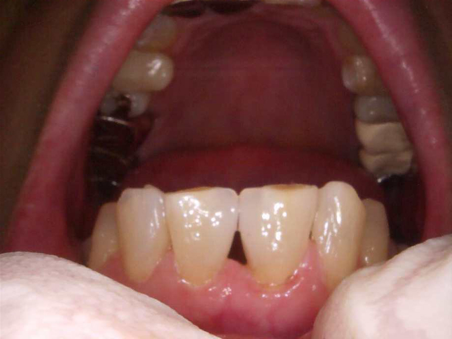
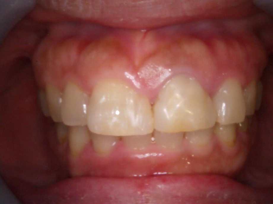
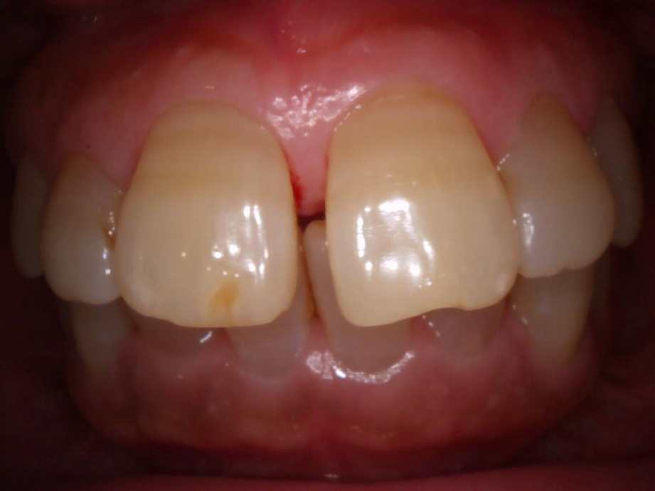
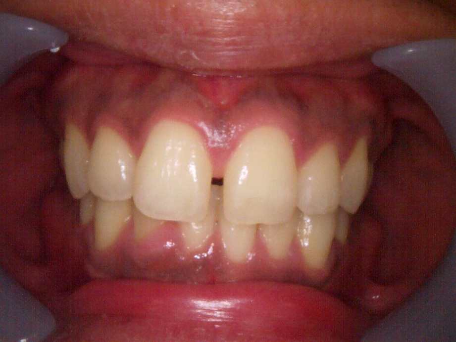
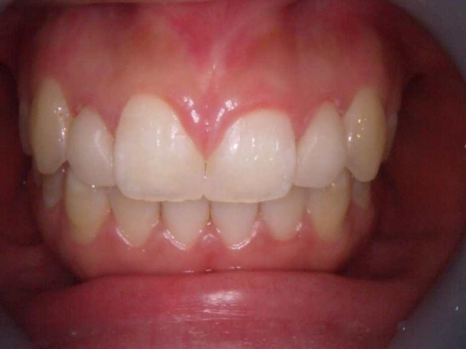
20代女性|すきっ歯が気になる
ダイレクトボンディング
-
治療前
-
治療後
- 治療名称
- 上顎前歯1-1ダイレクトボンディング、上顎2、2CAD Cr
- 患者の症状
- 正中離開と矮小歯気になる。
- 治療内容
- 正中離開のダイレクトボンディングをした後2番のCAD CrをSETして審美回復を図る。
- 治療期間・回数
- ダイレクトボンディング1回、CAD Cr製作は型取り合わせて2回
- 費用
※自由診療となります - 保険治療になるので気になる方はスタッフまでご相談ください。
- リスク・副作用
- ・経年的な変色・着色 ・欠け・摩耗が生じることがある ・強い力で外れる可能性 ・二次むし歯のリスク ・症例によっては適応できない場合がある
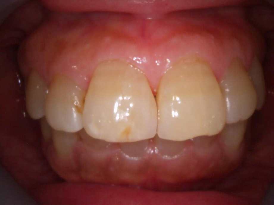
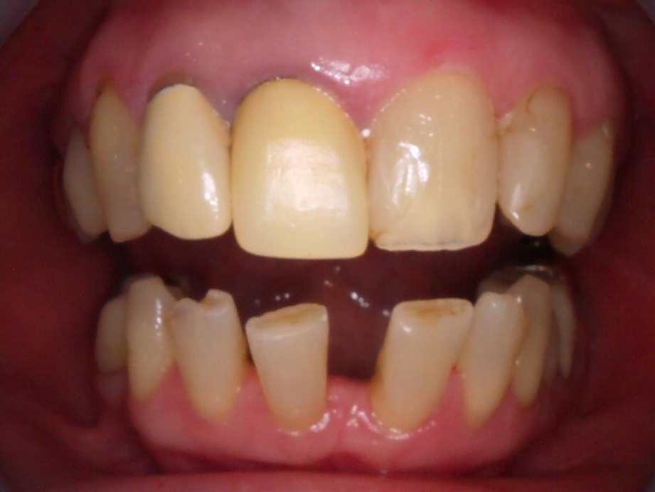
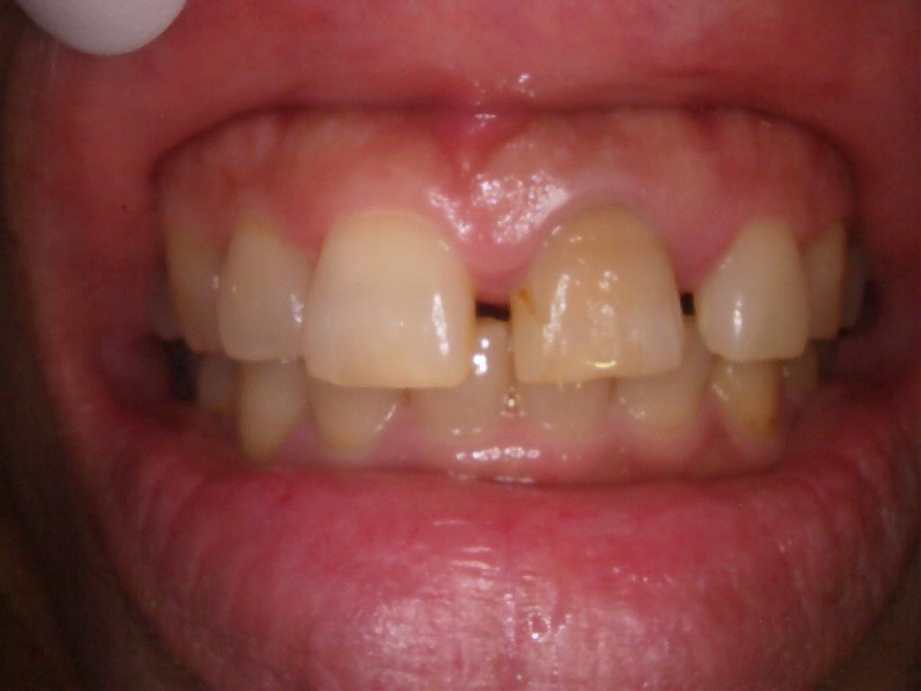
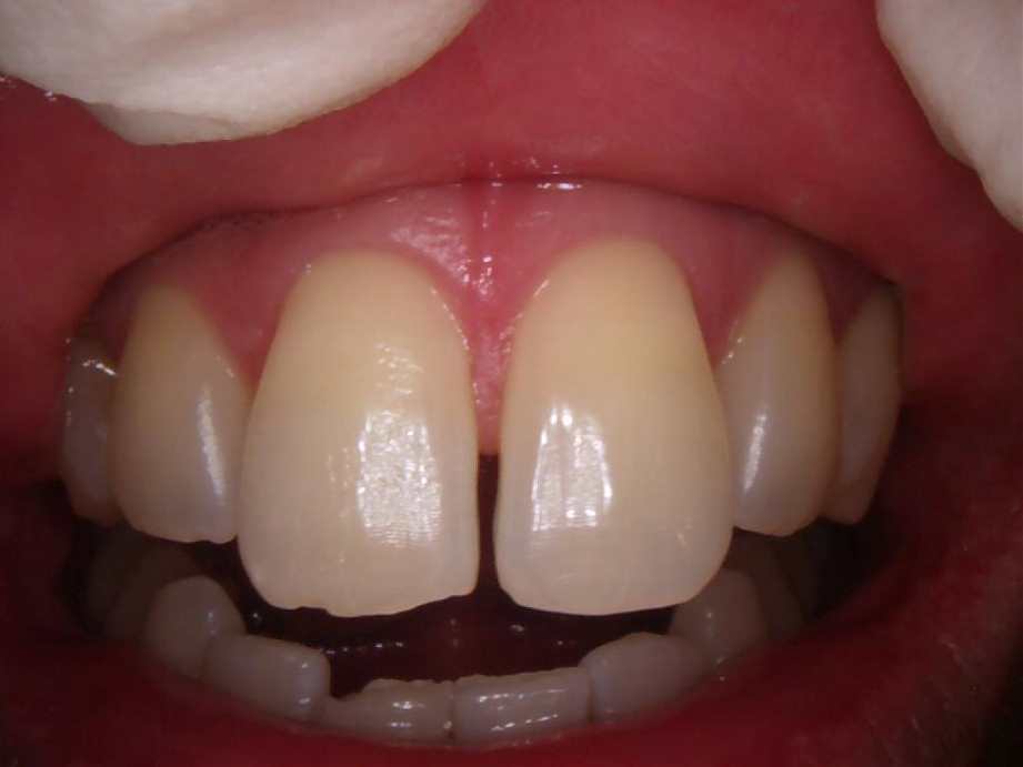
30代男性|すきっ歯が気になる
ダイレクトボンディング
-
治療前
-
治療後
- 治療名称
- 上顎前歯1-1ダイレクトボンディング
- 患者の症状
- 上前歯のダイレクトボンディング希望
- 治療内容
- 上顎1-1のダイレクトボンディング治療をして審美回復を図る。
- 治療期間・回数
- ダイレクトボンディング1回
- 費用
※自由診療となります - 保険治療になるので気になる方はスタッフまでご相談ください。
- リスク・副作用
- ・経年的な変色・着色 ・欠け・摩耗が生じることがある ・強い力で外れる可能性 ・二次むし歯のリスク ・症例によっては適応できない場合がある
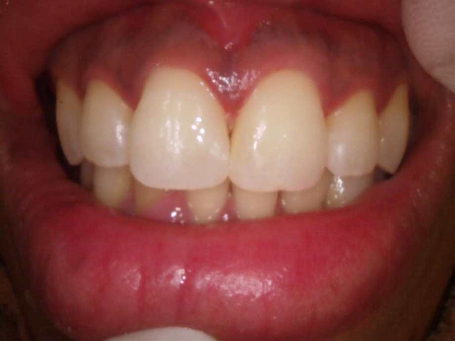
30代男性|すきっ歯が気になる
ダイレクトボンディング
-
治療前
-
治療後
- 治療名称
- 上顎前歯1-1ダイレクトボンディング
- 患者の症状
- 歯と歯の隙間が開いているのが気になる。
- 治療内容
- 上顎1-1のダイレクトボンディング治療をして審美回復を図る。
- 治療期間・回数
- ダイレクトボンディング1回
- 費用
※自由診療となります - 保険治療になるので気になる方はスタッフまでご相談ください。
- リスク・副作用
- ・経年的な変色・着色 ・欠け・摩耗が生じることがある ・強い力で外れる可能性 ・二次むし歯のリスク ・症例によっては適応できない場合がある
50代女性|すきっ歯が気になる
ダイレクトボンディング
-
治療前
-
治療後
- 治療名称
- 上顎前歯1-1ダイレクトボンディング
- 患者の症状
- 歯の隙間を埋めたい。
- 治療内容
- 上顎1-1のダイレクトボンディング治療をして審美回復を図る。
- 治療期間・回数
- ダイレクトボンディング1回
- 費用
※自由診療となります - 保険治療になるので気になる方はスタッフまでご相談ください。
- リスク・副作用
- ・経年的な変色・着色 ・欠け・摩耗が生じることがある ・強い力で外れる可能性 ・二次むし歯のリスク ・症例によっては適応できない場合がある
50代女性|すきっ歯が気になる
ダイレクトボンディング
-
治療前
-
治療後
- 治療名称
- 下顎前歯2-2ダイレクトボンディング
- 患者の症状
- 下の前歯のダイレクトボンディン希望。
- 治療内容
- 下顎2-2のダイレクトボンディング治療をして審美回復を図る。
- 治療期間・回数
- ダイレクトボンディング1回
- 費用
※自由診療となります - 保険治療になるので気になる方はスタッフまでご相談ください。
- リスク・副作用
- ・経年的な変色・着色 ・欠け・摩耗が生じることがある ・強い力で外れる可能性 ・二次むし歯のリスク ・症例によっては適応できない場合がある
50代女性|すきっ歯が気になる
ダイレクトボンディング
-
治療前
-
治療後
- 治療名称
- 上顎前歯1-1
- 患者の症状
- 前歯の隙間気になる。
- 治療内容
- 神経がある歯は麻酔をして、ダイレクトボンディングしていきます。
- 治療期間・回数
- 1回
- 費用
※自由診療となります - 保険治療なので気になる方はスタッフまでご相談ください。
- リスク・副作用
- ・経年的な変色・着色 ・欠け・摩耗が生じることがある ・強い力で外れる可能性 ・二次むし歯のリスク ・症例によっては適応できない場合がある



