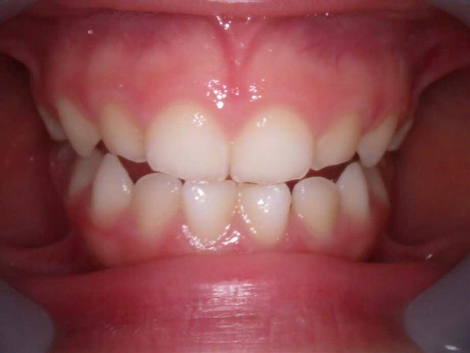
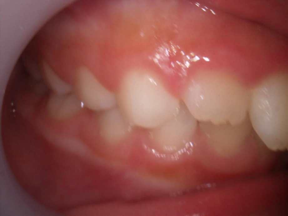
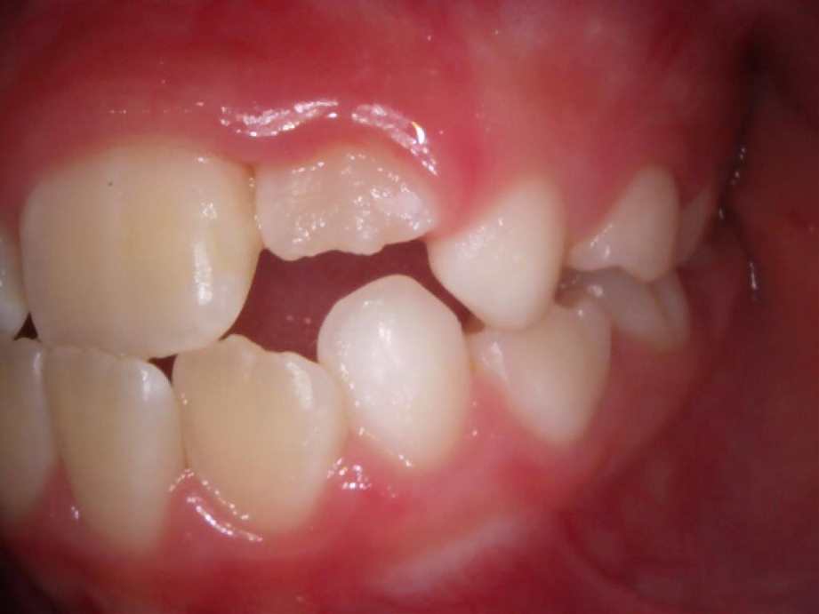
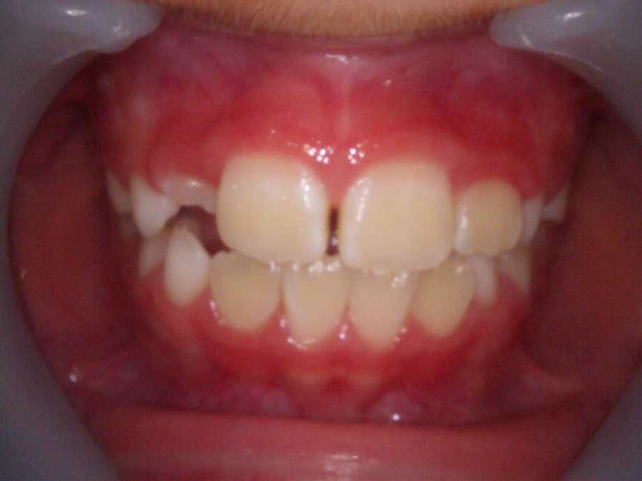
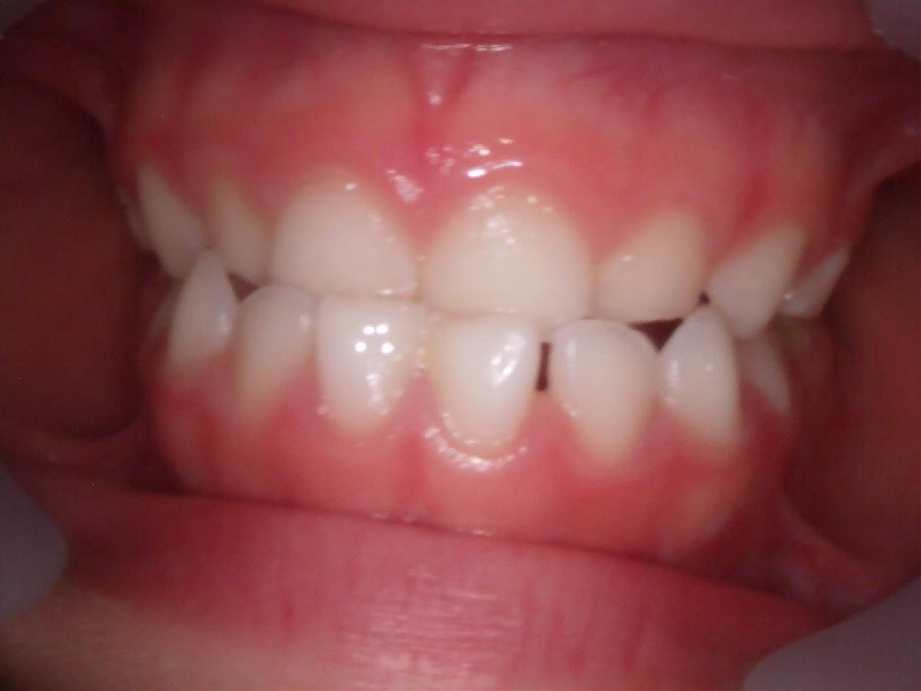
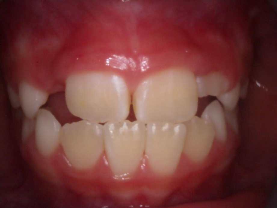
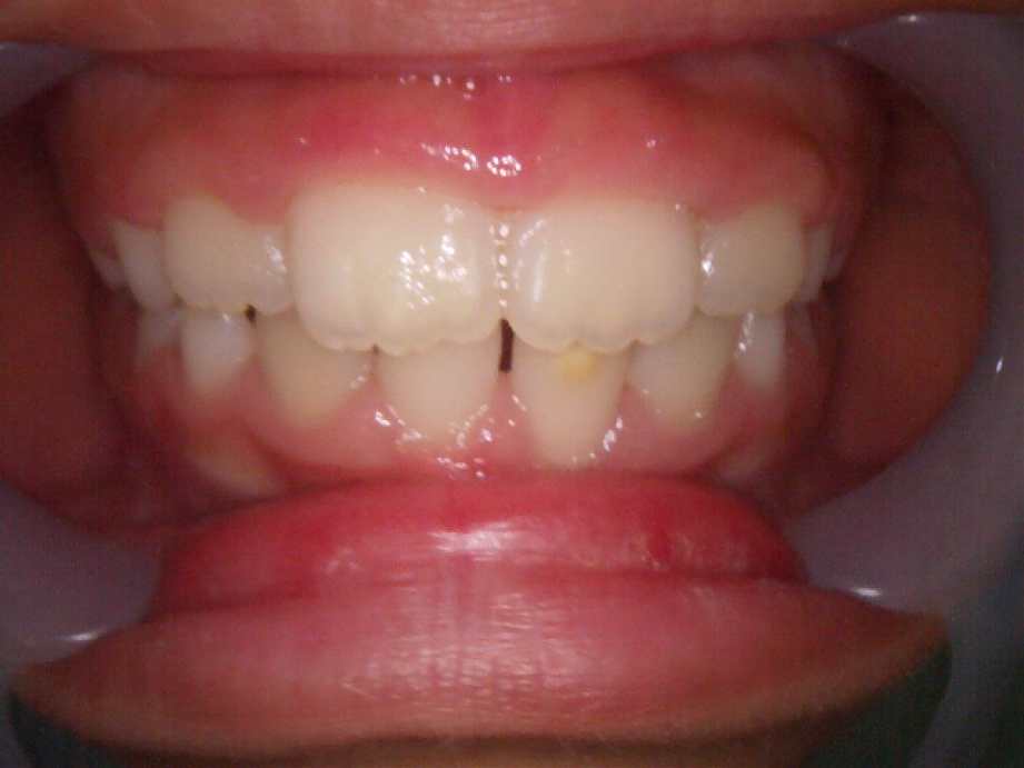
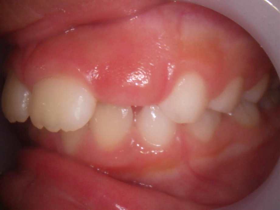
8歳男の子|歯並び、かみ合わせ気になる
プレオルソ
-
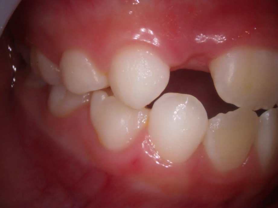
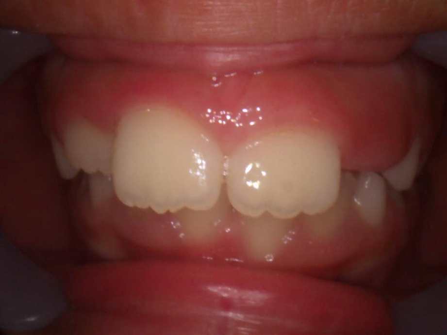
治療前(正面)
-
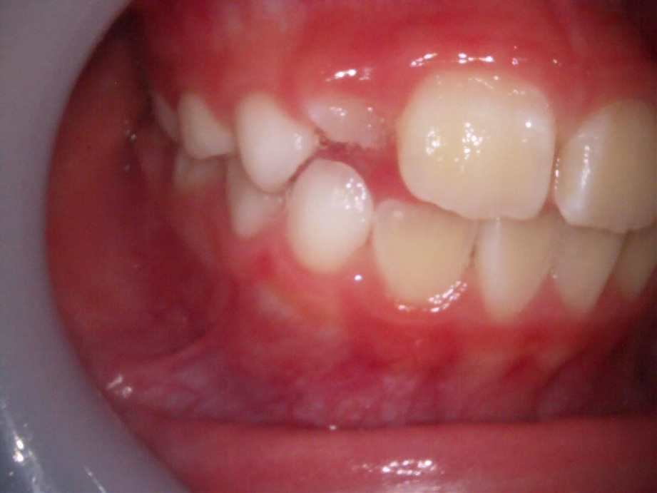
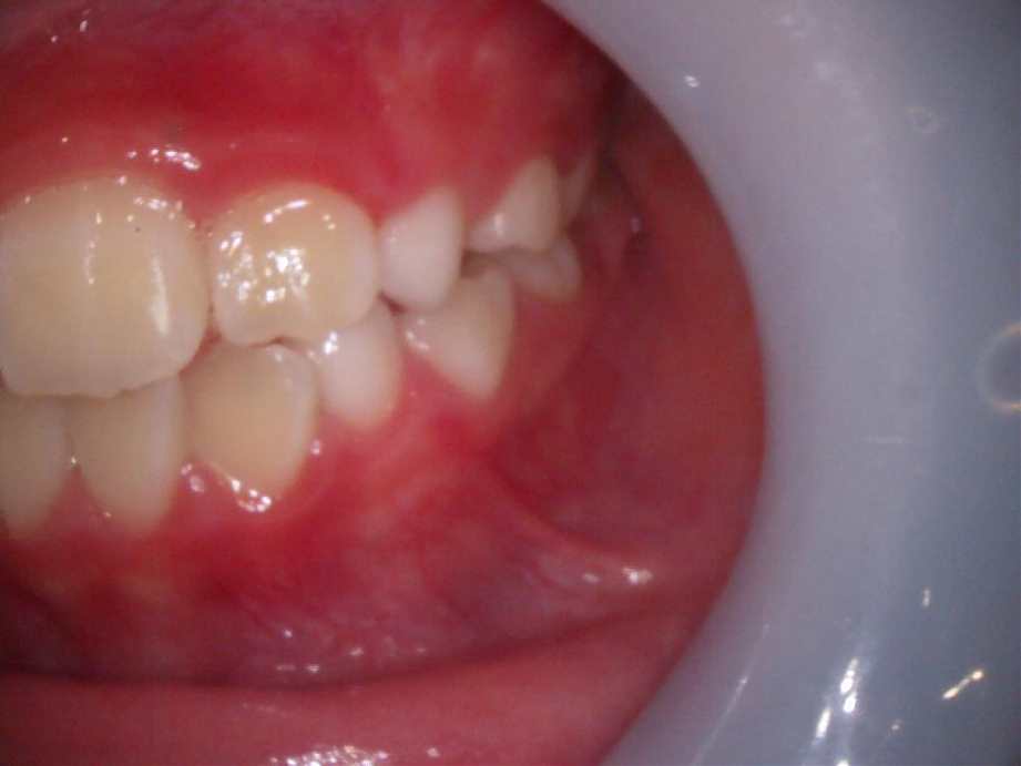
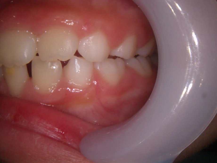
治療前(左側面)
-
治療前(右側面)
-
治療前(上顎)
-
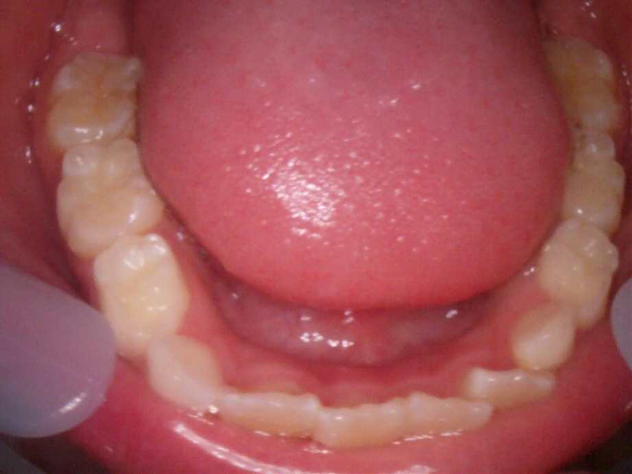
治療前(下顎)
-
治療後(正面)
-
治療後(左側面)
-
治療後(右側面)
-
治療後(上顎)
-
治療後(下顎)
- 治療名称
- プレオルソ
- 患者の症状
- 歯並び、かみ合わせ気になる(母親)
- 治療内容
- カウンセリング、精密検査(レントゲン、型取り)、診断、治療計画を立ててプレオルソを合わせていきます。 日中1時間と就寝時の装着し、1〜2か月ごとの定期健診で確認と口腔とトレーニングを行い、約1年〜数年かけて改善します。
- 治療期間・回数
- 1年〜数年
- 費用
※自由診療となります - ■総額:¥66,000(税込み)
- リスク・副作用
- ・装着時の痛み・違和感 ・発音しづらさ・唾液の増加 ・装着時間が不足すると効果が得られにくい ・症例によっては十分な改善が見込めない場合がある ・後戻りの可能性 ・破損・紛失のリスク
5歳男の子|歯並び、かみ合わせ気になる
プレオルソ
-
治療前
-
治療後
- 治療名称
- プレオルソ
- 患者の症状
- 歯並び、かみ合わせ気になる(母親)
- 治療内容
- カウンセリング、精密検査(レントゲン、型取り)、診断、治療計画を立ててプレオルソを合わせていきます。 日中1時間と就寝時の装着し、1〜2か月ごとの定期健診で確認と口腔とトレーニングを行い、約1年〜数年かけて改善します。
- 治療期間・回数
- 1年〜数年
- 費用
※自由診療となります - ■総額:¥66,000(税込み)
- リスク・副作用
- ・装着時の痛み・違和感 ・発音しづらさ・唾液の増加 ・装着時間が不足すると効果が得られにくい ・症例によっては十分な改善が見込めない場合がある ・後戻りの可能性 ・破損・紛失のリスク
8歳女の子|過蓋咬合と言われて経過を見てるが全く変わらない
プレオルソ
-
治療前(正面)
-
治療前(右側面)
-
治療前(左側面)
-
治療後(正面)
-
治療後(右側面)
-
治療後(左側面)
- 治療名称
- プレオルソ
- 患者の症状
- 過蓋咬合と言われて経過を見てるが全く変わらない。
- 治療内容
- カウンセリング、精密検査(レントゲン、型取り)、診断、治療計画を立ててプレオルソを合わせていきます。 日中1時間と就寝時の装着し、1〜2か月ごとの定期健診で確認と口腔とトレーニングを行い、約1年〜数年かけて改善します。
- 治療期間・回数
- 1年〜数年
- 費用
※自由診療となります - ■総額:¥66,000(税込み)
- リスク・副作用
- ・装着時の痛み・違和感 ・発音しづらさ・唾液の増加 ・装着時間が不足すると効果が得られにくい ・症例によっては十分な改善が見込めない場合がある ・後戻りの可能性 ・破損・紛失のリスク



