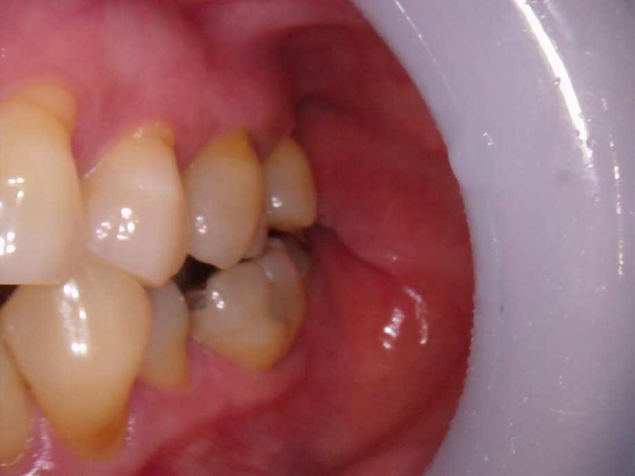
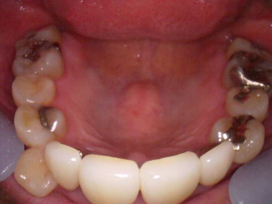
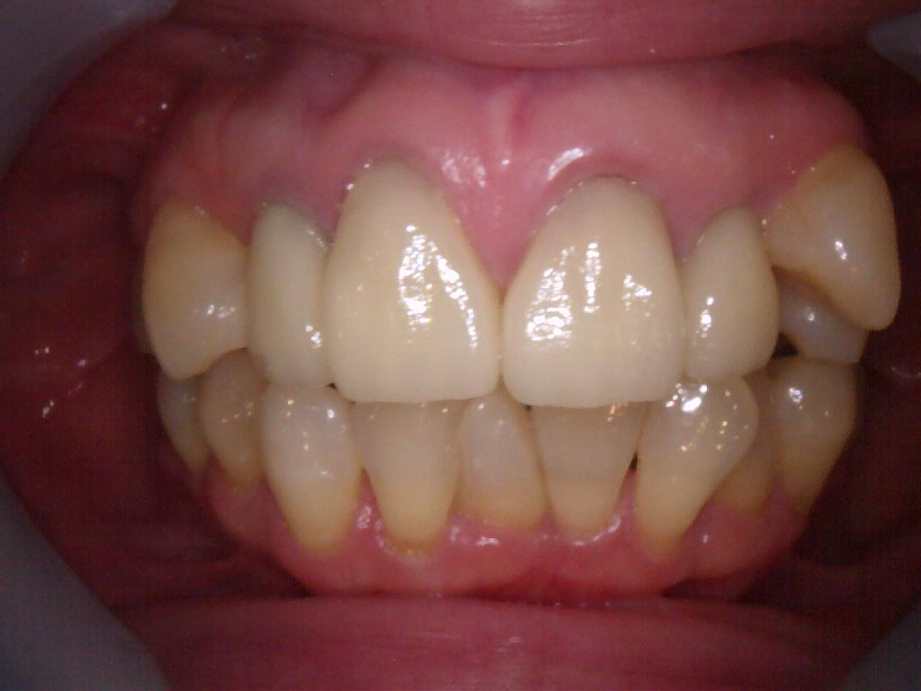
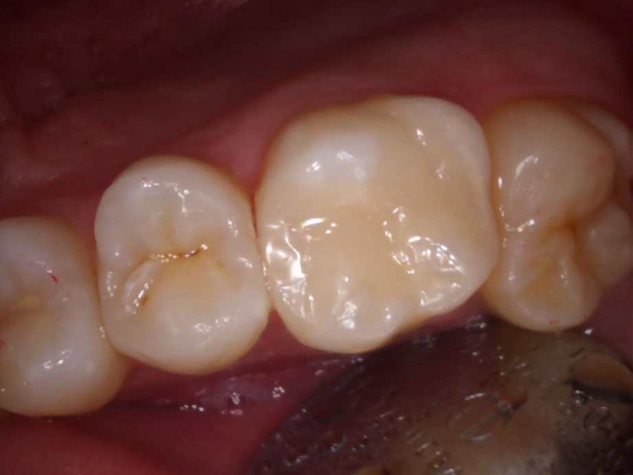
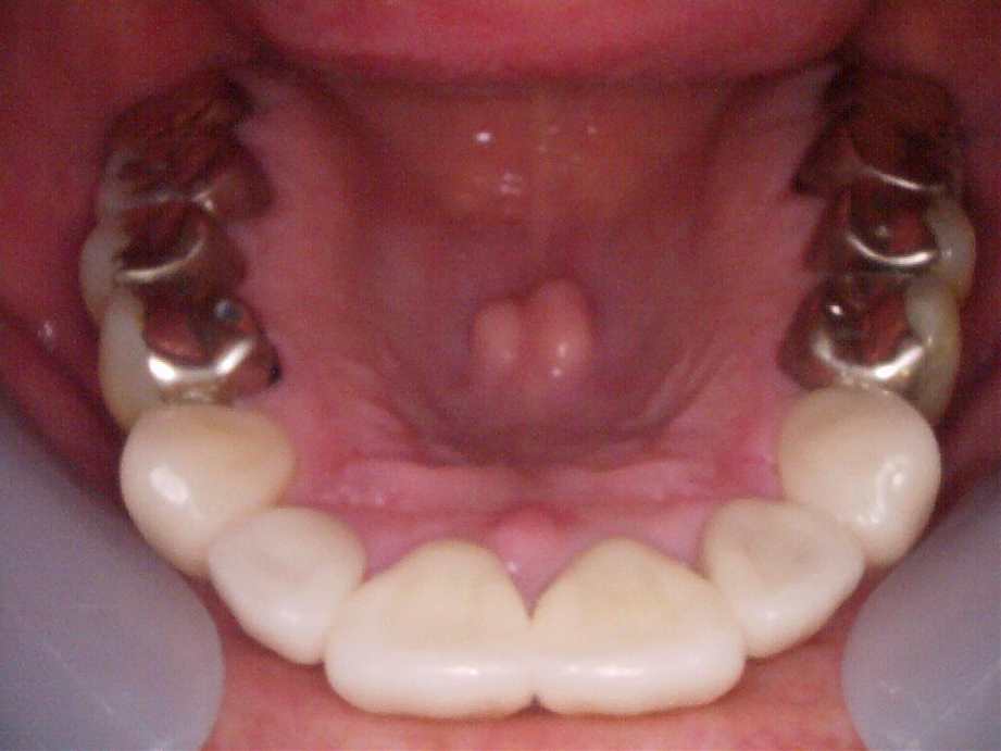
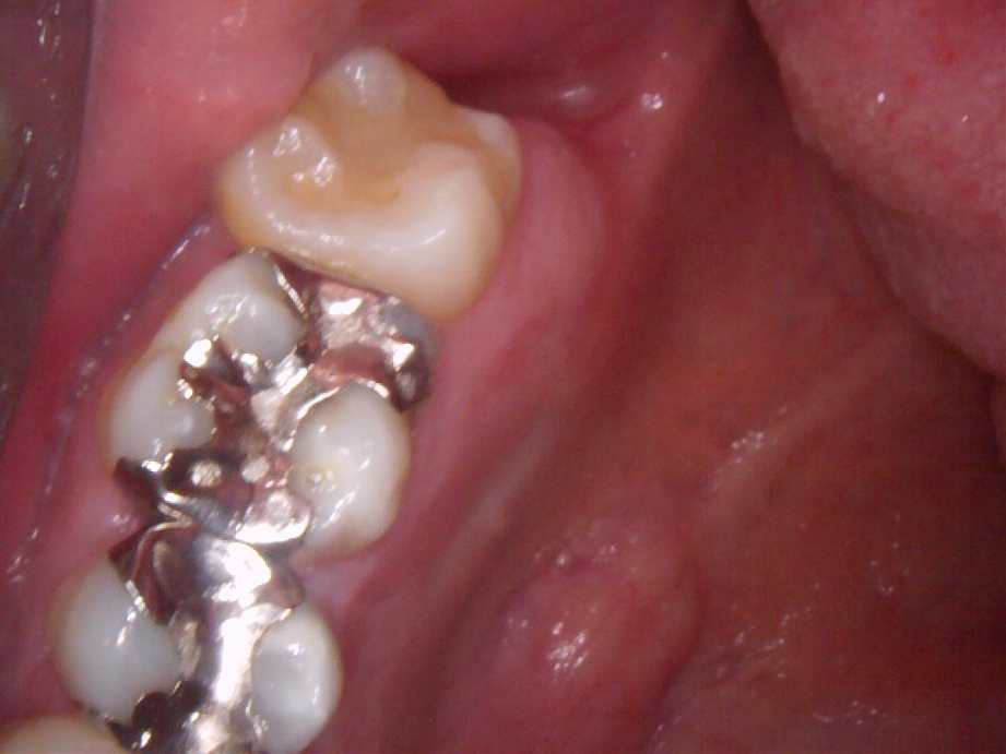
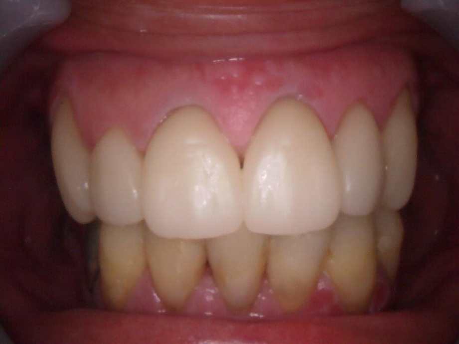
50代男性|銀歯多くて気になる
メタルフリー治療
-
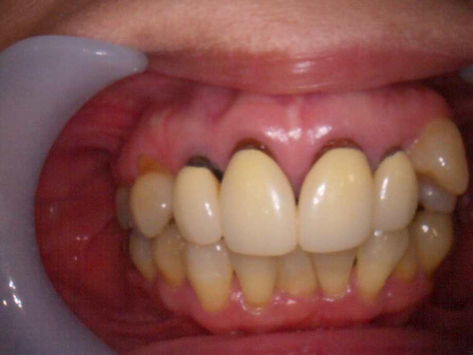
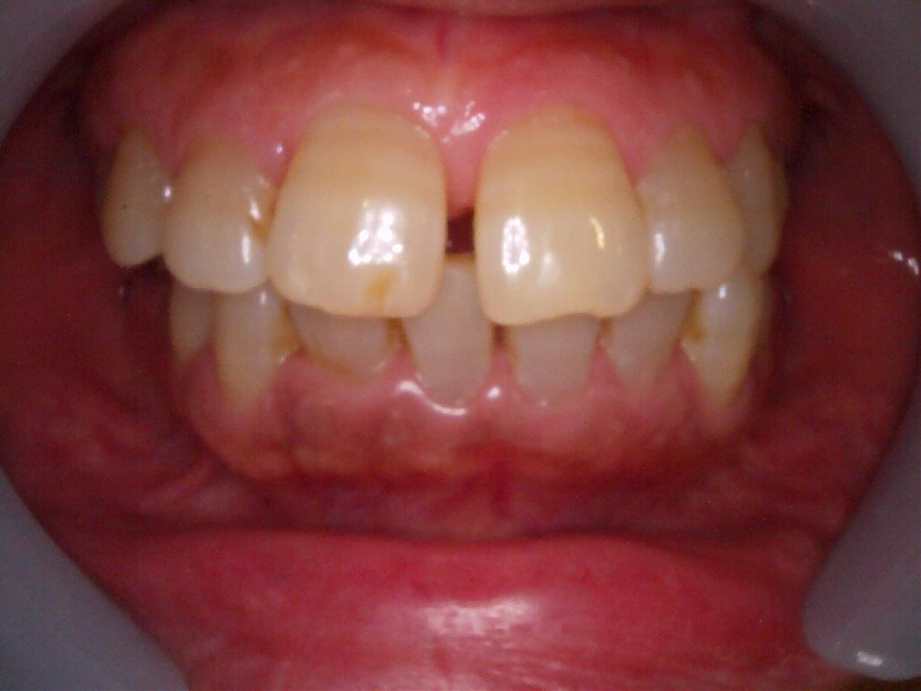
治療前(正面)
-
治療前(上顎)
-
治療後(正面)
-
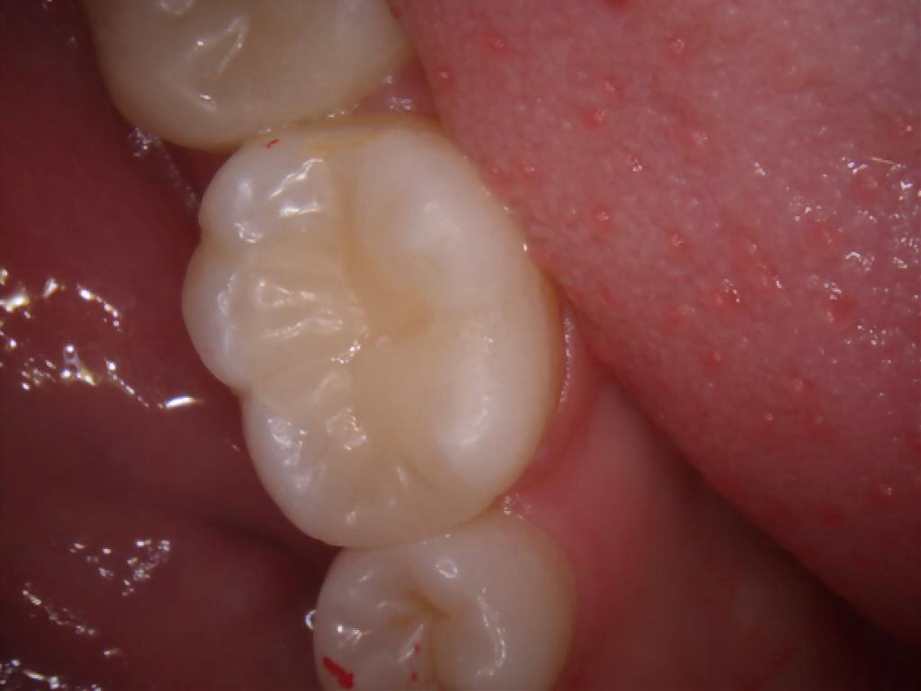
治療後(上顎)
- 治療名称
- メタルフリー治療
- 患者の症状
- 全体的に詰め物や銀歯多くて気になる。
- 治療内容
- メタルを除去し、虫歯の確認を行い形成し被せ物の型取りをします。 被せ物を作りSETしていきます。
- 治療期間・回数
- 型を取って1週間でできあがります。 1部位2回の治療
- 費用
※自由診療となります - ■総額:保険治療なので気になる方はスタッフまでご相談ください。
- リスク・副作用
- ・欠け・割れが生じることがある ・摩耗・変色の可能性 ・歯を削る量が多い場合がある ・適応できない症例がある ・自費診療となる場合がある
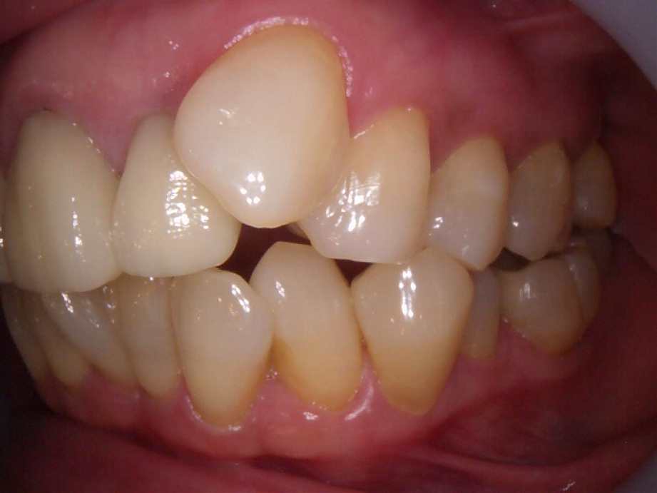
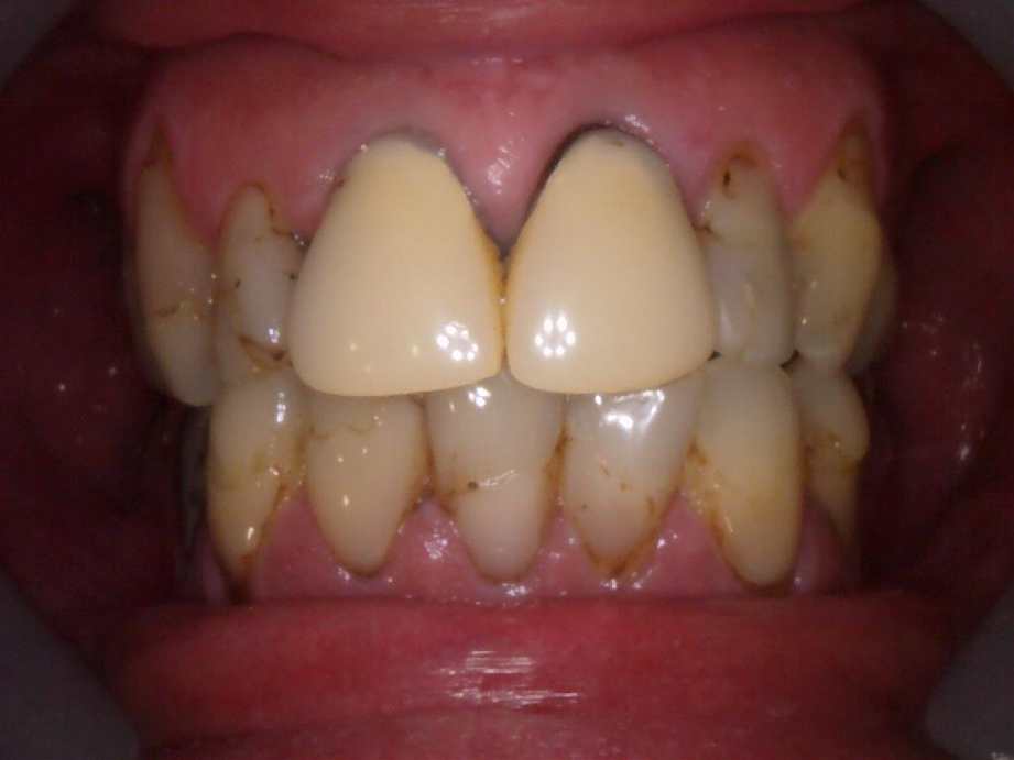
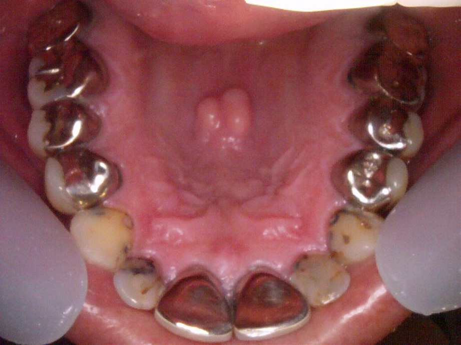
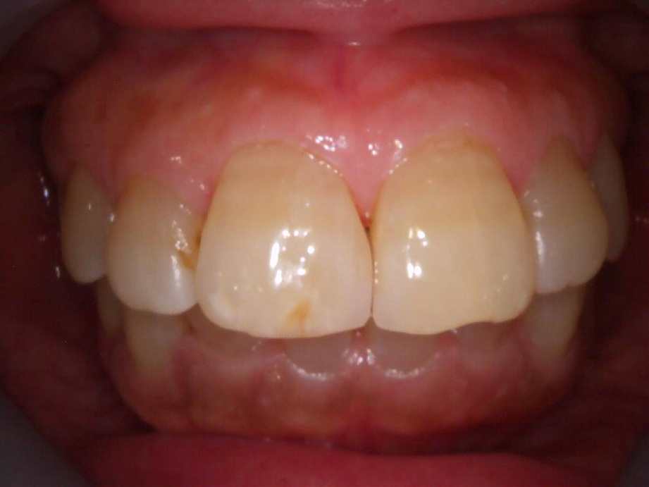
50代女性|銀歯多くて気になる
メタルフリー治療
-
治療前(正面)
-
治療前(上顎)
-
治療前(下顎)
-
治療前(右側面)
-
治療前(左側面)
-
治療後(正面)
-
治療後(上顎)
-
治療後(下顎)
-
治療後(右側面)
-
治療後(左側面)
- 治療名称
- メタルフリー治療
- 患者の症状
- 全体的に詰め物や銀歯多くて気になる。
- 治療内容
- メタルを除去し、虫歯の確認を行い形成し被せ物の型取りをします。 被せ物を作りSETしていきます。
- 治療期間・回数
- 型を取って1週間でできあがります。 1〜2部位2回の治療
- 費用
※自由診療となります - ■総額:保険治療なので気になる方はスタッフまでご相談ください。
- リスク・副作用
- ・欠け・割れが生じることがある ・摩耗・変色の可能性 ・歯を削る量が多い場合がある ・適応できない症例がある ・自費診療となる場合がある
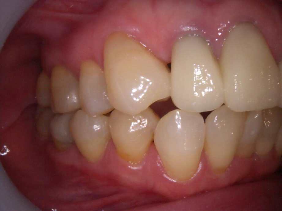
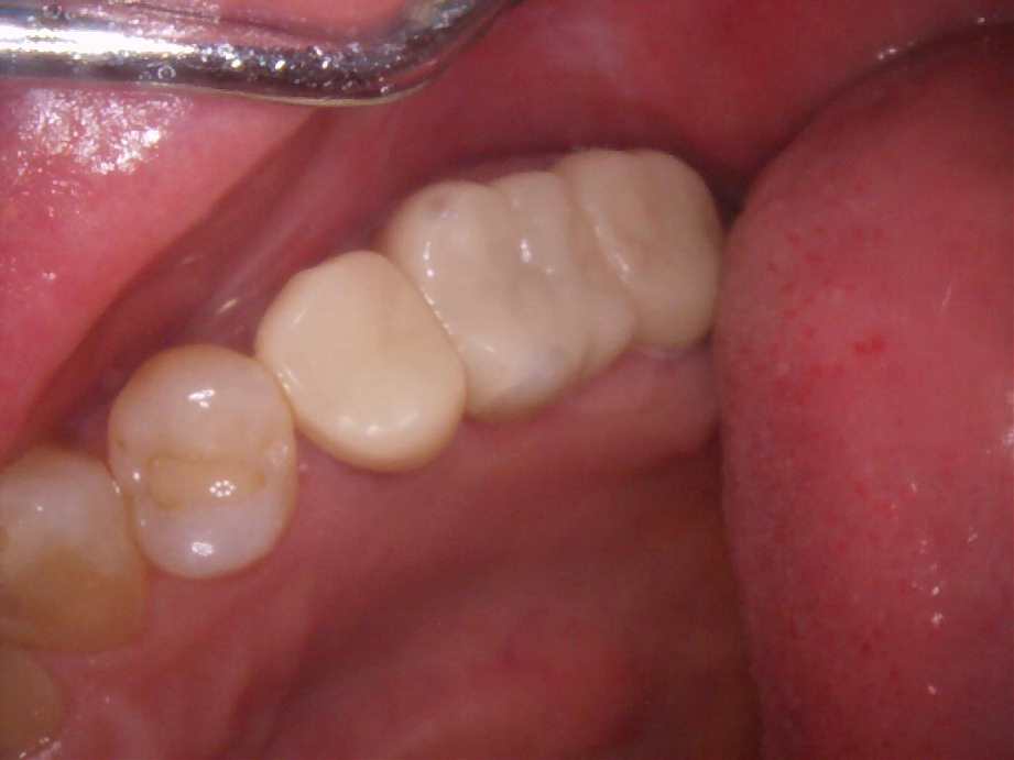
40代女性|被せ物欠けた
メタルやり替え
-
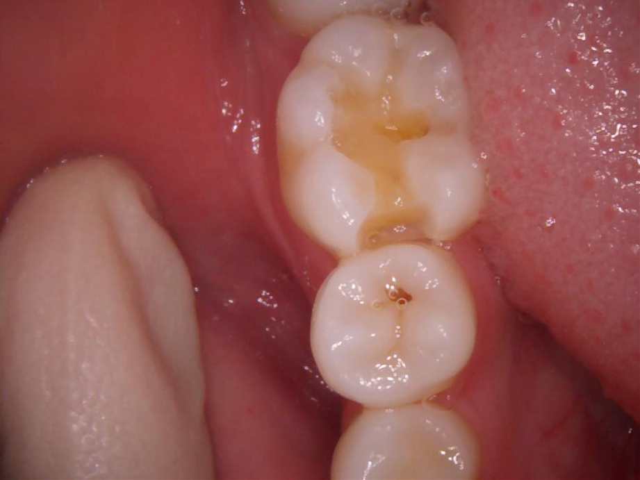
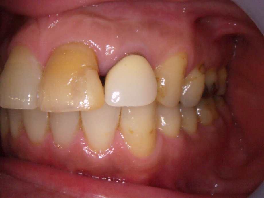
治療前
-
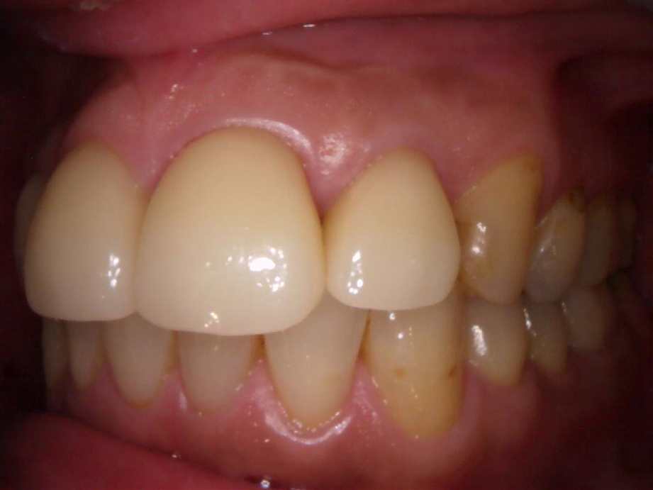
治療後
- 治療名称
- メタルやり替え
- 患者の症状
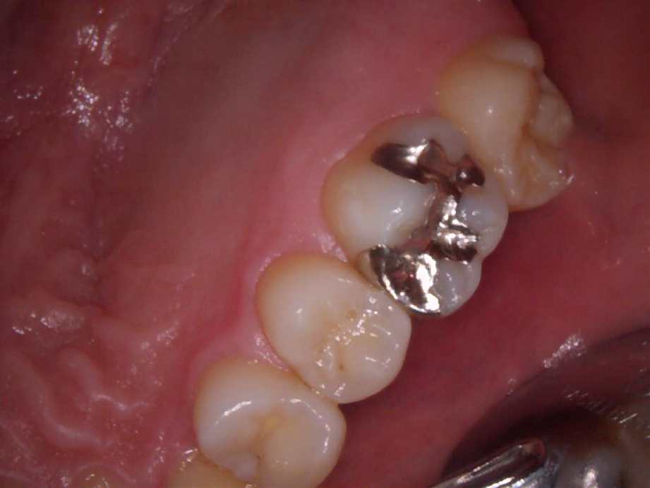
- 被せ物欠けた
- 治療内容
- メタルを除去し、虫歯の確認を行い形成し被せ物の型取りをします。 被せ物を作りSETしていきます。
- 治療期間・回数
- 型を取って1週間でできあがります。 1部位2回の治療
- 費用
※自由診療となります - ■総額:保険治療なので気になる方はスタッフまでご相談ください。
- リスク・副作用
- ・欠け・割れが生じることがある ・摩耗・変色の可能性 ・歯を削る量が多い場合がある ・適応できない症例がある ・自費診療となる場合がある
50代男性|銀歯多くて気になる
メタルフリー治療
-
治療前(右側面)
-
治療前(左側面)
-
治療後(右側面)
-
治療後(左側面)
- 治療名称
- メタルフリー治療
- 患者の症状
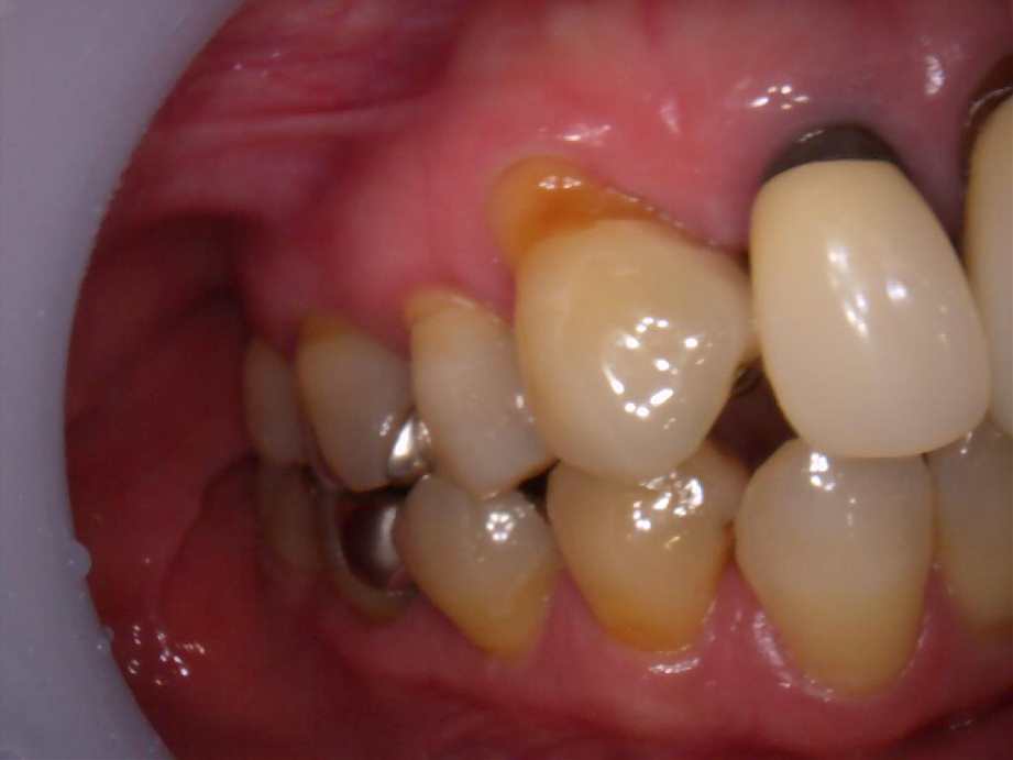
- 全体的に詰め物や銀歯多くて気になる。
- 治療内容
- メタルを除去し、虫歯の確認を行い形成し被せ物の型取りをします。 被せ物を作りSETしていきます。
- 治療期間・回数
- 型を取って1週間でできあがります。 1〜2部位2回の治療
- 費用
※自由診療となります - ■総額:保険治療なので気になる方はスタッフまでご相談ください。
- リスク・副作用
- ・欠け・割れが生じることがある ・摩耗・変色の可能性 ・歯を削る量が多い場合がある ・適応できない症例がある ・自費診療となる場合がある
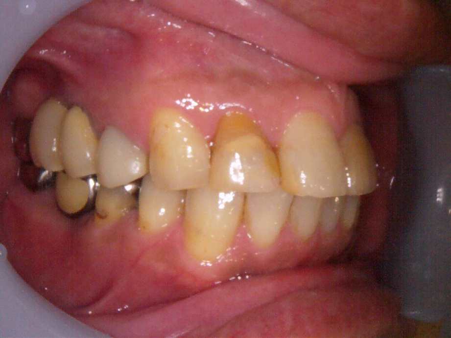
20代男性|銀歯を白くしたい
メタルフリー治療
-
治療前(奥歯)
-
治療前(奥歯)
-
治療前(奥歯)
-
治療前(奥歯)
-
治療後(奥歯)
-
治療後(奥歯)
-
治療後(奥歯)
-
治療後(奥歯)
- 治療名称
- メタルフリー治療
- 患者の症状
- 銀歯を白くしたい。
- 治療内容
- メタルを除去し、虫歯の確認を行い形成し被せ物の型取りをします。 被せ物を作りSETしていきます。
- 治療期間・回数
- 型を取って1週間でできあがります。 1部位2回の治療
- 費用
※自由診療となります - ■総額:保険治療なので気になる方はスタッフまでご相談ください。
- リスク・副作用
- ・欠け・割れが生じることがある ・摩耗・変色の可能性 ・歯を削る量が多い場合がある ・適応できない症例がある ・自費診療となる場合がある
〇〇代女性|見た目が気になる
メタルフリー|CR(コンポジットレジン)
-
治療前
-
治療後
- 治療名称
- メタルフリー|CR(コンポジットレジン)
- 患者の症状
- 見た目が気になる
- 治療内容
- メタルフリー|CR(コンポジットレジン)
- 治療期間・回数
- 治療期間・回数
- 費用
※自由診療となります - 費用
- リスク・副作用
- ・経年的な変色・着色 ・摩耗や欠けが生じることがある ・強い力で外れる可能性 ・二次むし歯のリスク ・適応できない症例がある
〇〇代女性|見た目が気になる
メタルフリー|CADCAMインレー
-
治療前
-
治療後
- 治療名称
- メタルフリー|CADCAMインレー
- 患者の症状
- 見た目が気になる
- 治療内容
- メタルフリー|CADCAMインレー
- 治療期間・回数
- 治療期間・回数
- 費用
※自由診療となります - 費用
- リスク・副作用
- ・欠け・割れが生じることがある ・経年的な摩耗・変色 ・強い力で外れる可能性 ・噛み合わせによっては適応できない場合がある ・二次むし歯のリスク
50代女性|銀歯が気になる
メタルをCAD CAMにやり替え
-
治療前
-
治療後
- 治療名称
- メタルをCAD CAMにやり替え
- 患者の症状
- 銀歯気になる。
- 治療内容
- メタルを除去して形成し型取りをします。被せが出来上がったら最終的いにつけていきます。
- 治療期間・回数
- 2回
- 費用
※自由診療となります - 保険治療なので気になる方はスタッフまでご相談ください。
- リスク・副作用
- ・欠け・割れが生じることがある ・経年的な摩耗・変色 ・強い力で外れる可能性 ・噛み合わせによっては適応できない場合がある ・二次むし歯のリスク



