歯根吸収(外部吸収)が起こる可能性 ・歯質が弱くなり、破折のリスクが高まる場合がある ・色調の後戻り(再着色) ・色むらや周囲歯との色差が生じることがある ・薬剤により歯ぐきへ刺激が生じることがある



