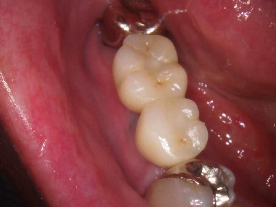
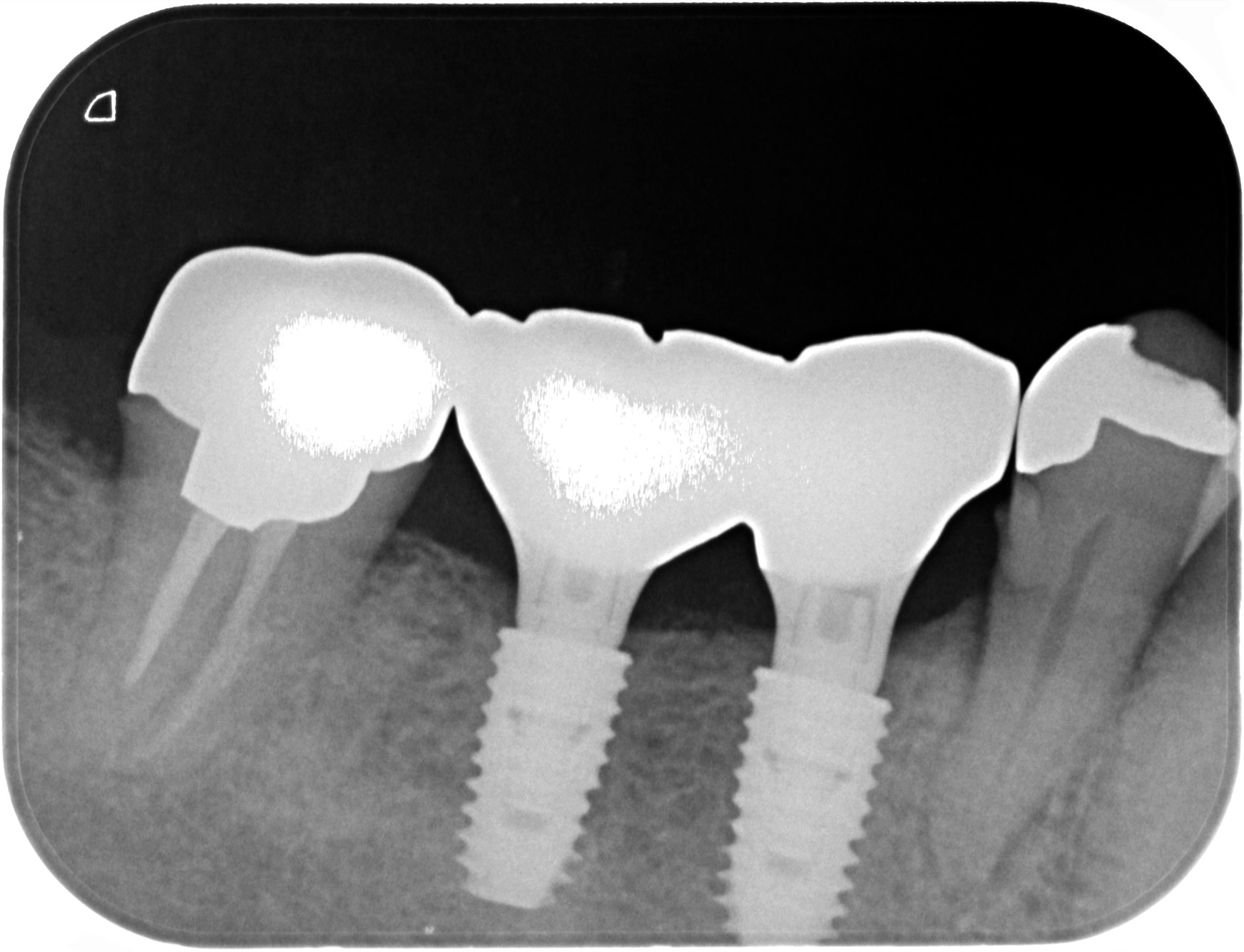
60代女性|奥歯で噛みづらい
治療概要
-
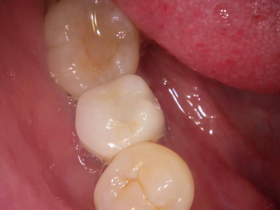
治療前
-
治療後
-
治療後レントゲン写真
- 治療名称
- 右下56番パーシャルデンチャー部のインプラント治療
- 患者の症状
- 60代女性 右下56番にパーシャルデンチャーを装着しており機能及び審美的に問題を抱えている。
- 治療内容
- まず、CT撮影による精密な骨の分析・治療計画を立てガイドを使いインプラント埋入しインプラントが骨と結合するのを待つ間に仮の歯を入れます。その後本歯を作成して装着しました。
- 治療期間・回数
- インプラント埋入からジルコニアセットまで三か月半
- 費用
※自由診療となります - ■総額:¥660,000(税込み) ■内訳:埋入(ガイド込み)¥200,000×2、仮歯¥20,000×2、被せ物¥80,000×2
- リスク・副作用
- ・術後の腫れ・痛み・出血 ・感染(インプラント周囲炎) ・インプラントの脱落 ・神経損傷によるしびれ ・破損・ゆるみ
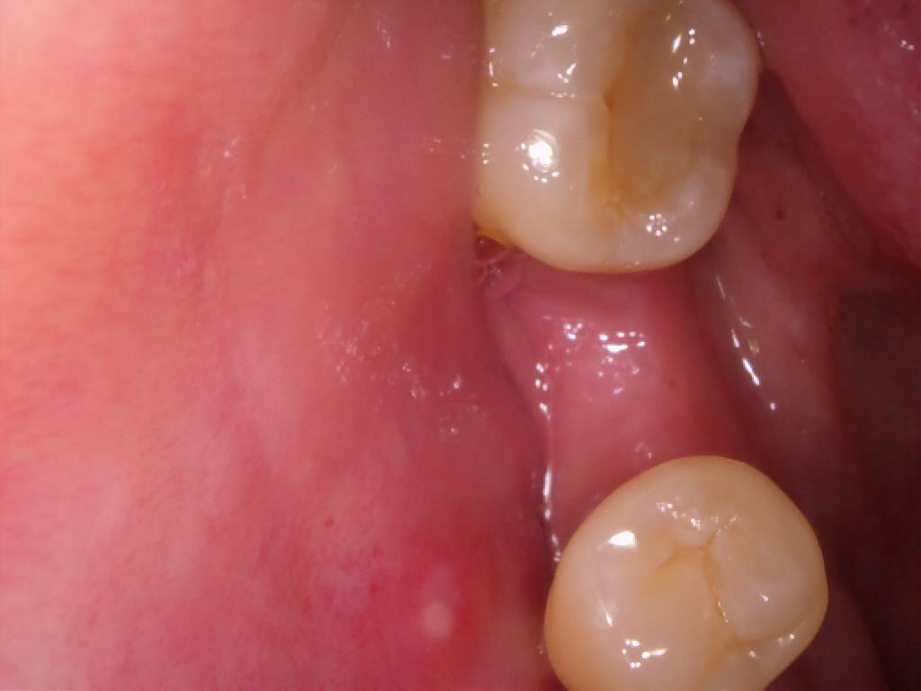
60代男性|奥歯で噛みづらい
-
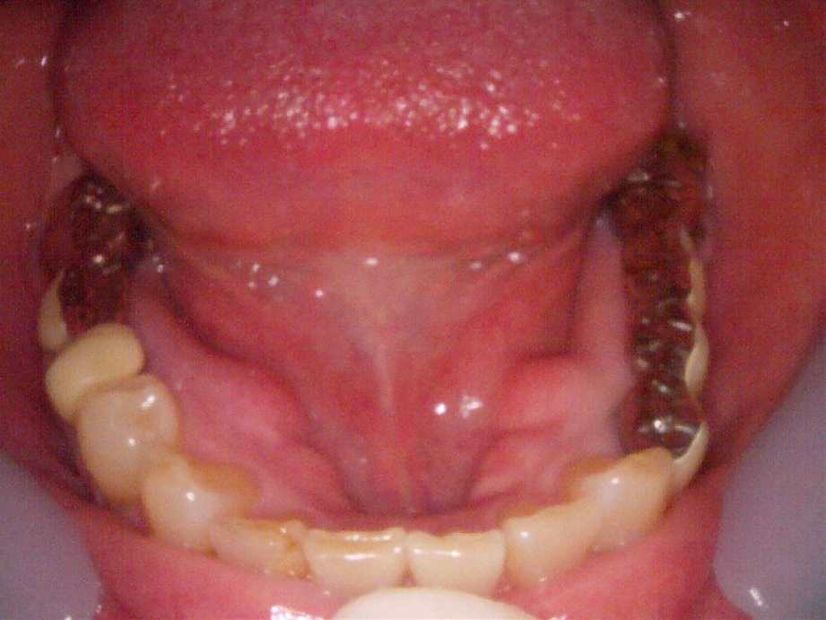
治療前
-
治療後
-
レントゲン写真
- 治療名称
- 右下56番パーシャルデンチャー部のインプラント治療
- 患者の症状
- 右下56番にパーシャルデンチャーを装着しており機能及び審美的に問題を抱えている。
- 治療内容
- まず、CT撮影による精密な骨の分析・治療計画を立てガイドを使いインプラント埋入しインプラントが骨と結合するのを待つ間に仮の歯を入れます。その後本歯を作成して装着しました。
- 治療期間・回数
- インプラント埋入からジルコニアセットまで三か月半
- 費用
※自由診療となります - ■総額:¥660,000(税込み) ■内訳:埋入(ガイド込み)¥200,000×2、仮歯¥20,000×2、被せ物¥80,000×2
- リスク・副作用
- ・術後の腫れ・痛み・出血 ・感染(インプラント周囲炎) ・インプラントの脱落 ・神経損傷によるしびれ ・破損・ゆるみ
40代女性|抜歯してからそのままなのでどうにかしたい。
治療概要
-
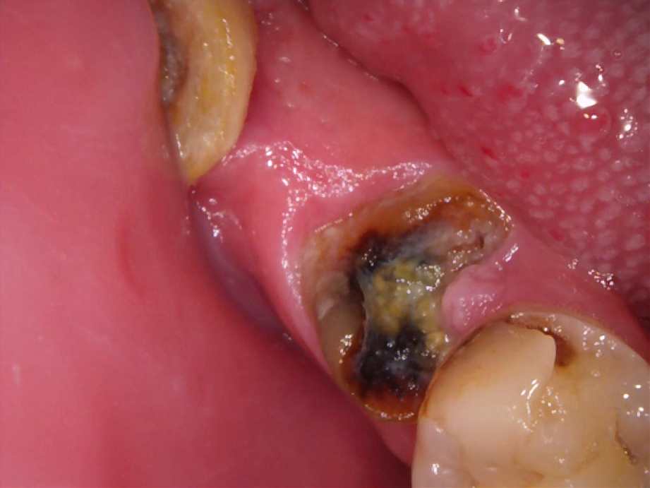
治療前
-
治療後
-
レントゲン写真
- 治療名称
- 右下6番欠損によるインプラント治療
- 患者の症状
- 20年前に抜歯してからそのままなのでどうにかしたい。
- 治療内容
- まず、CT撮影による精密な骨の分析・治療計画を立てガイドを使いインプラント埋入しインプラントが骨と結合するのを待つ間に仮の歯を入れます。その後本歯を作成して装着しました。
- 治療期間・回数
- インプラント埋入からジルコニアセットまで二か月半
- 費用
※自由診療となります - ■総額¥330,000(税込み) ■内訳:埋入(ガイド込み)¥200,000、仮歯¥20,000、被せ物(ジルコニア)¥80,000
- リスク・副作用
- ・術後の腫れ・痛み・出血 ・感染(インプラント周囲炎) ・インプラントの脱落 ・神経損傷によるしびれ ・破損・ゆるみ
30代男性|抜歯してからそのままなのでどうにかしたい。
治療概要
-
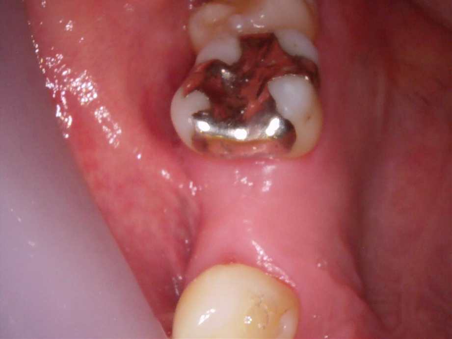
治療前
-
治療後
-
レントゲン写真
- 治療名称
- 左上5番欠損によるインプラント治療
- 患者の症状
- 3、4年前に抜歯してからそのままなのでどうにかしたい。
- 治療内容
- まず、CT撮影による精密な骨の分析・治療計画を立てガイドを使いインプラント埋入しインプラントが骨と結合するのを待つ間に仮の歯を入れます。その後本歯を作成して装着しました。
- 治療期間・回数
- インプラント埋入からジルコニアセットまで六か月
- 費用
※自由診療となります - ■総額¥330,000(税込み) ■内訳:埋入(ガイド込み)¥200,000、仮歯¥20,000、被せ物(ジルコニア)¥80,000
- リスク・副作用
- ・術後の腫れ・痛み・出血 ・感染(インプラント周囲炎) ・インプラントの脱落 ・神経損傷によるしびれ ・破損・ゆるみ
30代男性|残根抜歯後インプラントを入れたい。
治療概要
-
治療前
-
治療後
-
レントゲン写真
- 治療名称
- 右下6番残根抜歯後のインプラント治療
- 患者の症状
- 残根抜歯後インプラントを入れたい。
- 治療内容
- まず、CT撮影による精密な骨の分析・治療計画を立てガイドを使いインプラント埋入しインプラントが骨と結合するのを待つ間に仮の歯を入れます。その後本歯を作成して装着しました。
- 治療期間・回数
- インプラント埋入からジルコニアセットまで六か月
- 費用
※自由診療となります - ■総額¥330,000(税込み) ■内訳:埋入(ガイド込み)¥200,000、仮歯¥20,000、被せ物(ジルコニア)¥80,000
- リスク・副作用
- ・術後の腫れ・痛み・出血 ・感染(インプラント周囲炎) ・インプラントの脱落 ・神経損傷によるしびれ ・破損・ゆるみ
50代女性|入れ歯は抵抗があるのでインプラントを入れたい。
治療概要
-
治療前
-
治療後
- 治療名称
- 左下4567番Br外して56番インプラント、47番CADCr
- 患者の症状
- 左下の被せ物ずれてきて入れ歯になるかもと言われたが、入れ歯は抵抗があるのでインプラントを入れたい。
- 治療内容
- まず、CT撮影による精密な骨の分析・治療計画を立てガイドを使いインプラント埋入しインプラントが骨と結合するのを待つ間に仮の歯を入れます。その後本歯を作成して装着しました。
- 治療期間・回数
- インプラント埋入からジルコニアセットまで六か月
- 費用
※自由診療となります - ■総額¥330,000(税込み) ■内訳:埋入(ガイド込み)¥200,000、仮歯¥20,000、被せ物(ジルコニア)¥80,000
- リスク・副作用
- ・術後の腫れ・痛み・出血 ・感染(インプラント周囲炎) ・インプラントの脱落 ・神経損傷によるしびれ ・破損・ゆるみ



