〇〇代女性|奥歯がなくて食事で困る
入れ歯(ノンクラスプデンチャー:キレイデス)
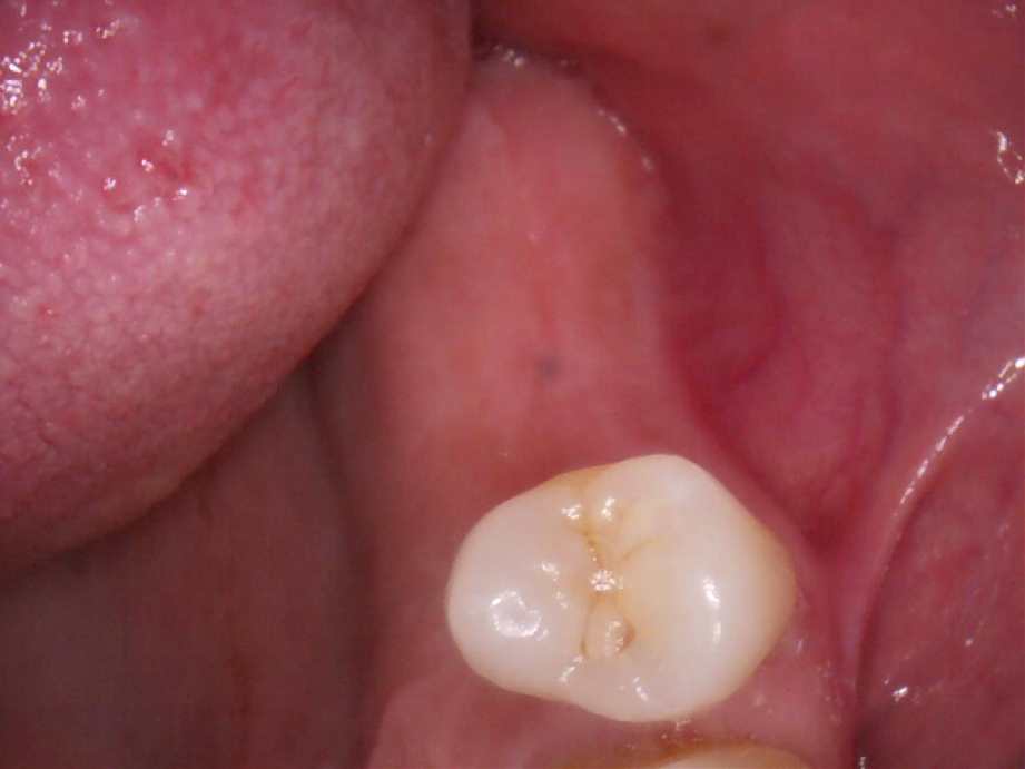
-
治療前
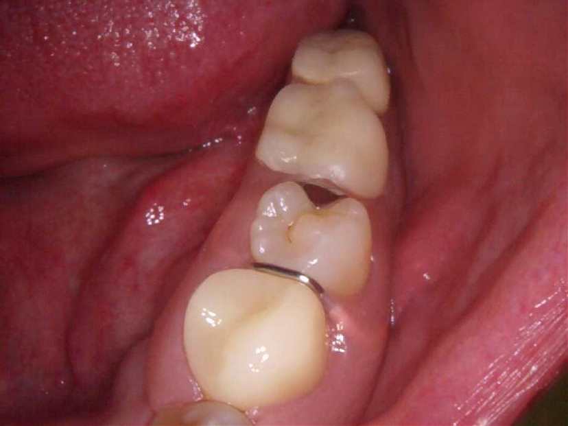
-
治療後
- 治療名称
- 入れ歯(ノンクラスプデンチャー:キレイデス)
- 患者の症状
- 奥歯がなくて食事で困る
- 治療内容
- 入れ歯(ノンクラスプデンチャー:キレイデス)
- 治療期間・回数
- 治療期間・回数
- 費用
※自由診療となります - 費用
- リスク・副作用
- ・経年的なゆるみ・変形 ・破損・亀裂が生じることがある ・修理が難しい場合がある ・強い噛み合わせには適応できないことがある ・自費診療となる場合がある



